안녕하세요.
치아 흰색 얼룩 보이는 분들 있으시죠
선천적으로 치아가 나올때부터 앞니 일부분이 하얗게 보이는 앞니 반점치 이야기 들려드리겠습니다.
오늘은 반점치 치료 후기 입니다.

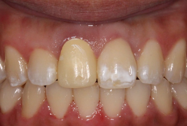
반점치
반점치의 치료는 보통 하얀 부분을 갈아내고 레진으로 떼우거나, 라미네이트를 붙이거나 하는 방법으로 하는 경우가 많습니다.
레진이라는 재료의 특성상 당장은 예쁘지만 몇 년 지나면 테두리가 까맣게 변색이 되고 그 부분으로 충치균이 침투하면 충치도 잘 생기곤 합니다.
그래서 주기적으로 교체 해줘야 하는 번거로움과 이차충치라도 생겼을때는 공사가 커지는 부담도 있습니다.
라미네이트도 이제는 치아를 갈아내지 않고도 무삭제로 가능하듯 치아 흰색 얼룩 반점치도 치아를 갈아내지 않고 할 수는 없을까요?
있습니다.
icon 이라는 약을 써서 레진 침투를 하면 됩니다.

치아에 생긴 작은 구멍들
반점치에서 하얗게 보이는 부분은 치아 표면의 미세한 구멍이 커진 상태여서 하얗게 보이는 것 입니다.
이것은 초기충치 상태랑 같은 상태인데 보통 흰색으로 나타납니다.
흰색이였다가 충치가 점점 심해지면 갈색을 거쳐 검정색이 되는 것 입니다.
이 커진 구멍으로 충치균이 파고 들어가 치아 안쪽을 썩게 만드는 것이죠.
특히 클리피씨 교정 시 철사나 브라켓 주변에 양치질이 안되면 초기충치가 생겨서 하얀 반점이 얼룩덜룩하게 보이게 되는 경우도 있습니다.
그래서 이 icon 레진침투는 철사 교정이 끝난 후 생긴 반점치 치료에도 아주 유용합니다

레진침투 후
반점치 표면에 특수처리를 하고 레진침투치료를 하면 이 구멍들이 아주 미세한 레진 입자들로 메꿔지면서 하얗게 보이는 현상이 사라집니다.
세균 침투도 막을 수 있습니다.

반점치
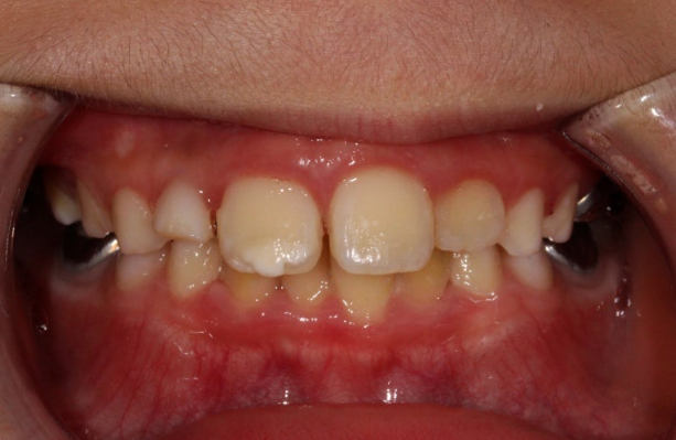
7살 어린이가 앞니 반점치 치료를 위해 내원했습니다.
한쪽 앞니에 흰색 반점이 크게 있습니다.
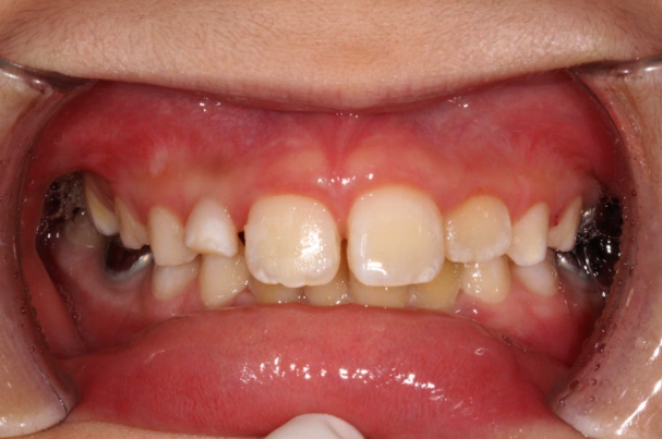
표면처리를 하고 레진침투 치료 합니다.
치료 과정 상 아픈 것은 전혀 없고 계속 문질문질 하는 느낌만 들고 치료시간은 20분 내외 입니다.

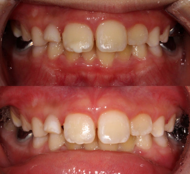
반점치가 감쪽같이 사라졌습니다.
하얀부분을 갈지 않아도 라미네이트를 붙이지 않아도 아주 자연스럽고 예쁩니다.
자연치아가 역시 최고죠.

반점치 레진 침투 치료 전 / 후
치아 흰색 얼룩 이제 아프지 않고 쉽게 치료가 가능하니 더이상 방치하지 마세요.

