안녕하세요
압구정 교정치과입니다.
압구정 무삭제 라미네이트 젤라미 소개를 해드릴게요.
나이가 들면서 잇몸라인이 점점 내려가게 되면 잇몸 라인에 맞추어 오래된 크라운도 교체를 해야 합니다.
오래 전 했던 크라운 하방으로 뿌리가 노출이 되기 때문입니다.
오늘은 오래 된 크라운 교체와 무삭제 라미네이트를 함께 치료한 사례를 소개하겠습니다.

23.06
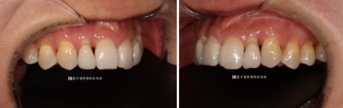
내려간 잇몸라인에 맞춰서 앞니 무삭제 라미네이트를 위해 찾아오신 40대 환자분입니다.
오래 전 왜소치를 크라운 치료했던 흔적이 보입니다.
앞니 끝단에 깨진 부분도 보입니다.

23.06
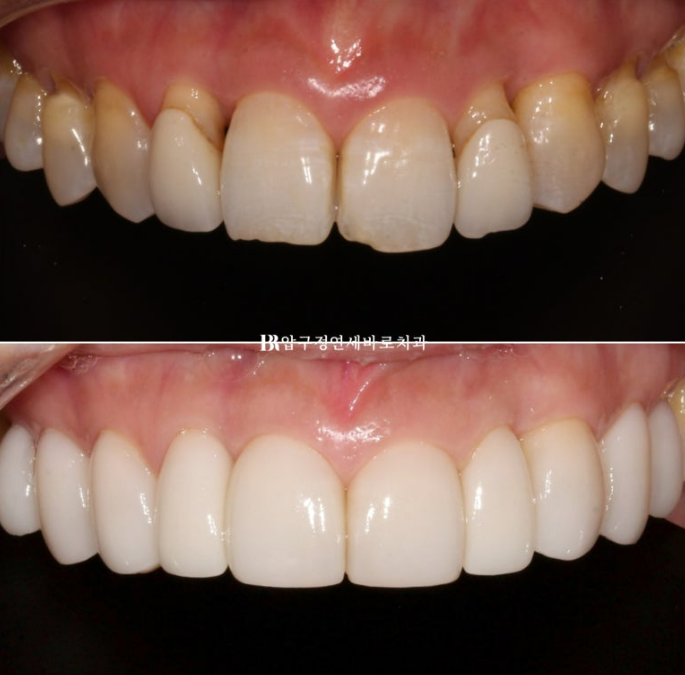
잇몸 질환때문에 부분적으로 잇몸이 많이 내려가서 블랙트라이앵글도 큰 부위가 보입니다.
다행히 치아 배열이 가지런한 편이기도 하고 치아 각도도 뻗침 없이 일자로 떨어지는 형태여서 교정 없이 바로 피팅 준비에 들어갑니다.

23.06
피팅으로 치아 모양과 사이즈를 확인하고 라미네이트 제작에 들어갑니다.
초진과 피팅 사이에는 일주일의 시간이 필요합니다.
피팅 후 모양 수정을 거친 후 라미네이트 제작까지 또 일주일이 소요가 됩니다.

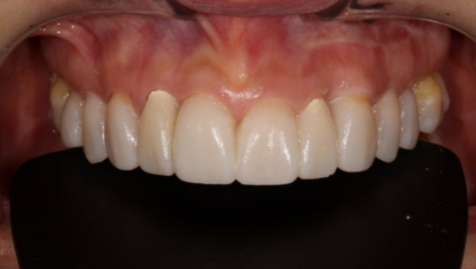
23.07
일주일 후 라미네이트 붙인 모습입니다.
기존 크라운 2개는 잇몸라인에 맞춰서 교체했고
무삭제 라미네이트는 작은어금니부터 작은어금니까지 총 6개를 치료했습니다.

블랙트라이앵글이 잘 감춰지면서도 이행부에 턱이 지지 않도록 신경써서 디자인이 되었습니다.
항상 잇몸건강이 우선입니다.

23.06~23.07
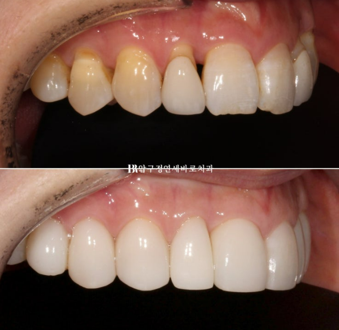
너무 하얗게 튀지 않도록 톤도 우윳빛으로 자연스럽게 합니다.
푸르스름한 느낌이 나는 쿨톤 흰색은 권유드리지 않습니다.
우리나라 사람 피부톤에는 쿨톤 흰색 라미네이트가 어색합니다.

23.06~23.07
무삭제 라미네이트 젤라미 옆모습도 자신있게 !

