아카이브 요약
이 페이지의 역할
연세바로치과의원의 네이버 블로그 원문을 보존한 아카이브 페이지입니다. 인비절라인 카테고리의 인비절라인 라이트 돌출 과개교합 중심선 교정 치간삭제 치료기간 글을 통해 병원의 한국어 정보 제공 방식과 진료 관련 안내 톤을 확인할 수 있습니다.
원문 검증
필요하면 원문 블로그와 병원 프로필로 바로 이동해 문맥을 다시 확인할 수 있습니다.
출처 아카이브 열기아카이브된 블로그 글
연세바로치과의원 · 치과미슐랭
안녕하세요. 오늘은 간단한 교정, 인비절라인 라이트 케이스 보면서 아~ 이렇게도 치료 할 수 있구나. 하고 봐주시면 좋겠습니다. 2025.02~2025.12 치아교정만큼 치과마다 원장님마다 권하는 치료방법이 다양한 치료가 또 있을까요. 발치나 비발치냐 부분교정이냐 전체교정이냐 정답이 있는 건 아니고 각각의 치료목표가 다르...
게시일
2026년 1월 26일
원문 기준으로 확인된 발행일입니다.
카테고리
인비절라인
원문 블로그 카테고리를 정리해 함께 표시합니다.
이미지 수
20
현재 아카이브에 연결된 이미지 수입니다.
아카이브 요약
연세바로치과의원의 네이버 블로그 원문을 보존한 아카이브 페이지입니다. 인비절라인 카테고리의 인비절라인 라이트 돌출 과개교합 중심선 교정 치간삭제 치료기간 글을 통해 병원의 한국어 정보 제공 방식과 진료 관련 안내 톤을 확인할 수 있습니다.
원문 검증
필요하면 원문 블로그와 병원 프로필로 바로 이동해 문맥을 다시 확인할 수 있습니다.
출처 아카이브 열기안녕하세요.
오늘은 간단한 교정, 인비절라인 라이트 케이스 보면서
아~ 이렇게도 치료 할 수 있구나. 하고 봐주시면 좋겠습니다.

2025.02~2025.12
치아교정만큼 치과마다 원장님마다 권하는 치료방법이 다양한 치료가 또 있을까요.
발치나 비발치냐 부분교정이냐 전체교정이냐 정답이 있는 건 아니고 각각의 치료목표가 다르고 장단점이 달라서 그렇습니다.
다른 치과에서 전체교정 2년 설명을 듣고 오셨더라도 치료 목표를 조금 낮게 잡으면 간단히 인비절라인 라이트로 마무리 가능한 경우도 많은데 오늘은 그런 경우되시겠습니다.

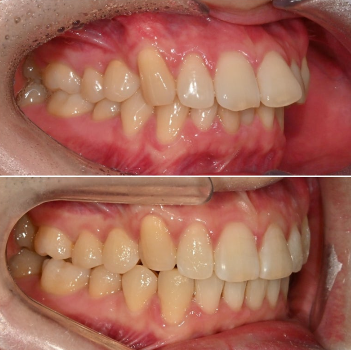
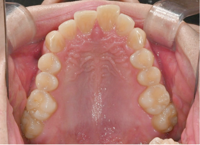
25.02
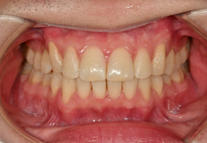
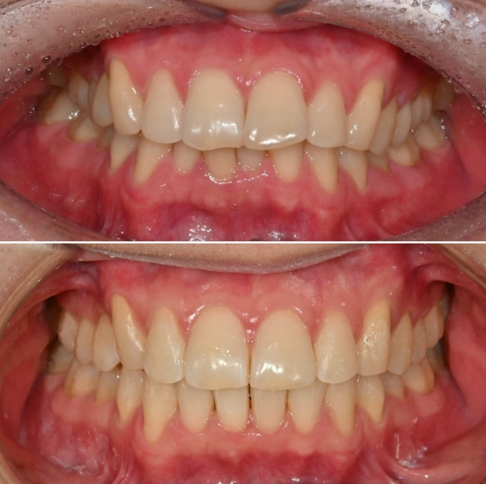
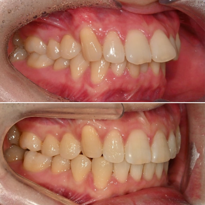
올해 초, 교정치료를 위해 내원한 30대 후반의 환자분입니다.
앞니가 깊게 물리는 과개교합.
중심선 불일치. 정도가 보입니다.

앞니가 많이 뻗쳐있습니다.

위 앞니 뻗침이 심하면 위 아래 앞니 사이 간극이 커지죠.
위아래 어금니 물리는 교합관계는 그래도 1급에 가깝습니다.

악궁모양이 약간 찌그러진 형태입니다.
이 경우 치료방법은 두가지 정도 생각해 볼 수 있습니다.
인비절라인 컴프레헨시브로 2년 기간을 넉넉하게 두고 돌출감까지 개선하는 전체교정을 하는 치료옵션과
치간삭제를 통해 뻐드렁니와 과개교합을 해결할 공간을 만들어 배열위주의 목표로 치료를 간단히 가져가는 인비절라인 라이트 치료옵션
어금니 교합관계가 1급이기 때문에 간단하게도 치료가 가능한 상황입니다.
물론 1번 옵션이라 해서 치간삭제가 안들어가진 않을겁니다.
30대 후반이라는 나이를 감안하면, 배열이 되면서 앞니 사이사이 블랙트라이앵글이 생길테고 이를 줄이려면 치간삭제 해야죠.
환자분은 인비절라인 라이트 치료 선택하셨습니다.

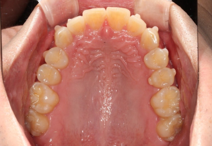
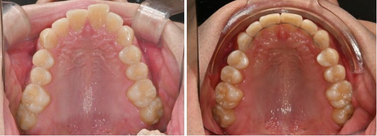
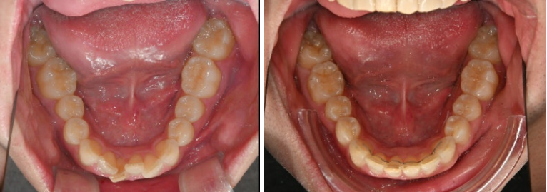
25.06
25년 2월부터 6월까지 14개 첫세트 장치를 모두 낀 후 모습입니다.
과개교합은 대부분 개선되었고 중심선 불일치도 개선되었습니다.


일부 배열상 미진한 부분을 추가로 개선하기 위해 추가장치 제작에 들어갔고 25년 12월 드디어 치료를 마무리 했습니다.

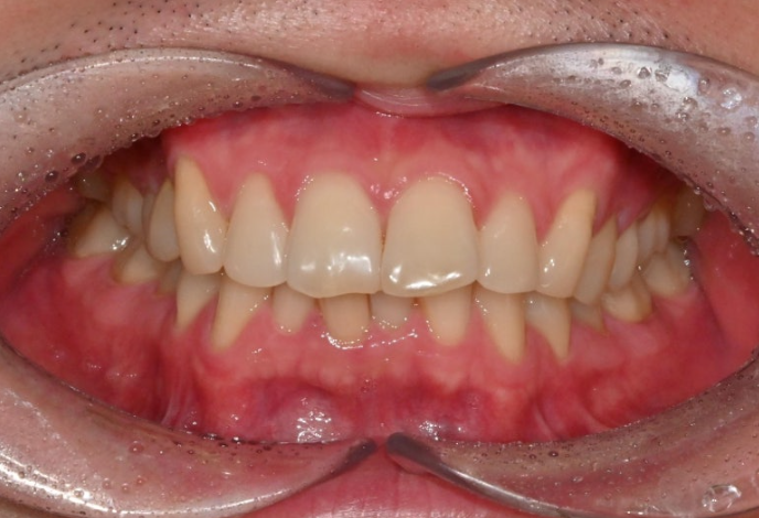
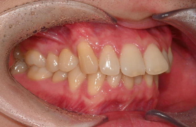
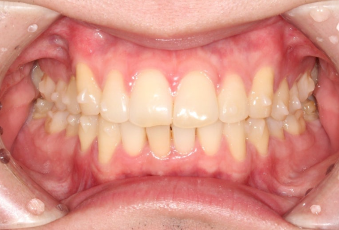
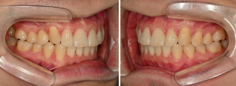
25.12
중심선은 맞아졌으며

어금니 교합은 1급 교합관계를 보입니다.
앞니 뻗침은 좋아졌네요.
이제 전후 비교 보겠습니다.

25.02~25.12


25.02~25.12
과개교합의 개선으로 아래앞니가 온전히 보이게 되었습니다.

25.02~25.12

25.02~25.12
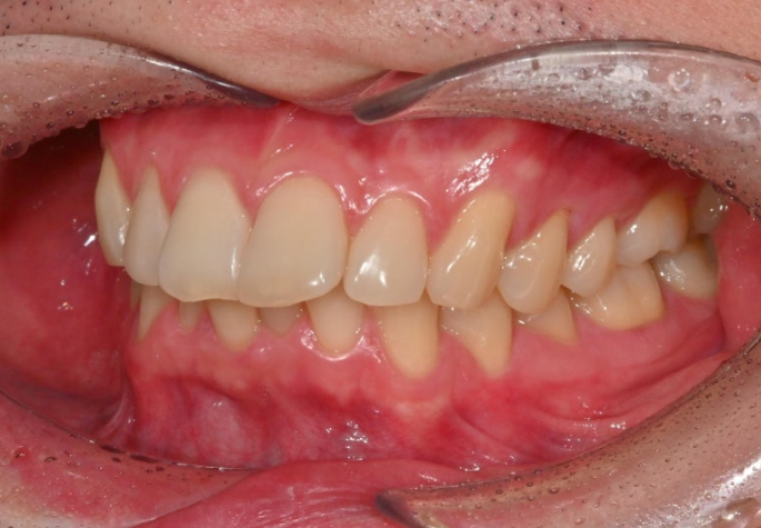
윗니 뻗침으로 인해 위 아래 간격이 크면 아랫입술이 그 사이로 숨습니다.
그래서 초진 아랫입술이 얇아보이는 거죠.

25.02~25.12
교정 후 위아래 간격이 줄면서 아랫입술이 제 모습을 드러냈습니다.

25.02~25.12

25.02~25.12
드라마틱한 돌출 해소는 포기한 간단한 인비절라인 라이트 교정이지만, 앞니 뻗침이라도 해결되니 미소가 한층 깔끔합니다.
비슷한 증상으로 교정치료를 고민 중인 분들에게 이 포스팅이 도움이 되었길 바랍니다.

