안녕하세요
압구정 무삭제 라미네이트
소개해드리겠습니다.

24.01
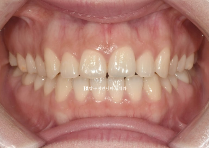
무삭제 라미네이트 치료를 위해 찾아오신 환자분입니다.

오래전 교정치료를 완료한 상태이고 그간 유지장치가 떨어지거나 하는 일들이 있었는 지 앞니 사이가 벌어져 있습니다.

24.01
이 환자분의 치료에서 주목할 점은 스마일라인 입니다.
스마일라인이란?
윗니 끝단을 이은 선을 말합니다.

간혹 이 스마일라인 위의 그림처럼 편평하거나 곡선이 반대로 뒤집어져 있으면 미소가 어색합니다.
아래 그림처럼 스마일라인이 아랫입술과 평행을 이룰 때 가장 아름다워 보입니다.

환자분의 스마일라인을 보겠습니다.
치아를 이은 선이 일자죠?
이런 상태를 리버스 또는 플랫 스마일이라고 합니다.
웃을 때 뭔가가 어색해보이죠?
무삭제 라미네이트 제작시 앞니 옆니 송곳니에 이어지는 길이를 조절해서 예쁜 스마일라인을 만들어내는 것이 좋습니다.

24.01
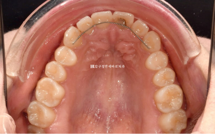
다행인것은 예전에 교정을 하고 유지장치를 붙여놓은 상태라 벌어진 부분은 있을지언정 치열은 가지런했기에 바로 무삭제 라미네이트 피팅 준비에 들어갔습니다.
송곳니 뒤의 작은어금니까지 위에만 총 8개의 무삭제 라미네이트를 진행하기로 했습니다.
이제 피팅 사진 보겠습니다.

24.01
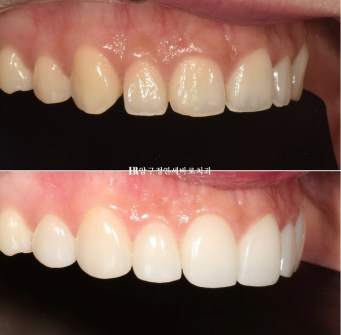
가운데 앞니 두 개가 길어진 것이 눈에 보입니다.

24.01
가운데 앞니 두 개는 길게 하고 송곳니로 갈수록 최대한 짧게 하면 스마일라인을 바꿀 수 있습니다.
기존의 편평한 느낌에서 아랫입술과 평행한 예쁜 곡선으로요
스마일라인 하나로 웃을 때 자연스럽고 예뻐집니다.
피팅 하는 날 스마일라인의 디테일한 조절 뿐 아니라 치아 끝단 모양의 동글동글한 정도의 선호도를 반영하여
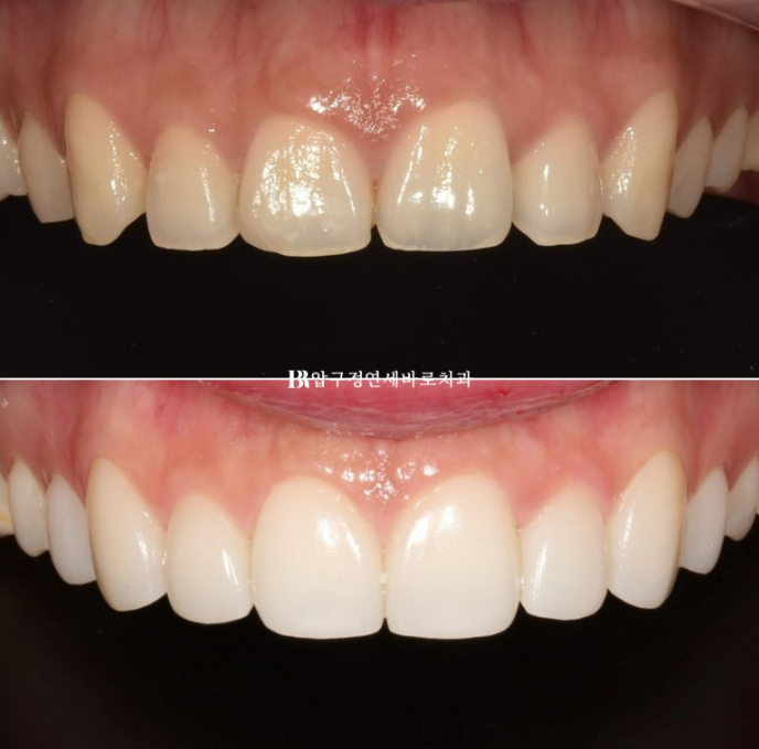
최종 라미네이트 제작에 들어갔습니다. 환자분은 피팅한 치아모양 보다는 좀 더 동글동글한 느낌을 원하셔서 실제 라미네이트 최종 모양은 다음과 같습니다.

24.01~24.02
무삭제 라미네이트 젤라미는 100% 삭제 없이 마취 없이 임시치아 없이 진행됩니다.
말만 무삭제가 아닙니다.
최소삭제도 아닌 정말 무삭제 입니다.
자연스러운 치아의 모양과 톤을 최우선으로 둡니다.

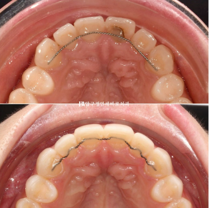
24.01~24.02
무삭제 라미네이트 젤라미 두께가 어느정도인지 가늠할 수 있도록 교합면 사진을 비교해보겠습니다.
위가 초진, 아래가 8개 치아 전부에 삭제 없이 무삭제 라미네이트를 부착한 모습입니다.
두께차이가 보이지 않는 정도라는 것은 젤라미의 두께가 어느정도로 얇은지 보여줍니다.
가장 얇은 곳 기준 0.1mm 까지 재현이 가능합니다.

24.01~24.02
치아 사이 벌어진 공간은 라미네이트로 메꿔졌습니다.
송곳니는 기존 치아 길이를 최대한 유지하고 측절치에서 앞니로 갈수록 세로로 점점 더 길어지게 제작하여 아래로 둥근 곡선의 스마일라인을 재현합니다.
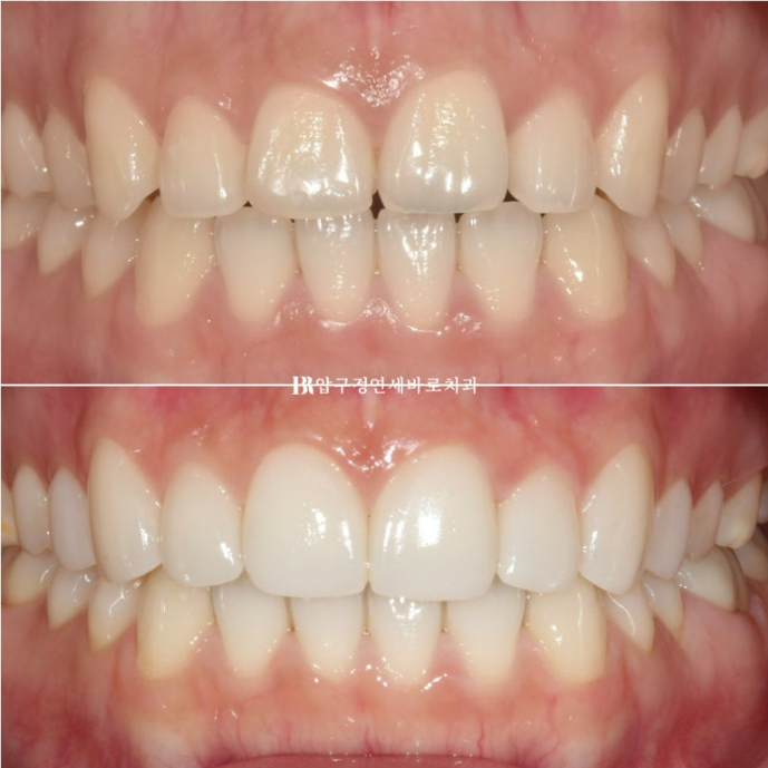
정면 비포 애프터 사진을 보면 스마일라인 변화가 좀 더 잘 보입니다.

24.01~24.02
스마일라인을 그어볼까요?

24.01~24.02
자연스러운 스마일라인은 인상을 바꿔줍니다.

24.01~24.02
아랫입술과 평행한 스마일라인

24.01~24.02
위에만 무삭제 라미네이트를 하면 아랫니와 색상 차이가 심할까봐 걱정하시는 분들이 많습니다.
환자분 본연의 치아 색에 따라 다르지만 본래 치아가 어둡지 않은 분은 아랫니에 미백치료만 해도 톤차이가 거의 없이 잘 어울러집니다.
예쁜 미소와 함께 좋은 일만 가득하세요

