안녕하세요
인비절라인 치과입니다.
인비절라인으로 수월하게 잘 되는 교정 중 하나가 합입교정입니다.
앞니를 함입 시키면 거미스마일 교정이 되고 어금니를 함입 시키면 개방교합 교정이 됩니다.

23.05~23.12
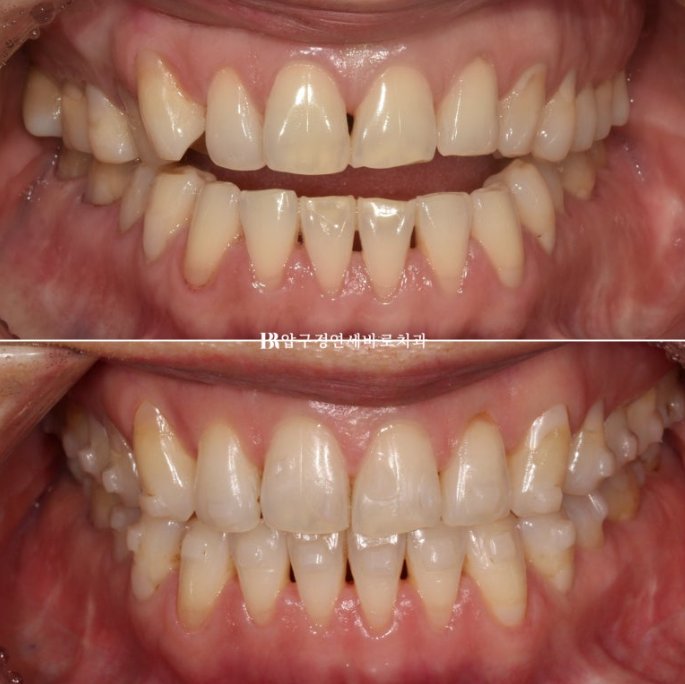
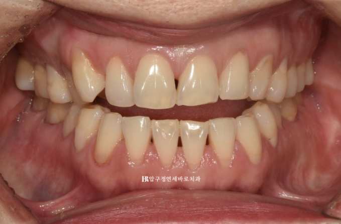
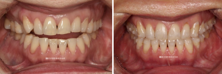
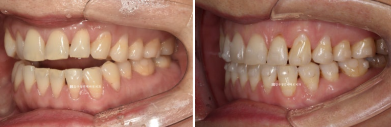
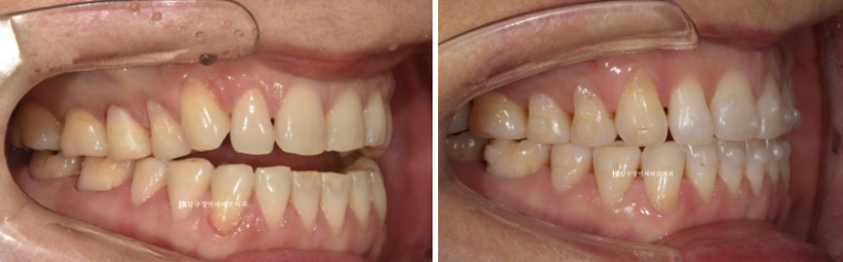
앞니가 떠 있는 개방교합에서
교정 후 재발이 안되려면 간단하게 앞니를 내리기보다는 손이 많이가더라도 어금니를 뼈속으로 밀어넣는 함입교정을 하는 것이 좋습니다.
하악골의 자가회전을 통해 하관이 작아지는 것은 덤입니다.
인비절라인으로 어금니 함입교정을 어떻게 하는 지 보여드리겠습니다.
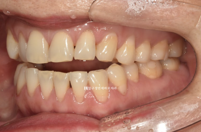
올해 5월 개방교합 때문에 찾아오신 50대 환자분입니다.
위 어금니를 뼛속으로 밀어올리는 함입교정이 필요함을 설명드렸습니다.

23.05
클리피씨나 인비절라인이나 비슷한 기간에 비슷한 효과를 볼 수 있으니 장치 선택은 편하게 하시도록 설명도 드렸습니다.
환자분은 심미적인 이유로 인비절라인 선택하셨습니다.

23.05~23.12
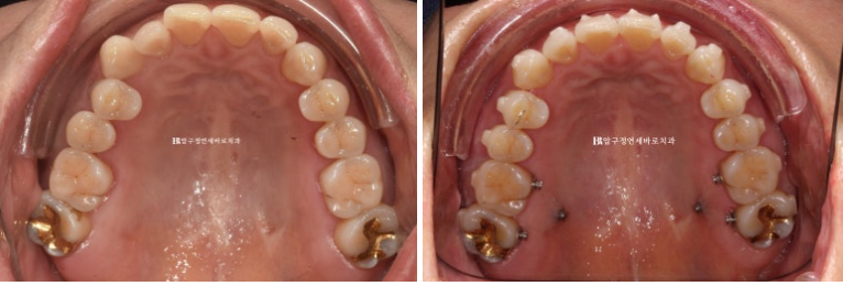
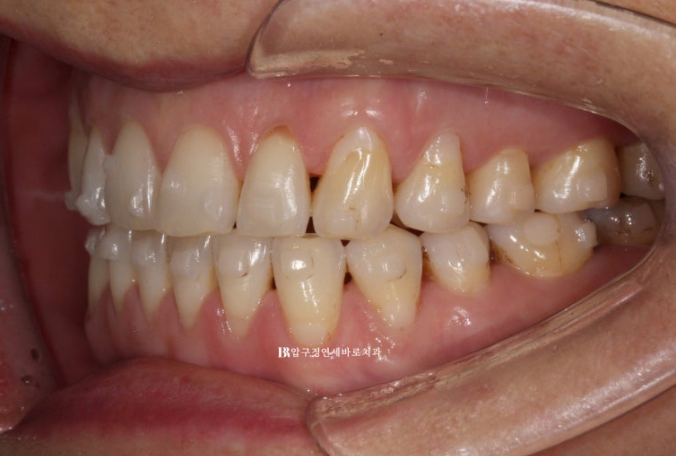
첫번째 작은어금니까지 8개 치아는 떠있고 두번째 작은어금니부터 큰어금니까지 3개씩 닿아있는 상태입니다.
이런 상태에서는 닿고있는 위 어금니 3개씩 총 6개 치아를 함입시키는 치료계획으로 진행합니다.

23.10
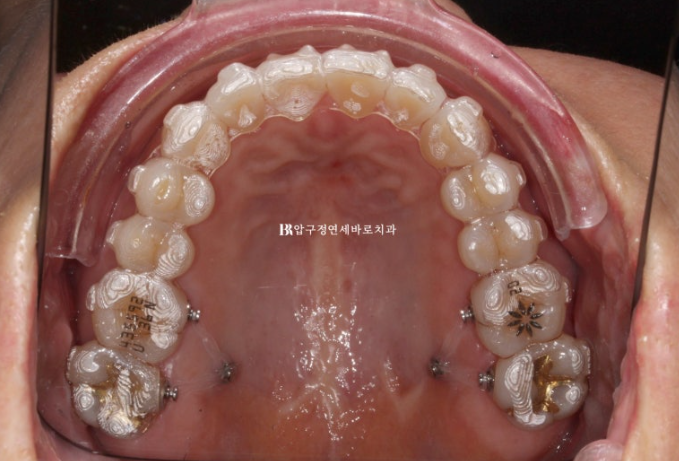
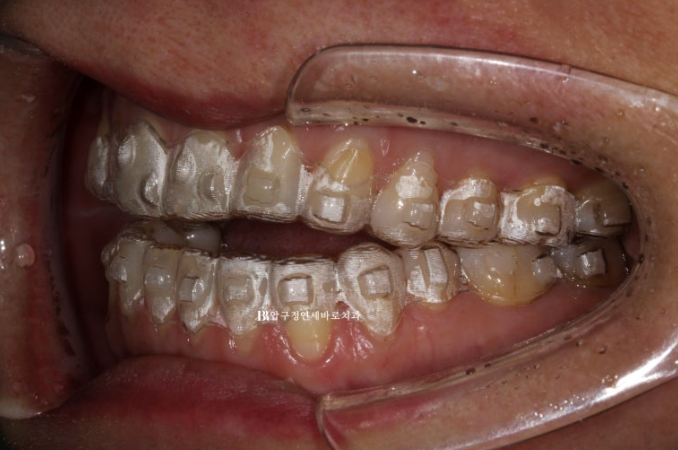
초기부터 입천장에 미니스크류를 심었습니다.
이때 예상되는 원치않는 치아이동을 피하기 위해 치아들의 각도와 토크, 위치를 조절하는 클린체크 치료계획이 또 매우 중요한 부분입니다.
클린체크 상의 치료결과를 예쁘게 만들면 절대로 실제 결과가 그렇게 나오지 않습니다.

23.05~23.12
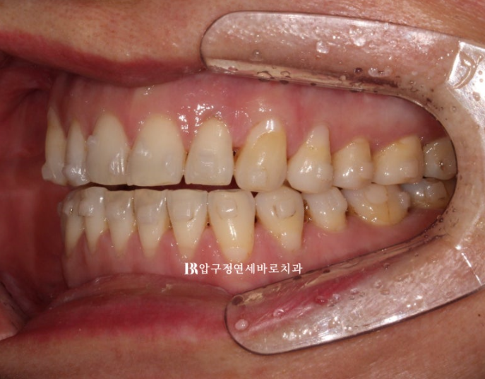
7개월에 걸쳐 1차세트 마무리 후 추가장치를 이해 리파인먼트 재제작에 들어갔습니다.

23.05~23.12

23.05~23.12

23.05~23.12
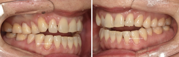
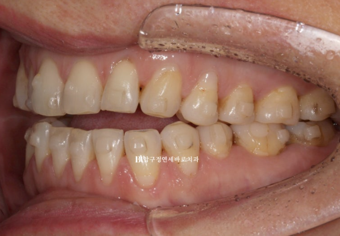
걱정하시는 교합도 잘 마무리 되었습니다.
추가장치의 목적은 미세하게 안 맞는 중심선을 맞추고 교정 후 어느정도 재발될 것을 예상해서 살짝 과개교합 상태를 만들어 놓는 것입니다.
아마 추가장치로 3개월 정도면 마무리 될 듯 합니다.
1차세트 7개월 소요되었고 추가장치 3개월이 걸린다면 총 치료기간은 10개월입니다.
미니스크류를 안 써도 인비절라인 단독으로 합입교정이 잘 되냐고 물어보신다면
물론 되지만 기간에 세배쯤 걸린다고 설명드립니다.
클리피씨로 해도 이정도의 개방교합이 과연 10개월만에 완벽히 개선이 되었을까? 싶을 정도로
인비절라인으로 합입교정은 잘됩니다.

23.05

23.7

23.7

23.11

23.12
마지막으로 7개월간 변화 모습을 보여드리면서 마무리 하겠습니다.

