안녕하세요 압구정 교정치과 입니다.
오늘은 재교정 이야기를 해드리겠습니다.
어릴때 비발치 교정 후 이래저래 만족을 못하여 20대 지나 재교정을 하러 오시는 분들이 많습니다.
교정치료 당시에는 외모에 관심도 없고 치아 빼뚤한것만 해결되어도 좋았지만 시간이 지나니
아쉬운 부분들이 눈에 보이기 시작하기 때문입니다.

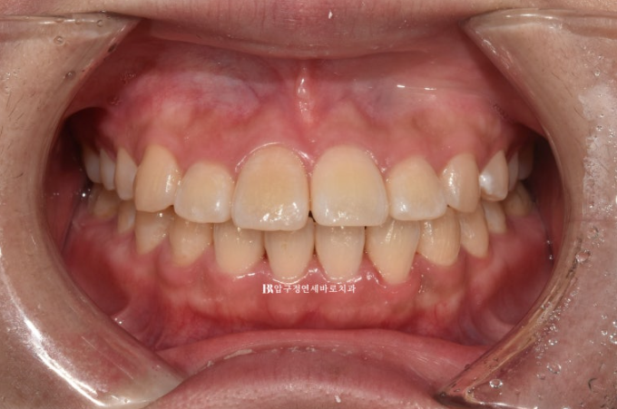
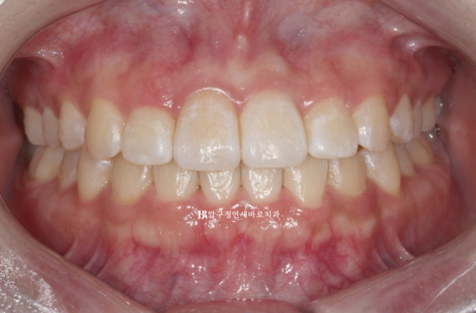
23.04
10년 전 어릴때 비발치 교정을 했던 환자분입니다.
치아는 가지런하고 어금니도 잘 씹히는데 재교정을 안하는 이유는
앞니뻗침 때문이었습니다.

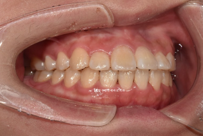
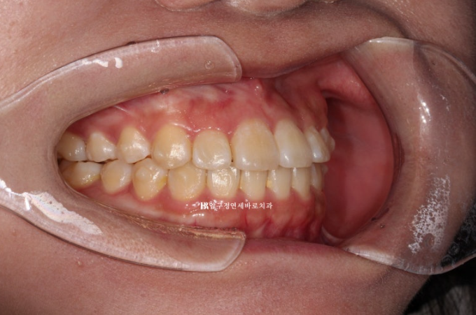
23.04

23.04
치아교정은 공간을 만들어내고 그 공간을 이용하여 부정교합을 해결하는 과정입니다.
공간이 부족하다면 발치를 해서든 사랑니 공간을 이용하든 어디선가 공간을 얻어야 합니다.
삐뚤한 치아는 가지런히 하고 싶은데 발치도 싫고 치간삭제도 싫어요.
하시는 분들은.. 사실 치아가 뻗친 채로 마무리 될 수 밖에 없습니다.
공간도 부족한데 치아를 가지런하게 펴면 처음보다 치아가 앞으로 뻗치게 되기 때문입니다.
뻗친 앞니는 미관상 좋지 않고 나이가 들면 치아 뿌리를 덮는 잇몸이 얇은상태라서 잇몸이 빠르게 내려가게 되므로 지양하는 것이 좋습니다.
이 분은 치간삭제를 동반한 인비절라인라이트로 앞니 뻗침을 개선하기로 했습니다.
마침 앞니 사이즈가 큰 편이기도 하고 치근단 엑스레이상 치아의 최외곽층 에나멜 층도 평균보다 두꺼워서 어느정도 치간삭제를 해도 무리가 없는 상황이었기 때문입니다.
만약 타고난 앞니 사이즈가 원래 작고 예전 교정을 할 때 이미 치간삭제를 했다면 치간삭제를 권하지 않았을 것 입니다. 앞니를 뒤로 밀기 위해 1-2년 걸리는 전체교정에 준하는 인비절라인 컴프레헨시브를 고려했을 겁니다.
치간삭제는 생리적 한계 내에서 소량 적용하면 부정교합을 해결하는 좋은 도구가 되지만 과하면 오히려 치아를 약하게 만듭니다.
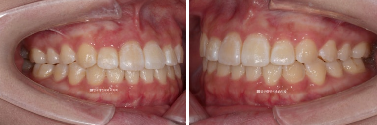
3개월에 걸쳐서 14개의 첫 세트 치료를 마무리 한 후 모습입니다.
앞니 뻗침이 많이 개선이 되었지만 앞니를 뒤로 조금 더 넣고 싶다는 환자분의 요구에 부응하여 추가장치 제작에 들어갑니다.

23.08
추가장치 기다리는 시간 1개월 반 후 10월부터 추가장치를 끼기 시작했고 약 3개월 후인 올해 1월 치료가 마무리 되었습니다.
장치 기다리는 시간을 제외한 실제 치료기간은 1차 세트 3개월, 추가장치 세트 3개월 해서 총 6개월 입니다.

24.01

24.01
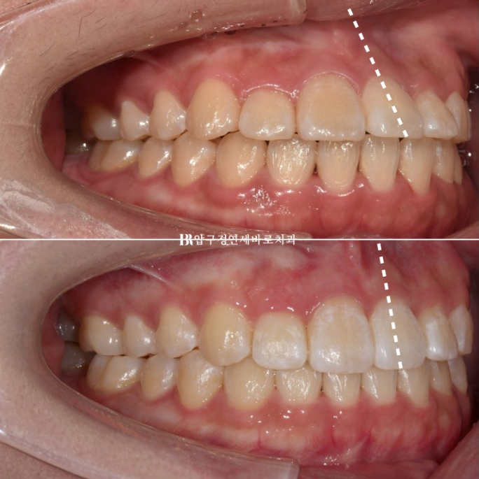
들려있던 일자로 내려오면서 치아가 처음보다 약간 길어보입니다.

23.04~24.01
앞니 각도 전 후 변화입니다.

23.04~24.01

23.04~24.01
웃을 때 치아가 일자로 딱 떨어지는 모양새가 보기에 가장 좋습니다.

23.04~24.01
앞니가 상당량 후방이동 하며 입술도 뒤로 들어갔습니다.
치료 전 후 엑스레이 중첩을 보면 앞니 각도 개선이 두드러집니다.
재교정이라고 해도 돌출이라고 해도 환자분의 상태에 따라 6개월 치료만으로도 좋은 효과를 볼 수 있습니다.
가까운 교정치과에서 상담 받아보세요.

