안녕하세요
압구정 교정 치과 입니다.
그 중에서도 주걱턱 비대칭 환자의 악궁확장을 동반한 인비절라인 교정치료 이야기입니다.

22.12~25.03
23년 1월부터 치료를 시작해서 25년 3월에 치료가 마무리 되었습니다.
그 중 초반 악궁확장 기간을 제외하고 실제 인비절라인 장치를 끼면서 교정을 한 기간은 23년 7월부터 25년 3월까지 1년 8개월이고 재제작은 2회였습니다.
2022년 12월에 앞니 반대교합과 개방교합을 고치러 내원하신 분 입니다.

2022.12
파란 화살표 큰어금니가 거꾸로 물립니다.
반대교합이라고 합니다.
위 악궁에 비해서 아래 악궁이 넓기 때문에 반대교합입니다.
뿐만 아니라 주걱턱으로 인해서 송곳니와 앞니에도 반대교합이 보입니다.
아래턱이 우측으로 틀어져 있는 비대칭도 보이고 윗니와 아랫니가 떠 있는 개방교합도 보입니다.

2022.12
간혹 교정 상담을 하다보면 악궁 부조화가 없고 즉 어금니가 거꾸로 물리는 부분이 없고 상악 악궁이 좁지 않는데도 악궁확장장치를 루틴하게 권하는 치과들이 있습니다.
저희는 입천장에 악궁확장장치가 꼭 필요한 성인에 한해서 미니스크류를 이용한 악궁확장장치를 씁니다.
골격분석상 주걱턱 진단이 되었으며 골격적 비대칭도 있는 상태지만 교정치료만 하기로 했습니다.
MSE 악궁확장장치로 악궁확장을 도모한 후에 인비절라인으로 개방교합 및 반대교합을 해결하기로 했습니다.
아래 전체 치열은 사랑니 공간 이용 후 후방이동이 필요합니다.
먼저 악궁확장부터 해야겠죠.

23.01
초진 한달 후인 23년 1월 악궁확장장치를 낀 모습입니다.

23.01
입천장에 설치된 악궁확장장치는 정면에서는 보이지 않습니다.
23년 1월부터 확장을 시작했고 2월, 봉합이 아직 벌어지지 않았는데 악궁확장장치가 더 이상 돌아가지 않아 corticopuncture 라는 소수술을 해서 적극적으로 입천장 봉합 분리를 도모했습니다.
그 이후 3월 악궁확장이 성공하여 앞니 사이 커다란 공간이 생겼습니다.

23.03
앞니 사이 벌어진 공간 때문에 사회생활 하기 쉽지 않습니다.
그래서 레진으로 임시로 메워드렸습니다.

23.03
악궁확장이 성공한 이후로 통상 장치를 6개월 이상 유지하는 것이 좋습니다.
벌어진 봉합부에 뼈가 찰 시간을 주는 것입니다.
그동안 앞니 사이의 벌어진 틈은 조금씩 줄어듭니다.

23.05
3개월 후 앞니가 천천히 이동하면서 앞니 사이 공간이 자연스럽게 줄어든 모습입니다.
이제 어느정도 뼈가 찼으니 인비절라인 장치를 주문합니다.

23.05
입천장 부분만 남기고 치아에 붙은 부분을 제거 후 스캔하여 치료계획을 세우고 장치를 오더했습니다.
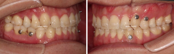
23년 7월부터 인비절라닝 첫 장치를 끼기 시작했습니다.
1년 간 장치를 모두 낀 후 모습입니다.

24.07
앞니 벌어진 공간은 잘 닫혔고 개방교합도 해소가 되었습니다.

24.07
윗니가 아랫니를 앞에서 잘 덮게 되었습니다.
교합과 중심선 개선, 소구치 회전 등을 위해서 추가제작에 들어갔고 24년 8월부터 11월까지 4달간 추가장치를 꼈습니다.

24.11

24.11
어금니 교합은 안정적으로 좋아졌지만 아주 약간의 중심선 불잏치가 남아 재제작 한 세트 더 했습니다.
재제작을 총 2번 했습니다.
24년 12월부터 25년 2월까지 3달간 장치를 더 낀 후 치료를 마무리 했습니다.

잘 맞아진 중심선과 좋은 교합이 보입니다.

어금니 교합이 완벽하지 않으면 치료를 마무리 짓지 않습니다.


철사유지장치까지 들어간 모습입니다.
이제 전 후 비교해보겠습니다.
23년 1월 치료를 시작해서 악궁확장 및 뼈가 차길 기다리던 시간이 6개월이고 실제 인비절라인 장치를 끼면서 교정을 한 기간은 23년 7월부터 25년 3월까지 총 1년 8개월입니다.

23.01~25.03
악궁확장장치를 통해 넓어진 상악 악궁

23.01~25.03

23.01~25.03

23.01~25.03

23.01~25.03
단순 심미적인 목적을 떠나 좋은 교합은 교정치료의 기본이라고 생각합니다.

23.01~25.03
앞니에서는 개방교합과 거꾸로 물리던 부분이 해결이 되면 안정적인 교합이 만들어졌습니다.
안모 비교 보겠습니다.

23.01~25.03
악궁확장을 했다고 해서 입동굴이 반드시 없어지는 것은 아닙니다.
턱끝의 비대칭은 처음에 비하여 완화되어 보입니다.

23.01~25.03
깔끔한 앞니 각도

25.03
치근흡수는 없고 치근평행도도 좋습니다.
긴 글 읽어 주셔서 감사합니다.

