안녕하세요
압구정 인비절라인 교정치과입니다.
송곳니 덧니와 반대교합이 있는 증례에서 어금니 교합이 좋다면 인비절라인 라이트로도 좋은 결과가 나옵니다.
그간 해왔던 백의선 대표원장님 인비절라인 라이트 반대교합 덧니 해소 증례 포스팅들을 참고하시면 좋습니다.
오늘도 비슷한 이야기입니다.

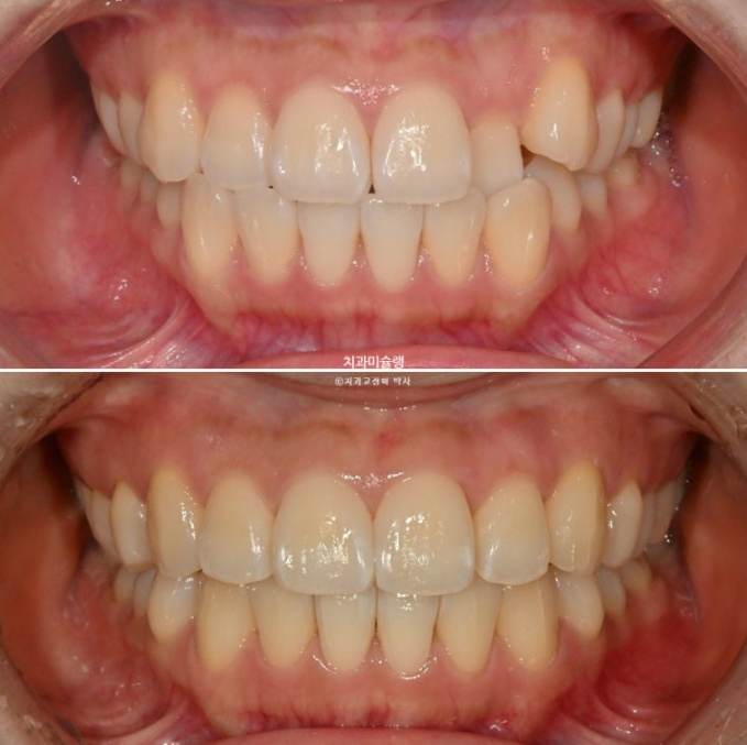
25.03~25.12
중심선 불일치, 덧니, 측절치 반대교합을 인비절라인 라이트로 치료한 증례입니다.
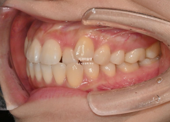
올해 초 인비절라인 교정을 위해 온 환자분입니다.
타원에서 발치와 비발치 전체교정 설명을 듣고 오셨습니다.

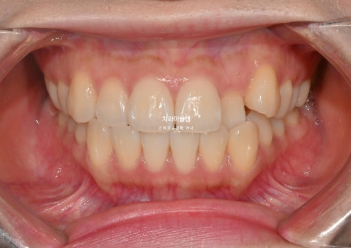
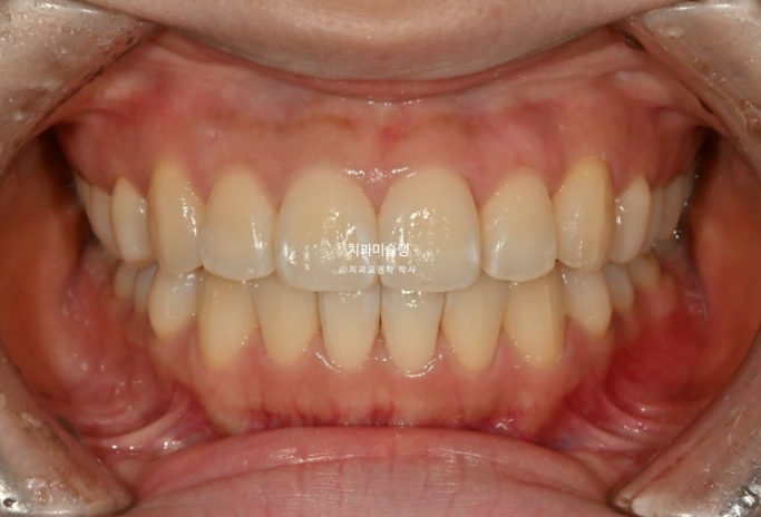
25.03
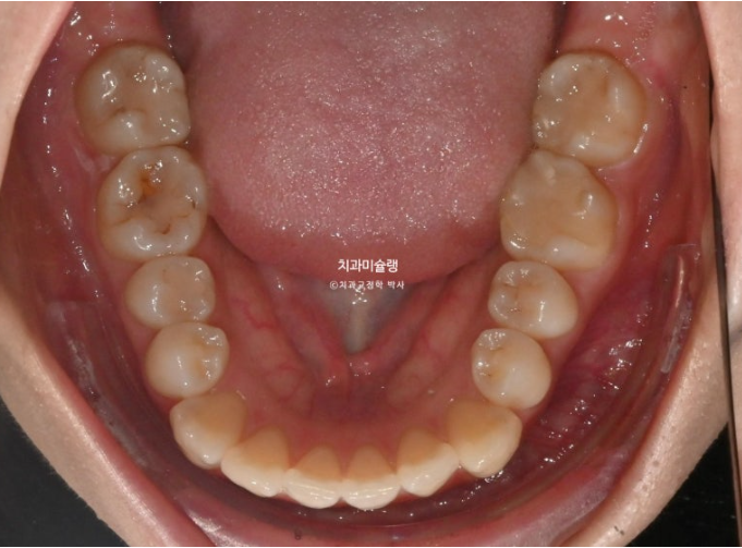
중심선 불일치, 덧니, 반대교합 등이 보입니다.

절단교합도 보이고

앞니쪽은 뒤죽박죽이나 그에 비하면 어금니 교합은 아름다운 1급 교합관계를 보입니다.


인비절라인 라이트 반대교합
인비절라인 라이트의 완벽한 적응증이죠
단 앞니 배열을 위해 소량의 치간삭제는 필요합니다.
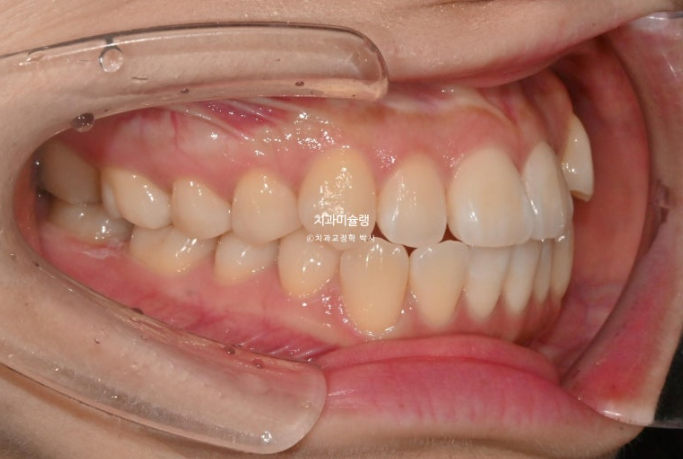
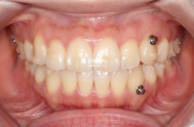
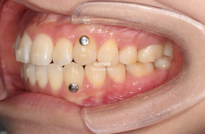
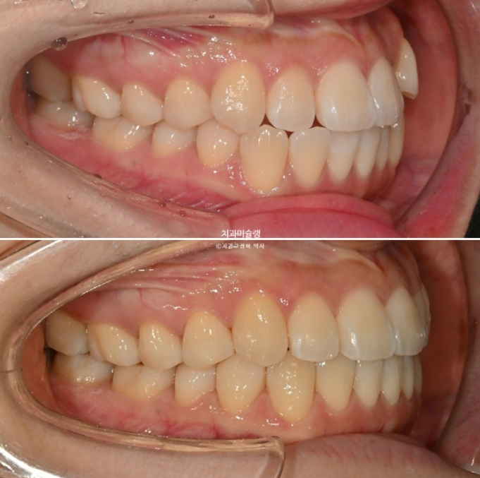
25년 3월부터 8월까지 첫세트 14개 장치를 모두 낀 후 모습입니다.

25.08
덧니 개선을 위한 고무줄 처방이 함께 들어갔으며, 메탈 고리는 고무줄 거는 고리를 치아에 붙여놓은 것 입니다.


반대교합은 해소가 되었지만 아직 중철치 - 측절기간 단차가 보이는 상태입니다.

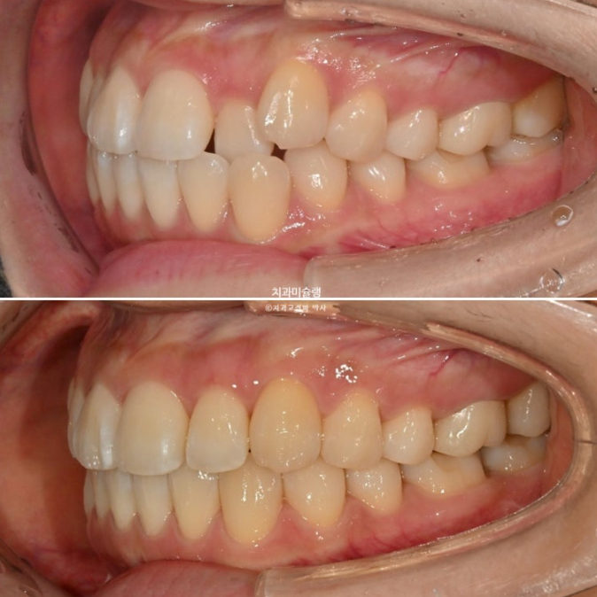
미진한 부분들을 바로잡고자 추가장치 제작에 들어갑니다.
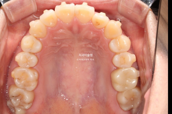
25년 9월부터 12월까지, 10개의 추가장치를 모두 낀 후 치료를 마무리 했습니다.

중심선은 완벽히 맞으며 앞니 배열과 높낮이는 교과서적입니다.

원래 좋았던 어금니 교합은 잘 유지되었습니다.
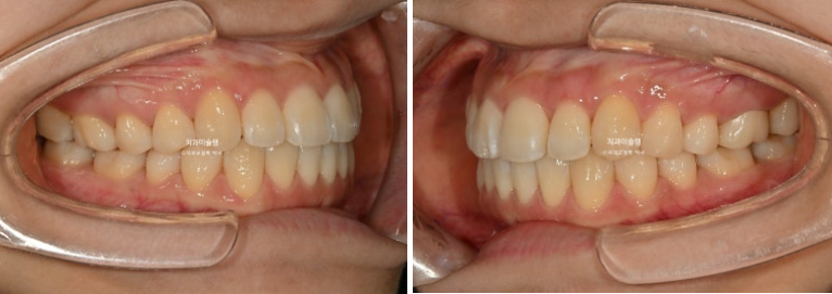
이제 전후비교 볼게요. 총 치료기간은 9개월입니다.

25.03~25.12

유지장치까지 들어간 모습입니다.
치간삭제를 하면 치아가 너무 작아지지 않으냐는 질문을 많이 받습니다.
또 시리지는 않을까 걱정하시죠.

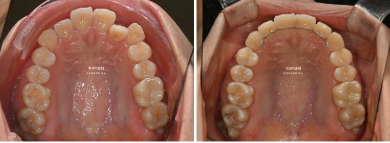
25.03~25.12
이 사진에서 보듯 치아가 초진에 비해 작아질 정도까지 치간삭제를 하지는 않습니다.
만약 치아가 작아보일 정도까지 했거나 치아가 시려질때 까지 했다면 그건 치간삭제를 너무 과하게 한거죠.
통상 에나멜층에 한정해서 부위당 0.2mm씩 최소량 시행하면 치료에 도움이 됩니다.
그러나 그 양이 과하면 치아건강을 해지게 되겠죠.
과유불급 이라는 말처럼요.


이제 안모 비교 보겠습니다.

25.03~25.12
인비절라인 라이트 반대교합

25.03~25.12
앞니 뻗침의 미세한 개선

25.03~25.12
아래 앞니가 뒤로 들어가면서 아랫입술이 소량 후방이동 했고 따라서 큰 변화는 아니지만 입매는 묘하게 예뻐졌습니다. 뚱한 느낌이 사라졌다고 표현을 합니다.
인비절라인 교정을 고민중인 분들께 이 포스팅이 도움이 되길 바랍니다.

