안녕하세요
압구정 어린이 교정치과입니다.
오늘은 오랜만에 어린이 투명교정이야기 해드리겠습니다.
인비절라인 퍼스트는 보증기한이 18개월로 정해져있습니다.
보증기한이라는 것은 재제작이 가능한 기간입니다.
인비절라인 교정은 보증기한 안에 재제작이 여러번 가능하도록 되어있습니다.
17개월차쯤 재제작을 마지막으로 할 수 있고 이 부분을 잘 이용하면 토탈 치료기간을 2년 정도로 이어갈 수 있습니다.

23.10~25.11
물론 아이들 인비절라인퍼스트는 성인 인비절라인과는 큰 차이점이 있습니다.
유치가 남아있는 어린이 교정 특성상, 영구치날 공간을 확보해 놓은 후 남은 유치가 빠지고 영구치가 올리오길 기다리는 시간들이 치료 도중 몇개월씩, 짧게는 3-4개월 길게는 1년씩 존재합니다.
성인처럼 치료가 끝날때까지 장치를 이어서 쭉 끼는 것이 아닙니다.
아이의 미래 구강 변화를 내다보는 긴 안목으로 인비절라인퍼스트 치료를 꼼꼼하게 잘 해놓으면 나중에 어른이 되어 교정을 다시 하지 않게끔 만들어 줄 수도 있습니다.
오늘은 어떻게 치료를 해야 성인교정 즉 2차교정 가능성을 줄일 수 있는 지 보여드릴게요.
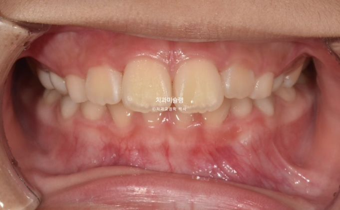
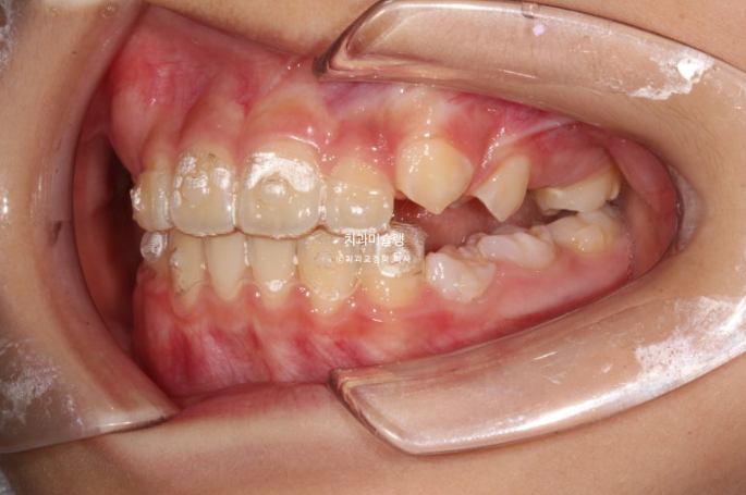
23년 10월 압구정 어린이 교정
교정치료를 위해 온 어린이 입니다.

23.10
윗니가 아랫니를 많이 덮어 아래 앞니가 안 보이는 과개교합이 있습니다.
중심선 불일치도 보입니다.

윗니 뻗침이 있어서 돌출을 느끼는 상태입니다.

앞니 위아래 4개씩 총 8개 영구치 앞니는 약간의 삐뚤함이 있지만 큰 공간부족 없이 잘 나온 편 입니다.

23.10
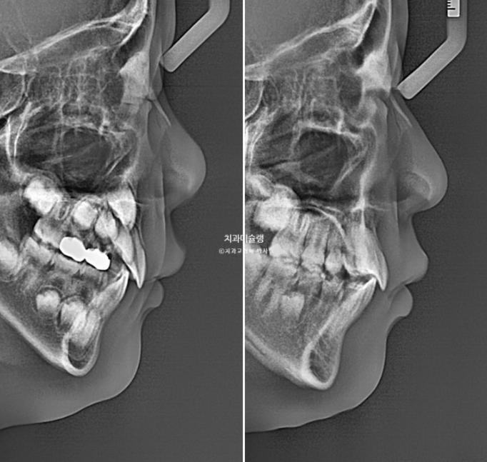
엑스레이 골격 분석 결과 아래턱이 작은 골격성 2급 부정교합 (소위 무턱)으로 진단되어 무턱치료도 하기로 합니다.
인비절라인 퍼스트의 Mandible advance 기능으로 못 자란 아래턱을 자라게 해줄 수 있습니다.
첫 세트 장치는 총 46개가 나왔습니다.
24년 2월까지 4개월간 악궁확장, 영구채 나올 공간 넓히기, 앞니배열, 과개교합 개선 등을 먼저 진행 한 후 2월부터 Mandible advance 단계에 들어갑니다.

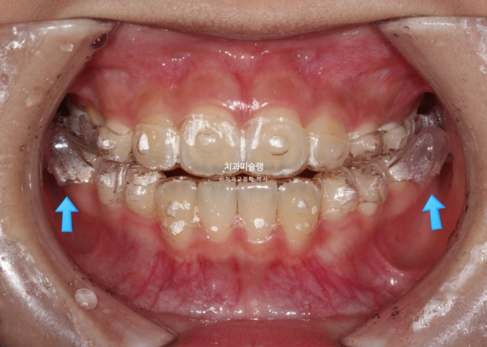
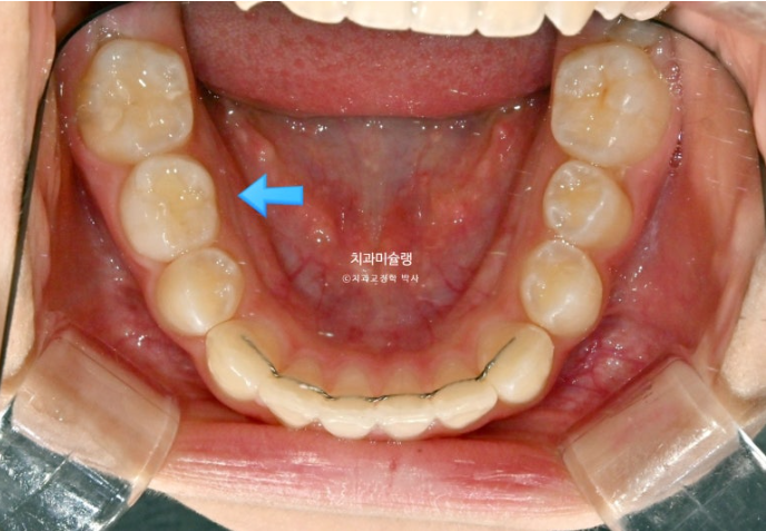
24.02
파란 화살표의 튀어나온 부분을 wing 이라고 부릅니다.
날개같이 생겼기 때문입니다.

위, 아래 장치에 총 4개의 Wing이 불어 나오며 이 Wing 때문에 아래턱을 내밀어 무는 위치로 유도가 됩니다.
근기능장치의 원리는 쉽게 말해 정상 위치에 턱이 적응하게 함으로써 실제로 아래턱뼈가 자라게 해주는 것 이라고 할 수 있겠습니다.
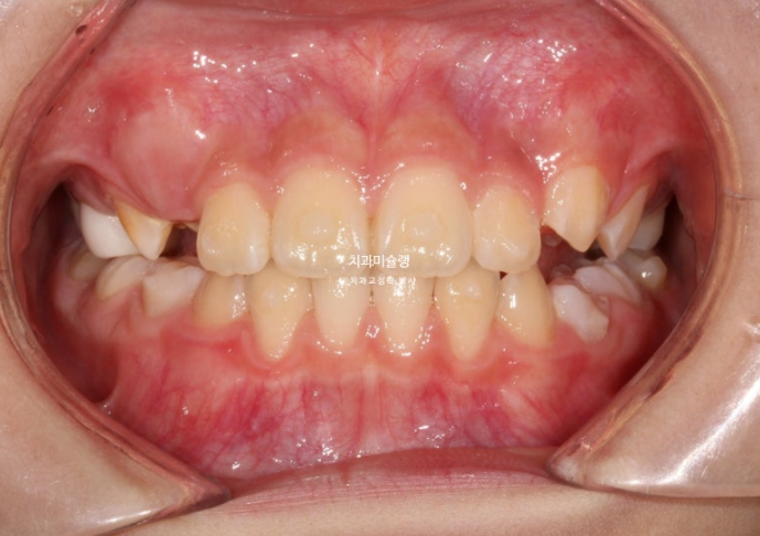
24년 11월까지 약 9개월간 첫세트의 46개 장치를 모두 낀 후 모습입니다.

24.11
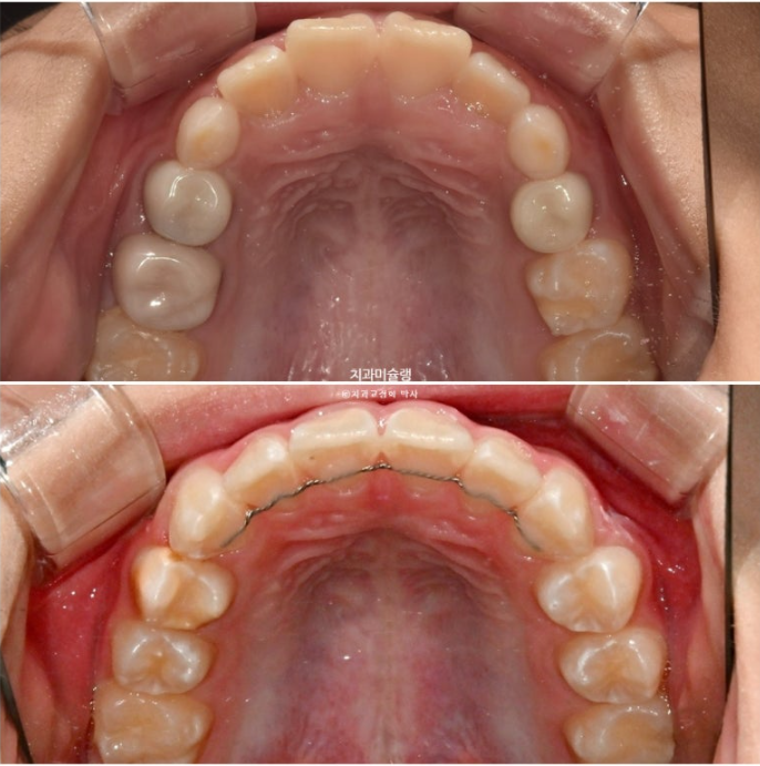
중심선은 잘 맞으며 깊게 물리던 과개교합이 개선되었습니다.
그 사이 유치 송곳니와 유치 어금니가 빠지고 영구치들이 내려오네요.
이 정도 상태에서 유지장치를 붙이고 치료를 끝내지는 않습니다.
송곳니가 잘 내려오는 것을 확인 한 뒤 유지장치를 송곳니까지 연장하여 마무리 합니다.
그러려면 나머지 영구치가 올라올 충분한 시간을 주면서 주기적인 체크가 필요합니다.

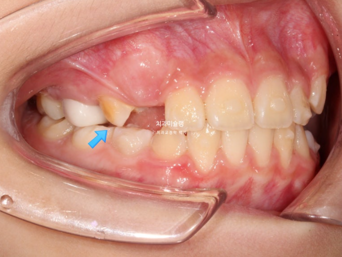
이제 막 나오고 있는 파란화살표 치아는 썩은게 아니라 선천적으로 법랑질저형성을 보이는 치아입니다.
기능에는 지장 없습니다.


인비절라인퍼스트 치료에서 앞니 4개의 배열과 영구치 나올 공간 확보는 기본입니다만
사진처럼 송곳니의 경우 공간이 충분히 확보되어도 막상 나올 때는 약간 덧니처럼 나오는 경우가 꽤 있습니다.
그래서 송곳니 등 측방치군이 안정적으로 나와 교합이 완성될때까지 치료 종료 시기를 미루는 편입니다.

다른 부분들은 모두 좋지만, 송곳니 배열이 조금 아쉬워서 보증기간 끝나기 전 추후 재제작을 염두해두고 쉬는시간에 돌입합니다.
쉬는 시간에는 영구치 맹출에 방해되는 부분은 잘라내고 앞니 배열 유지를 위해 앞니쪽만 장치를 남겨 잘때만 유지용으로 낍니다.
이렇게 앞니만 남기고 Wing을 잘라낸 상태로 끼면서
아래턱의 유도된 위치가 안정적으로 잘 유지가 되는지도 봐야합니다.

24.11

25년 4월까지 5개월간 앞니만 남은 유지용 장치를 밤에만 끼며 유지하다가 재제작에 들어갔습니다.
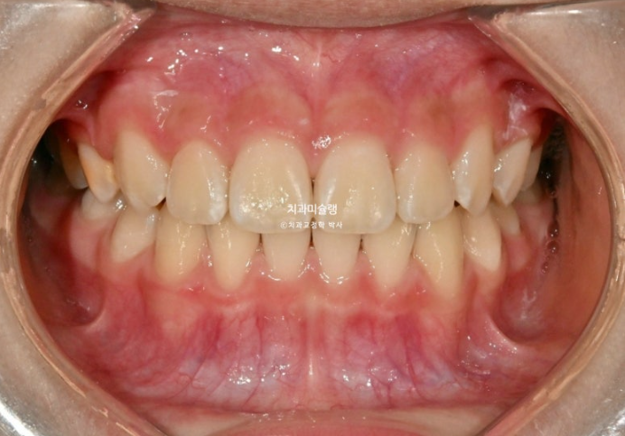
25년 5월부터 11월까지 20개의 추가장치를 모두 낀 후 모든 치료를 마쳤습니다.

25.11
중심선은 잘 맞고

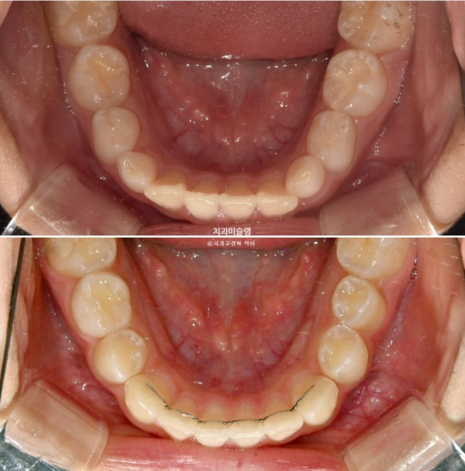
유치 한 개 빼고 나머지 치아들은 전부 영구치로, 교합이 거의 완성되었습니다.

결과가 성인교정 2차교정에 준하는 만큼 유지장치도 성인과 똑같이 들어갑니다.

파란화살표는 마지막 남은 유치입니다.
이 유치마저 빠지고 모든 영구치가 올라오면 비베라 제작에 들어갈 예정입니다.
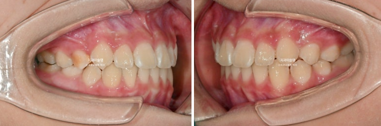
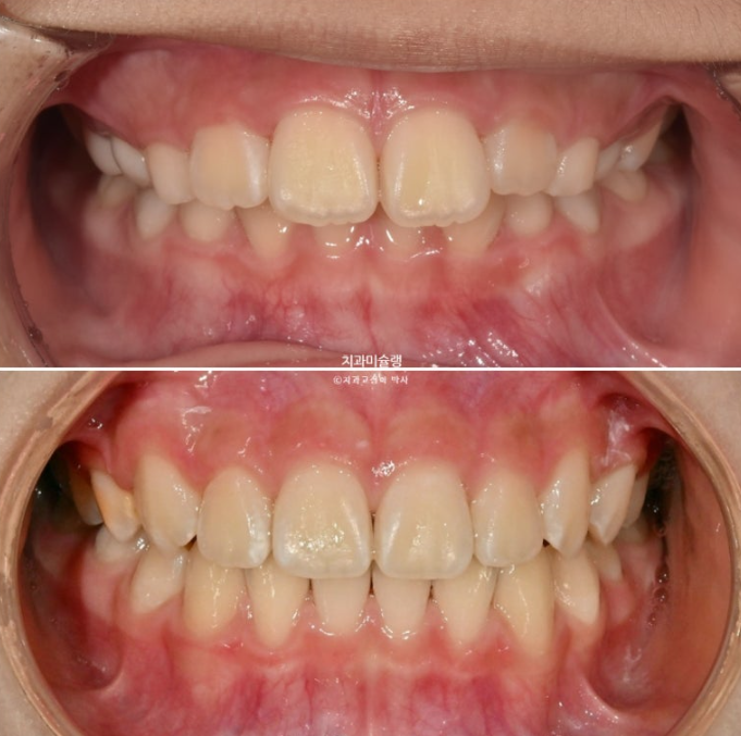
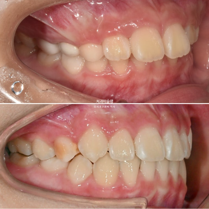
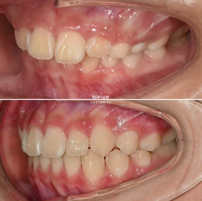
이제 전 후 비교 볼게요
치료 중간 5개월간 영구치 맹출을 기다리던 기간을 빼면 실제 장치를 끼며 치료를 이어간 기간은 1년 8개월 입니다.

23.10~25.11
과개교합과 중심선 불일치의 개선

23.10~25.11
완성된 교합은 1급 교합관계를 보입니다.

23.10~25.11

23.10~25.11

23.10~25.11
나중에 성인이 되어 2차교정을 안해도 될 정도의 완성도 입니다.
이제 안모비교 보겠습니다.

23.10~25.11
작았던 아래턱이 성장하면서 안모가 좋아졌습니다.

23.10~25.11
그새 많이 성장한 아이

23.10~25.11
잇몸노출량도 줄고 뻗처있던 앞니 각도도 좋아졌습니다.

23.10~25.11
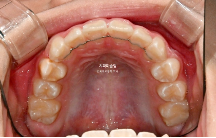
엑스레이 비교를 해보면 이러합니다.

치아 뿌리가 잘 자라고 있습니다.
치근평행도는 좋습니다.
어린이 투명교정 고민중이신 분들에게 도움이 되길 바랍니다.


