안녕하세요
인비절라인 치과 입니다.
오늘은 인비절라인 치과에서, 인비절라인 비추천 하는 경우를 말씀드리려고 합니다.
인비절라인 진료 어디까지 가능한 지? 궁금하시는 분들 많죠.
발치교정이나 돌출 교정 어린이 교정 치료 등 치아교정이 가능한 대부분의 경우라면 인비절라인 치료를 하고 있습니다.
하지만 경험상으로 인비절라인 교정 힘들겠다. 인비절라인 보다는 차라리 철사교정으로 진행하는 것이 낫겠다 싶은 부분도 있는데요
그 부분에 대해 오늘 소개하겠습니다.
치아가 짧은 경우
치아가 짧은 경우? 인비절라인 비추천 합니다.
이 경우에는 철사교정을 권합니다.

이런 치아는 치아길이가 평균입니다.

이런 치아가 짧은 치아 입니다.

치아 길이가 적당한 사람과 짧은 사람 비교 사진
치아가 짧으면 브라켓 교정 치료 클리피씨로 진행했을 때는 큰 문제가 없지만
인비절라인으로 진행을 하면 진행이 잘 안됩니다.
인비절라인만 그런게 아니라 투명교정장치 모두가 그렇습니다.
인비절라인은 투명한 틀이 치아를 최대한 많이 감싸야 그만큼 힘 전달이 유리한데요 치아가 짧으면 틀이 치아를 잡을 부분이 거의 없어서 힘 전달이 잘 안됩니다.
어태치먼트가 있으면 그나마 좀 낫지만 쉬운 교정이 아니라서 조금 복잡한 교정이라면 클리피씨 철사교정에 비해 상당히 오래 걸리고 불리합니다.
그래서 이러한 경우에는 환자분에게 비용으로나 기간으로나 클리피씨 철사교정이 유리하므로 철사교정을 권유합니다.
그럼 반대로 치아가 길다면요?
인비절라인 교정 진행이 아주 잘 됩니다.

어금니는 안 짧은데 앞니만 짧은 경우는 방법이 있습니다.
잇몸성형을 해서 치아의 길이를 늘려주고 인비절라인을 주문하면 됩니다.
하지만 어금니는 잇몸성형도 불가능하여 인비절라인을 비추천 합니다.
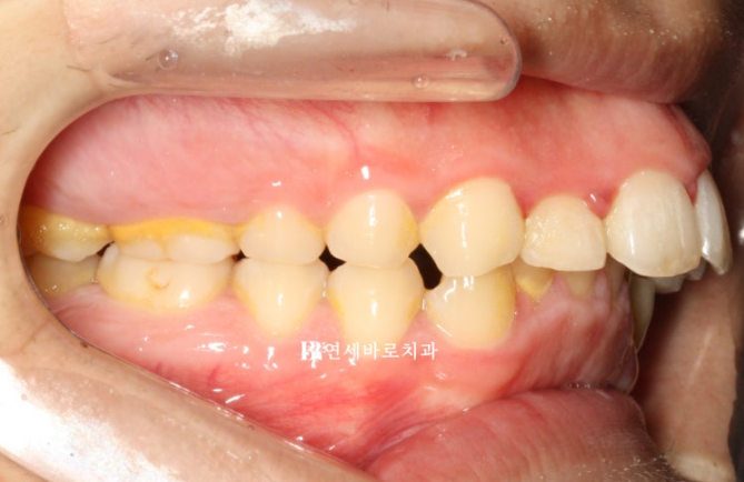
이 환자분도 처음에는 인비절라인을 원하셨으나 클리피씨 철사교정 추천드렸습니다.
자 그럼 다른분 보여드릴게요
이 환자분도 인비절라인 치료를 원하셨습니다.

앞에분과 비슷한 정도로 앞니가 짧습니다.
그런데 어금니의 길이는 정상입니다.
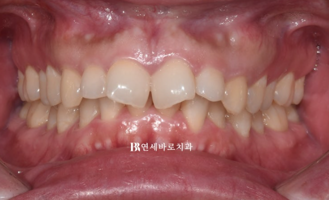
이때는 방법이 있습니다.
잇몸성형을 먼저 하시고 앞니 길이를 늘려서 정상치로 회복시켜준 후 인비절라인 치료를 위한 스캔을 하고 준비합니다.

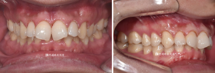
잇몸성형 직후
인비절라인 비추천 케이스 소개드렸습니다.
발치교정 돌출입 교정 그 어떤 부정교합도 아니라 치아가 짧은 경우가 인비절라인 비추천 경우라고 생각합니다.

