안녕하세요
덧니 인비절라인 교정 강남 인비절라인 교정치과 입니다

23.03
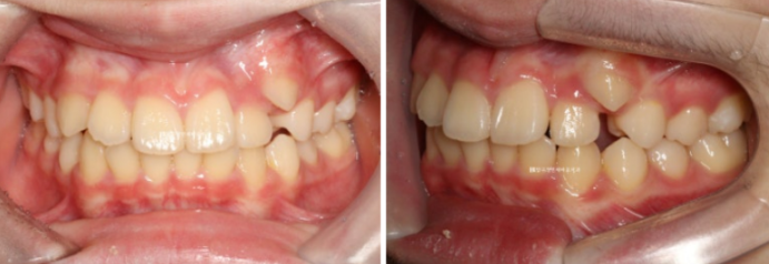
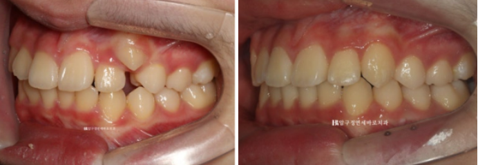
덧니가 있어서 내원한 학생입니다.
덧니를 고치고 싶어서 내원을 하였지만, 위 아래 중심선도 맞지 않는 것이 보입니다.
중심선은 덧니쪽으로 쏠려 있는 경우가 많고 덧니가 개선이 되면 중심선도 자연스레 맞아집니다.

23.03
송곳니 덧니의 원인은 무엇일까요?
송곳니가 가장 마지막에 나오는 치아라서 먼저 나온 앞니에 자리를 빼앗긴 상태로 내려오게 됩니다.
즉 앞니 중 가장 늦게 내려오는 치아여서 이가 나올 공간이 부족한 상태가 되기 쉬우며 그래서 덧니가 되기 쉽습니다.
덧니 예방법도 아주 간단합니다.
송곳니가 나오기 전 소아교정으로 이가 나올 자리들을 미리 넓혀주면 됩니다.
소아교정의 핵심은 이가 나올 공간을 미리 넓혀주는 것 입니다.
하지만 지금도 늦은 것은 절대 아닙니다.
인비절라인 청소년용으로 치료를 시작했습니다.
약 한 달 정도 제작기간이 필요합니다.
제작기간 거치고 장치가 도착합니다.

23.11
덧니 인비절라인 교정 장치 낀 첫날 모습입니다.
첫날은 필요한 어태치먼트 중 일부만 부착하여
아이가 장치에 적응할 수 있도록 도와줍니다.
처음부터 장치 끼기가 너무 어려우면 아이들의 의지가 꺾일 수 있습니다.

23.11
치료를 시작한 후 약 7개월이 지났습니다.
인비절라인 장치만 착용하는 교정이 아니라 고무줄을 착용해야 하는 경우도 많습니다.
이 친구도 잘 때만 고무줄을 3개월 정도 착용했습니다.
그리고 2024년 1월에 내려온 송곳니를 해결하기 위한 재제작을 했습니다.
이 재제작은 아이가 장치를 잘 못 껴서 재제작을 한 것이 아닙니다.
치료를 시작할 때부터 전략적으로 1회 재제작을 계획했습니다.
1단계는 송곳니가 나올 수 있는 공간을 만들기
2단계는 송곳니 배열하기
그 2단계를 24년 1월에 재제작 그리고 2월에 두번째 인비절라인 세트를 착용하기 시작했습니다.
2월부터 6월까지 다시 4개월 정도 진행을 하고 치료를 마무리 했습니다.

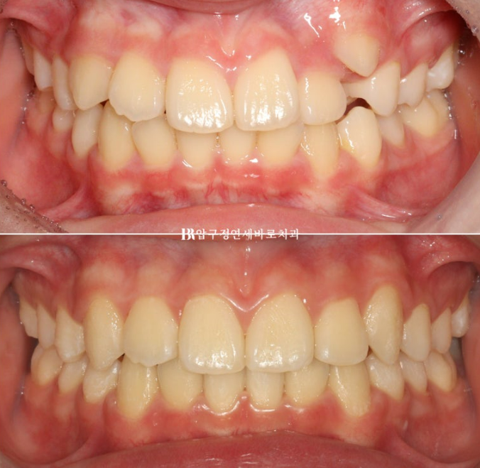
24.06
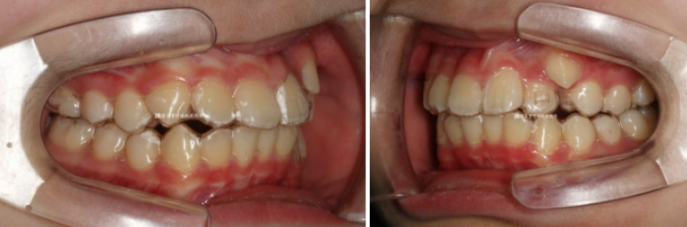
덧니 공간을 마련하고 송곳니를 배열했습니다.

처음과 끝
악궁이 약간 찌그러져 있었지만 배열 후 좋아졌습니다.

처음과 끝
덧니가 온전히 제자리를 찾았습니다.
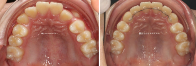
장치 제작기간을 제외하고 실제로 덧니 인비절라인 교정 장치 긴 기간은 1년 입니다.

23.03~24.06

23.03~24.06
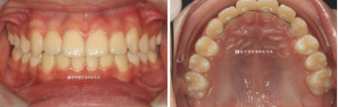
치료 전 후 자료입니다.
인비절라인 치료에서 한 번의 치료계획으로 모든 것이 해결되지 않을 수 있습니다.
필요 시 한 두 번 정도 재제작을 하기도 합니다.
덧니때문에 인비절라인 치료를 고민 중이시라면 내원해주세요
초진부터 정확하고 정밀한 상담시작합니다.

23.03~24.06

