안녕하세요
압구정 교정치과입니다.
비발치 덧니 교정은 사랑니를 빼고 사랑니 공간을 이용하는 교정을 말하며 현상태에서 입이 더 안나오는 것을 목표로 합니다.
만약 덧니가 심하다면 비발치 교정으로 입이 안 나오기가 쉽지 않으니 작은어금니 발치교정으로 가능 경우가 많습니다.

23.08-25.10
하지만 환자분의 입매를 고려했을 때 발치를 했을 경우 자칫 입이 쏙 들어가 보일 수 있겠다 싶다면 과연 작은어금니를 빼는 것이 맞을지 한번쯤 더 고민해봐야합니다.
오늘은 하악은 사랑니, 상안은 사랑니 대신 치료에 유리한 두번째 큰어금니 (제 2대구치) 발치로 심한 덧니를 입매 변화 없이 비발치 치료한 케이스를 보여드리겠습니다.

23.08
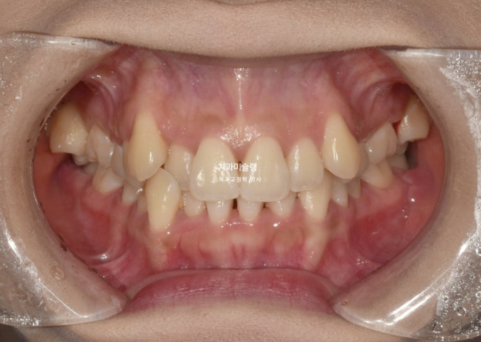
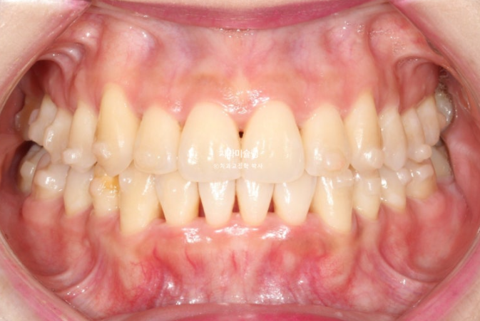
2년 전 덧니 교정치료를 위해 내원한 환자분입니다.
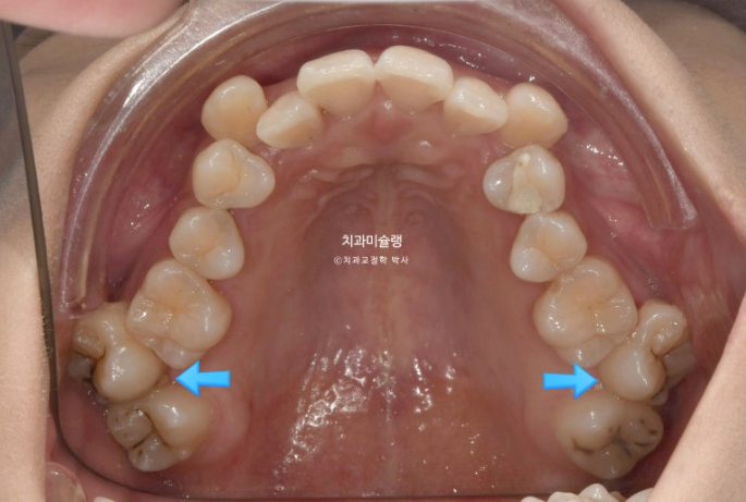
중심선 문제, 블랙트라이앵글, 과개교합, 반대교합, 가위교합 등이 보입니다.

23.08
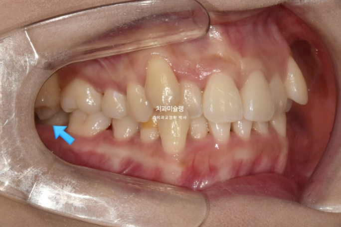
파란화살표는 가위교합입니다.

23.08

23.08

23.08
발견되는 부정교합의 종류들을 나열해보자면
중심선 불일치
과개교합
대구치 가위교합
심한 덧니
전치부 반대교합
부정교합은 아니지만 블랙트라이앵글
정도가 되겠습니다.
이 정도라면 작은어금니 4개 발치교정 진단을 할만도 하지만

입술 돌출이 없고 입술이 얇아 발치교정이 고민되는 상황입니다.
결국 환자분과 논의 후 입매 변화 없는 비발치로 진행하기로 합니다.
통상 비발치 덧니 교정은 사랑니를 빼고 사랑니 공간을 이용하여 덧니 펼 공간을 만드는 것을 목표로 합니다.

하지만 이 경우 맨 뒤 사랑니를 빼지 않고 파란 화살표 제2대구치를 발치했습니다. 발치한 제 2대구치 자리에는 사랑니로 대체해서 교정을 마무리 하는 방법입니다.
사랑니 대신 제 2대구치를 빼는 이유는 가위교합의 원인 치아를 제거하고 구치부 후방이동을 수월하게 하는 장점을 얻기 위해서이며 이 분은 맨뒤 사랑니가 두번째 큰어금니와 모양 사이즈가 동일했기 때문에 가능한 치료방법입니다.
즉 사랑니가 제 2대구치를 기능적으로 충분히 대체할 수 있는 상황
제 2대구치 발치교정 케이스는 좀 더 포스팅 해보도록 하겠습니다. 제2대구치가 많이 썩어있는 경우 사랑니 대신 제2대구치를 발치하고 아직 나오지 않은 fresh한 사랑니를 제2대구치 자리로 끌어오는 치료를 합니다.
인비절라인 치료를 선택하셨고 아래 매복사랑니 1개를 빼고 위에는 사랑니 대신 양쪽 제 2대구치를 빼고 치료에 들어갑니다.

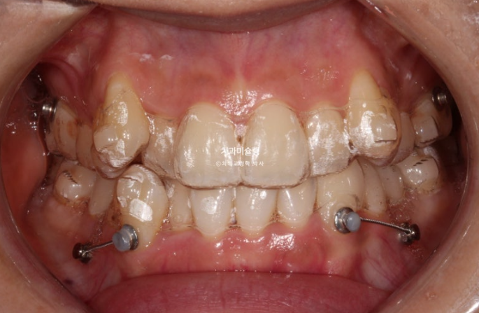
23.08
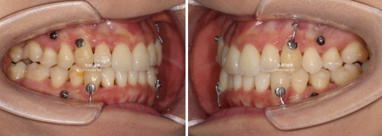
어금니 후방이동을 위한 교정용 나사도 심고

23.08
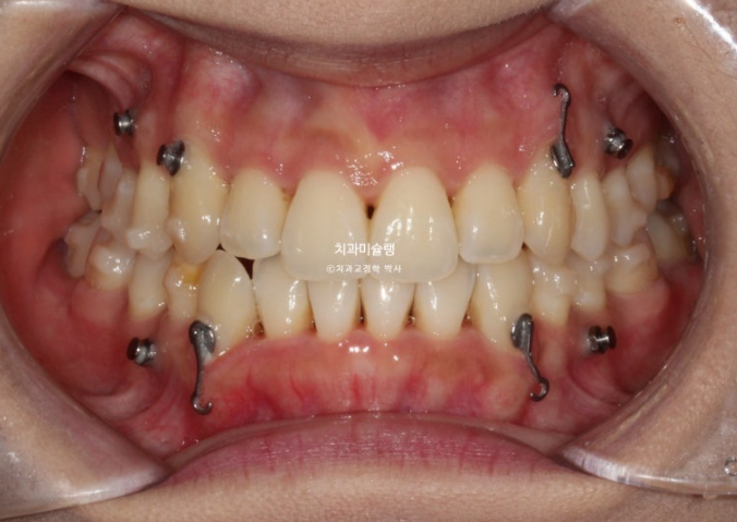
사랑니는 초반부터 장치가 잘 맞지 않아 잘라낸 후 치아에 걸어놓는 고무로 회전을 도모합니다.
첫세트 장치는 70개가 나왔습니다만 재제작은 50단계에 들어갔습니다
24년 9월까지 50개 장치 모두 낀 후 모습입니다.

24.09
인비절라인 비발치 교정으로 덧니는 대부분 해소되었으나 중심선 불일치가 남았고

24.09
큰어금니 교합은 아직 엉성합니다.

24.09
미진한 부분을 개선하고자 인비절라인 비발치 재제작에 들어갔고 24년 11월부터 25년 4월까지 18개 추가장치를 모두 낀 후 모습입니다.

25.04
중심선 불일치가 아직 약간 남아있습니다.
삐뚤했던 치아들에서 블랙트라이앵글이 눈에 띕니다.


치간삭제를 처방하여 블랙트라이앵글의 추가적인 개선, 어금니 교합 개선, 중심선 개선을 목표로 두번째 추가장치 제작에 들어갑니다.
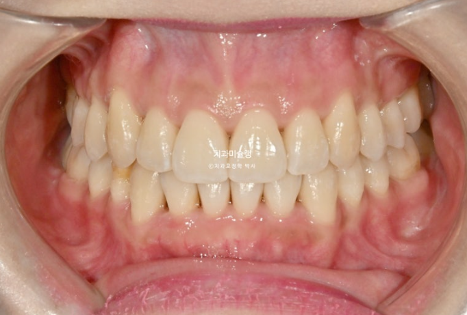
17개 추가장치를 모두 낀 후 25년 10월 치료를 종료했습니다.

25.10
총 치료기간은 2년 2개월이나 중간 중간 재제작 들어간 장치를 기다리는 기간을 빼면 실제 치료기간은 2년 입니다.

25.10
어금니 교합개선을 위해 재제작을 2번이나 한만큼 어금니 교합은 물샐틈 없는 1급 교합관계를 보입니다.
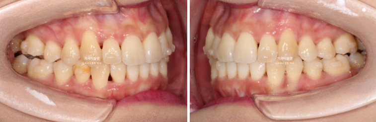
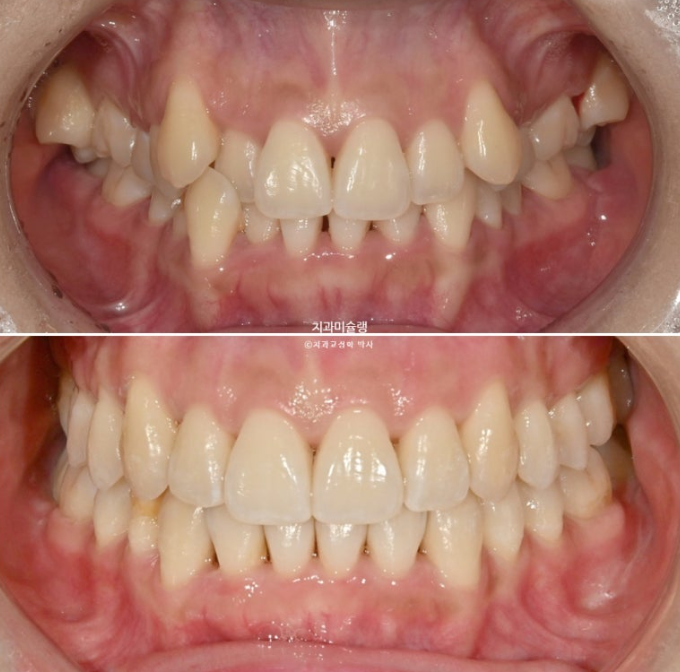
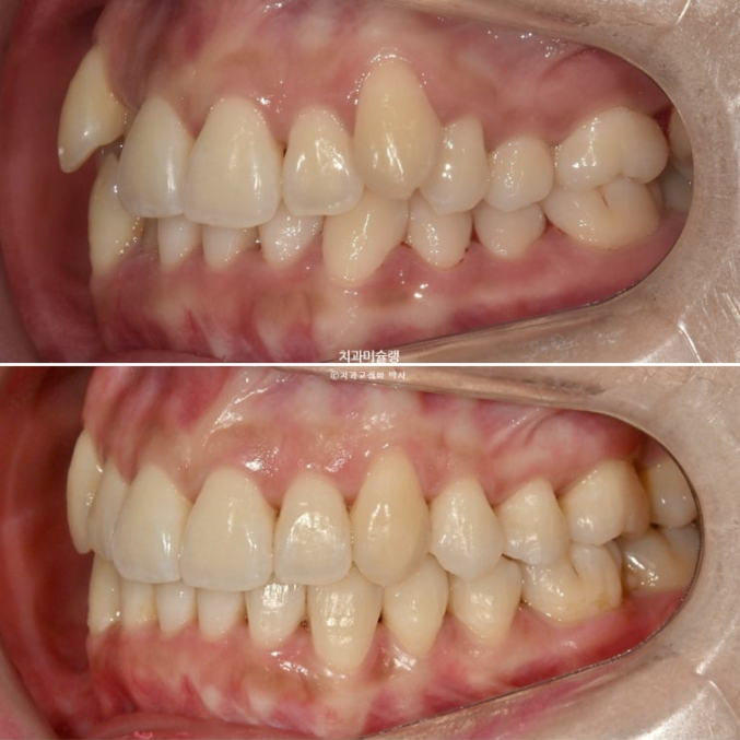
이제 전후비교 보겠습니다.

23.08~25.10
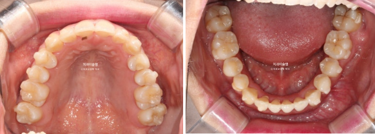
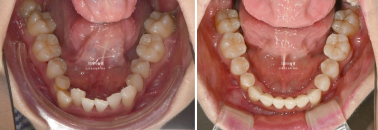
상악 제2대구치 발치공간을 이용하여 송곳니 덧니를 배열했습니다.
사랑니는 발치한 두 번째 큰어금니 자리를 잘 채워주고 있습니다.

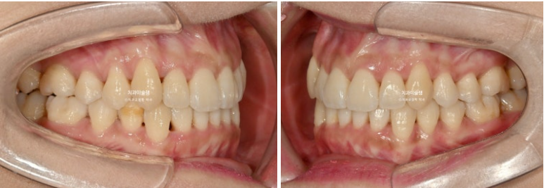
23.08~25.10
하악 사랑니 공간을 이용하여 덧니를 배열했습니다.

23.08~25.10
중심선의 개선, 과개교합의 개선, 덧니의 개선, 블랙트라이앵글의 개선이 보입니다.

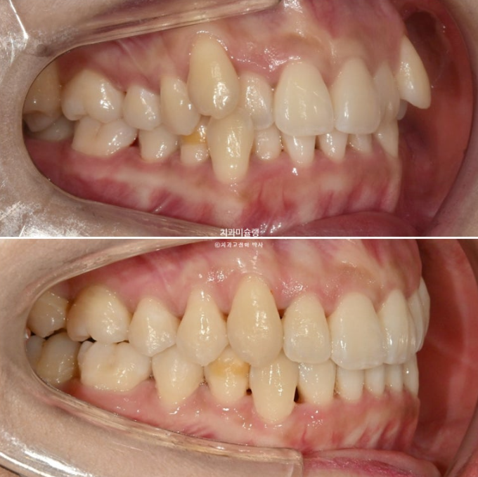
23.08~25.10
앞니는 뒤로 들어가지도, 나오지도 않고 잘 유지되었습니다.

23.08~25.10
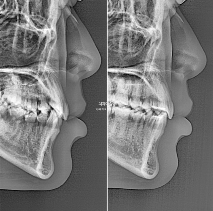
이제 안모 비교 해보겠습니다.

23.08~25.10
아랫입술에 걸쳐지던 송곳니 덧니는 제자리로 잘 들어갔네요

23.08~25.10
인비절라인 비발치 교정 후 깔끔한 미소와 적절한 앞니 각도가 돋보입니다.

23.08~25.10
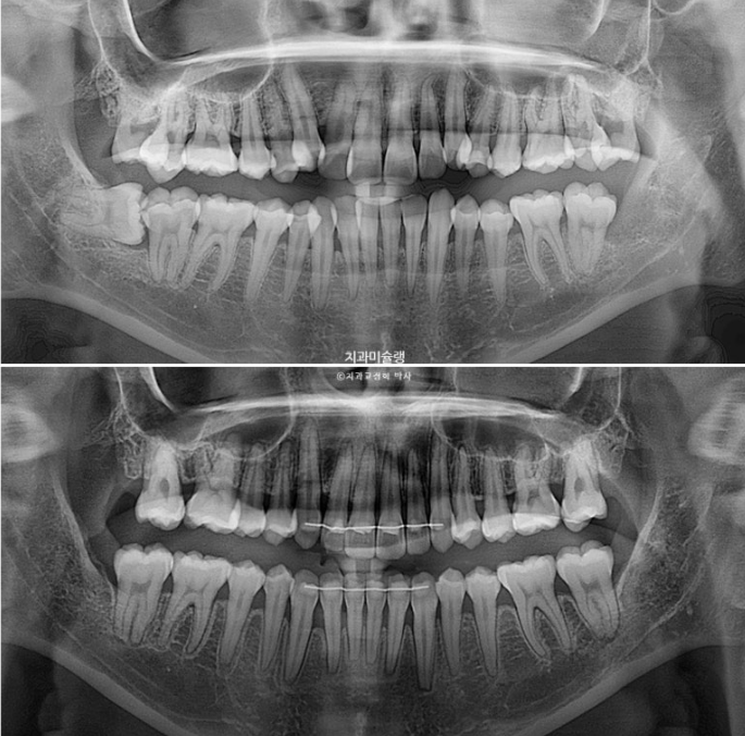
치근흡수는 없고 치근평행도는 좋습니다.
특히 사랑니 및 제 2대구치 발치공간으로 계획만큼 후방이동한 치아들이 눈에 띕니다.

23.08~25.10
전 후 입매 유지를 목표로 한 만큼 앞니 각도나 입매 변화는 없습니다.
발치교정은 하고 싶지 않은데 입이 나오거나 앞니가 뻗을까봐 걱정이신 분들에게
이 포스팅이 도움이 되길 바랍니다.

