안녕하세요
압구정 교정치과입니다.
오늘은 인비절라인 라이트 이야기 옥니교정 이야기 해드릴게요.

앞니가 뒤로 쓰러진 상태를 옥니 라고 합니다.
치아가 그림자져 보이고 미소가 어딘가 옹졸해보이는 특징이 있습니다.
단기 인비절라인 프로그램인 인비절라인 라이트로 옥니가 어떻게 치료되는 지 보여드리겠습니다.

24.02
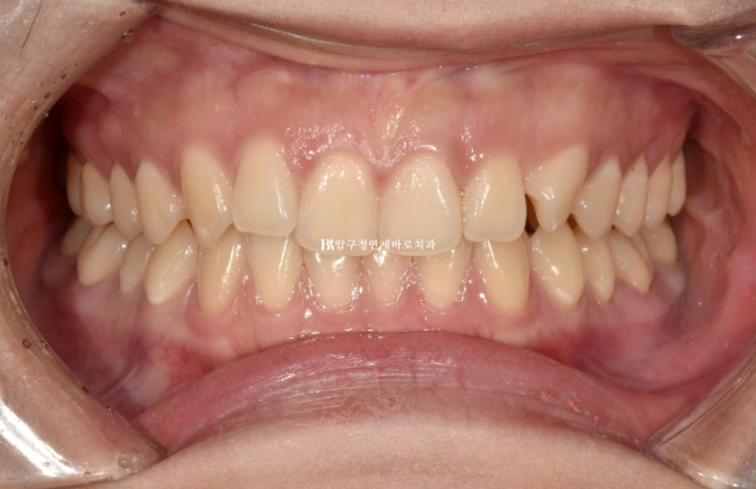
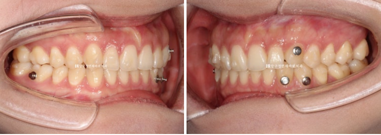
지난 2월, 교정을 위해 찾아온 환자분입니다.
고치고 싶은 것은 앞니 배열입니다.
이미 5군데 상담을 다녀오셨는데 사랑니를 빼고 어금니를 뒤로 밀자는 치료계획도 듣고 오셨습니다.
위 아래 중심선이 약 2mm 차이가 나는 상태이고 측절치와 송곳니에 덧니도 보입니다.

24.02
옆에서 보면 가운데 앞니 세개가 뒤로 기울어져 있는 것이 보입니다.
우측은 교합관계가 II급입니다.

24.02
앞니 세개가 입천장쪽으로 들어가 있습니다.

웃을 때 앞니가 뒤로 쓰러져 있으면 그림자져 보이고 덜 예쁩니다.
우측 어금니 교합이 II급 교합관계를 보여 정석대로 하자면 타치과 진단대로 어금니를 전체적으로 다 움직이는 1년반 이상의 인비절랑니컴프레헨시브가 필요하겠죠.
하지만 환자분은 기간과 치료의 심플함을 더 중요하게 생각하고 있어서 인비절라인 라이트로 약 9개월 목표로 치료함으로써 중심선과 약간의 교합오차 그리고 약간의 중심선 오차를 허용하는 대신 비용과 기간을 줄이는 것을 택했습니다.
II급 교합관계를 보이는 우측은 고무줄을 끼면서 최대한 I급으로 유도하기로 했습니다.
24년 2월 장치 오더 넣고 3월 장치를 수령했습니다
이때부터 껴주었습니다.
인비절라인 라이트는 최대 14개 장치가 배송되어 오고 3월부터 6월까지 4개월간 장치를 낀 모습입니다.

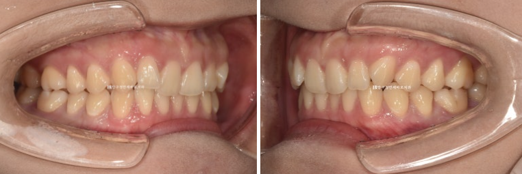
24.06
배열과 덧니는 가지런해졌습니다.
중심선 개선은 아직 미미합니다.

우측에 II급 고무줄을 열심히 걸어서 교합관계가 조금은 좋아졌습니다.

24.06
좋아진 배열과 옥니입니다.
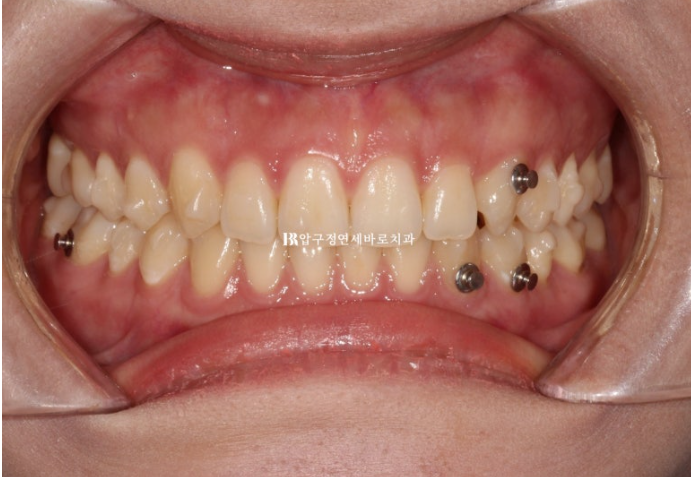
우측 어금니 교합관계를 악간고무줄로 좀 더 개선하고 앞니 각도 역시 좀 더 세우고 싶어서 추가제작에 들어갔습니다.
추가장치는 24년 6월부터 11월까지 꼈습니다
고무줄도 열심히 걸어주었습니다.
그리고 11월에 드디어 치료가 마무리 되었습니다,

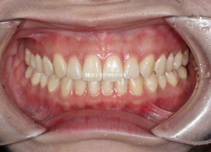
24.11
물샐틈 없는 교합이 보입니다.
마지막 1-2주는 장치를 앞니쪽만 남기고 어금니쪽을 잘라내어 자연스러운 교합안정화를 도모했습니다.
인비절라인은 교합이 안 좋게 끝난다는 편견을 깨기 위해 이렇게 포스팅을 작성합니다.
전 후 보겠습니다.

24.02~24.11
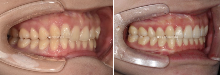
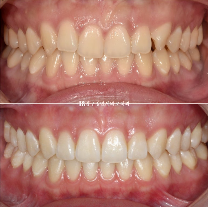
문제의 우측 II급 교합관계가 거의 I급으로 좋아졌습니다.
고무줄을 열심히 껴준 덕입니다.

24.02~24.11
좌측교합은 원래 I급이고 위아래 어금니 교합이 좀 더 긴밀해졌습니다.

24.02~24.11
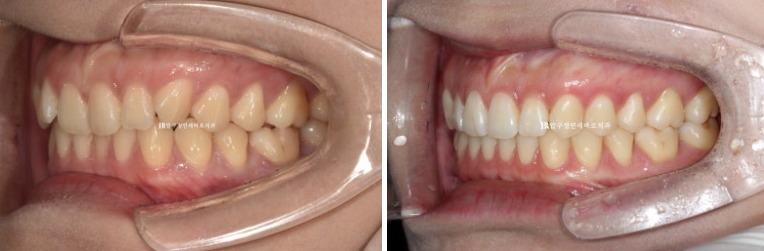
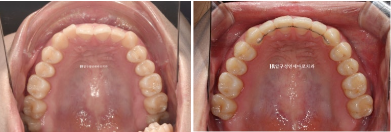
뒤로 쓰러져 있던 앞니가 나오면서 악궁모양이 네모진 형태에서 원형으로 바뀌었습니다.

24.02~24.11
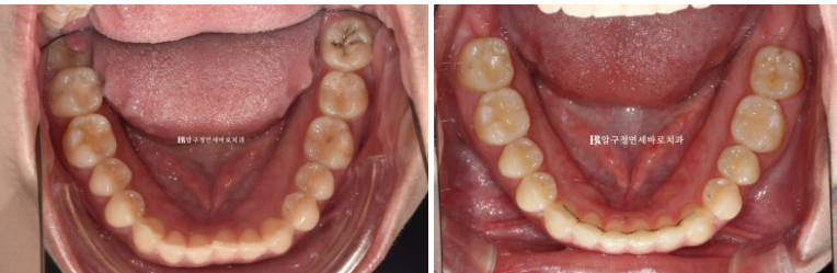
아래 악궁모양이 좋아졌습니다.

24.02~24.11
중심선도 여전히 1mm 정도 차이가 나지만 처음에 비해 개선되었습니다.

24.02~24.11

24.02~24.11
옥니와 덧니가 해결이 되니 미소가 훨씬 깔끔하고 환해보입니다.
인비절라인은 앞니 토크 조절이 개개인의 뼈 상태에 맞게 세말하게 잘 이루어지는 편 입니다.
오히려 브라켓 철사교정보다도 더 그렇죠.
옥니가 컴플레인이신 분들에게 도움이 되었기를 바랍니다.

