Hello,
This is Apgujeong Orthodontic Clinic.
This is a story about Invisalign treatment with palatal expansion for a patient with a Class III bite and facial asymmetry.

22.12~25.03
Treatment started in January 2023 and was completed in March 2025.
Excluding the initial palatal expansion period, the actual orthodontic treatment period while wearing Invisalign aligners was from July 2023 to March 2025, for a total of 1 year and 8 months, and the aligners were remade twice.
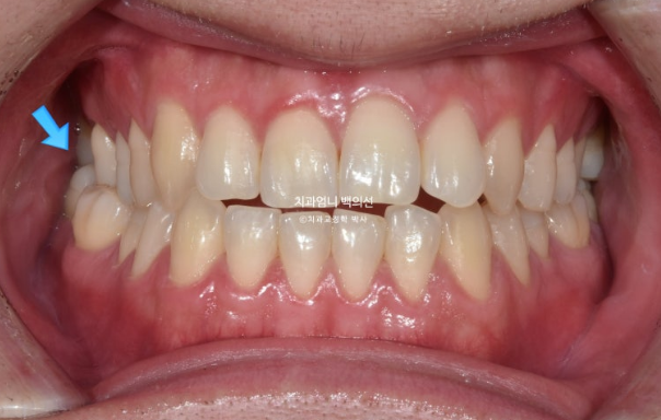
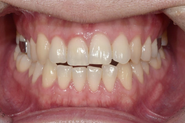
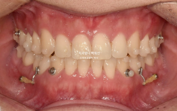
This patient visited us in December 2022 to correct anterior crossbite and open bite.

2022.12
The blue arrow indicates that the molar bites in reverse.
This is called a crossbite.
Because the lower arch is wider than the upper arch, this is a crossbite.
In addition, due to the underbite, crossbite is also seen in the canines and front teeth.
A mandibular asymmetry with the lower jaw shifted to the right is also visible, along with an open bite where the upper and lower teeth do not meet.

2022.12
Sometimes, during orthodontic consultations, there are clinics that routinely recommend palatal expansion devices even when there is no arch discrepancy, meaning there is no reverse molar bite and the maxillary arch is not narrow.
At our clinic, we use a palatal expansion device with miniscrews only for adults who truly need expansion of the palate.
Based on skeletal analysis, the patient was diagnosed with an underbite and also had skeletal asymmetry, but we decided to proceed with orthodontic treatment only.
After attempting arch expansion with an MSE palatal expander, we planned to resolve the open bite and crossbite with Invisalign.
The lower full arch required distal movement after making use of wisdom tooth space.
First, we needed to expand the arch.

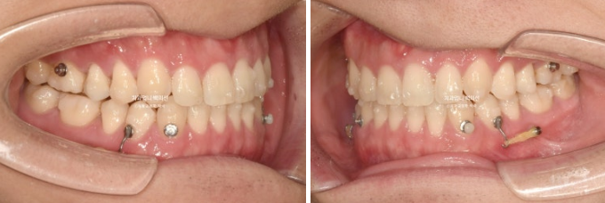
23.01
This is what it looked like in January 2023, one month after the initial visit, with the expansion device in place.

23.01
The palatal expansion device installed in the palate is not visible from the front.
Expansion began in January 2023, and in February, although the suture had not yet opened, the expansion device could no longer turn. A minor procedure called corticopuncture was performed to actively promote separation of the palatal suture.
After that, expansion was successful in March, creating a large space between the front teeth.

23.03
Because of the large gap between the front teeth, it is not easy to get through daily social life.
So we temporarily filled it with resin.

23.03
After successful arch expansion, it is generally recommended to keep the appliance in place for at least 6 months.
This allows time for bone to fill in the separated suture area.
During that time, the gap between the front teeth gradually becomes smaller.

23.05
Three months later, as the front teeth slowly moved, the space between them naturally decreased.
Now that enough bone had filled in, we ordered the Invisalign aligners.

23.05
After removing the parts attached to the teeth while leaving only the palatal section, we scanned, planned the treatment, and ordered the aligners.
We started wearing the first Invisalign aligners in July 2023.
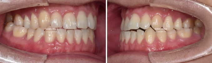
This is what it looked like after wearing all the aligners for one year.

24.07
The space between the front teeth closed well, and the open bite was also resolved.

24.07
The upper teeth now overlap the lower teeth properly in the front.
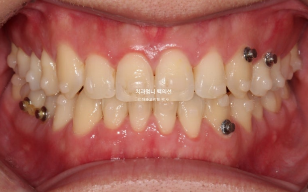
For improvement of the bite, midline, and premolar rotation, we went into a remaking phase, and from August to November 2024, the patient wore an additional set of aligners for 4 months.

24.11

24.11
The molar bite improved stably, but a very slight midline discrepancy remained, so we made one more additional set.
In total, the aligners were remade twice.
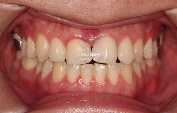
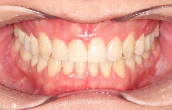
After wearing the aligners for another 3 months from December 2024 to February 2025, the treatment was completed.

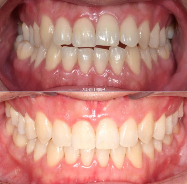
You can see a well-aligned midline and a good bite.

If the molar bite is not perfect, we do not finish treatment.


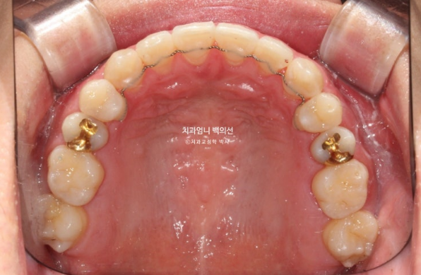
This is how it looks with the wire retainer in place.
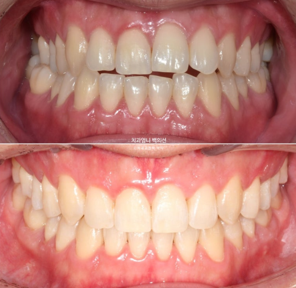
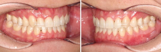
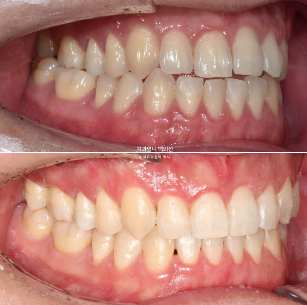
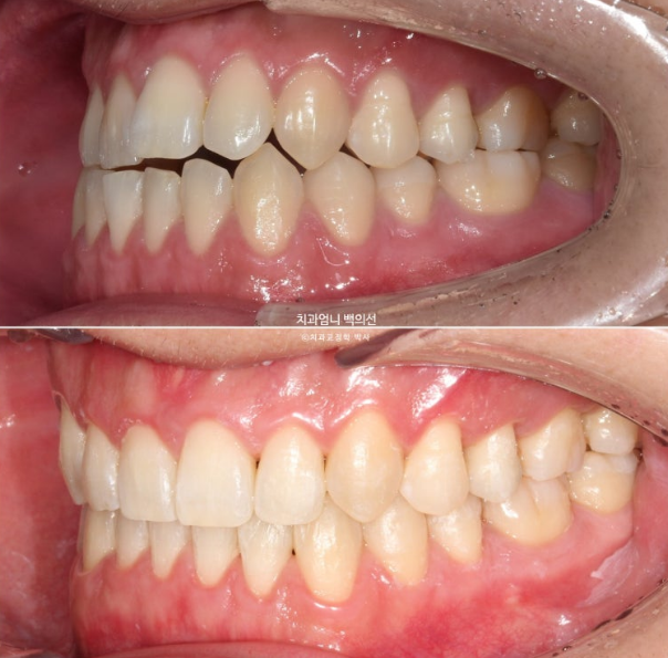
Now let’s compare before and after.
Treatment began in January 2023, and the time spent on arch expansion and waiting for bone to fill in was 6 months. The actual orthodontic treatment period while wearing Invisalign aligners was from July 2023 to March 2025, for a total of 1 year and 8 months.

23.01~25.03
The upper arch widened through the palatal expansion device

23.01~25.03

23.01~25.03

23.01~25.03

23.01~25.03
Beyond simple aesthetics, I believe that a good bite is the foundation of orthodontic treatment.

23.01~25.03
In the front teeth area, once the open bite and reverse bite were corrected, a stable bite was created.
Let’s look at the facial comparison.

23.01~25.03
Even after palatal expansion, the buccal corridor does not necessarily disappear.
The asymmetry of the chin appears to have been reduced compared with the beginning.

23.01~25.03
Clean front tooth angulation

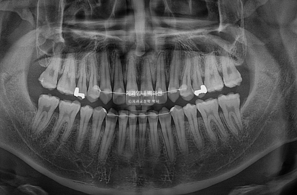
25.03
There is no root resorption, and root parallelism is good.
Thank you for reading this long post.

