아카이브 요약
이 페이지의 역할
연세바로치과의원의 네이버 블로그 원문을 보존한 아카이브 페이지입니다. 어린이교정 카테고리의 7세 어린이 반대교합 부정교합 프리올소 치료 글을 통해 병원의 한국어 정보 제공 방식과 진료 관련 안내 톤을 확인할 수 있습니다.
원문 검증
필요하면 원문 블로그와 병원 프로필로 바로 이동해 문맥을 다시 확인할 수 있습니다.
출처 아카이브 열기아카이브된 블로그 글
연세바로치과의원 · 치과미슐랭
안녕하세요 압구정 교정치과입니다. 오늘은 가성비 어린이 부정교합 치료 알려드리려고 합니다. 바로 프리올소 입니다. 25.04~25.12 비용이 비싼 프랑켈 장치와 기능은 비슷하지만 본을 안 뜨는 장점과 기성품이다보니 비용이 훨씬 저렴하다는 장점. 그러나 비염이 있으면 사용이 힘든 장치가 바로 프리올소 입니다. 벌써 오...
게시일
2026년 1월 29일
원문 기준으로 확인된 발행일입니다.
카테고리
어린이교정
원문 블로그 카테고리를 정리해 함께 표시합니다.
이미지 수
15
현재 아카이브에 연결된 이미지 수입니다.
아카이브 요약
연세바로치과의원의 네이버 블로그 원문을 보존한 아카이브 페이지입니다. 어린이교정 카테고리의 7세 어린이 반대교합 부정교합 프리올소 치료 글을 통해 병원의 한국어 정보 제공 방식과 진료 관련 안내 톤을 확인할 수 있습니다.
원문 검증
필요하면 원문 블로그와 병원 프로필로 바로 이동해 문맥을 다시 확인할 수 있습니다.
출처 아카이브 열기안녕하세요
압구정 교정치과입니다.
오늘은 가성비 어린이 부정교합 치료 알려드리려고 합니다.
바로 프리올소 입니다.

25.04~25.12
비용이 비싼 프랑켈 장치와 기능은 비슷하지만 본을 안 뜨는 장점과 기성품이다보니 비용이 훨씬 저렴하다는 장점.
그러나 비염이 있으면 사용이 힘든 장치가 바로 프리올소 입니다.
벌써 오늘 할 이야기 결론이 다 나왔네요.

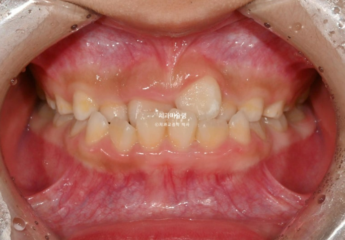
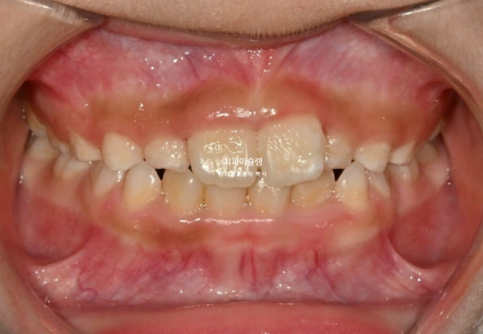
25.04
앞니가 거꾸로 물려서 온 7세 어린이 입니다.

윗니가 전체적으로 아랫니와 거꾸로 물리는 반대교합 입니다.

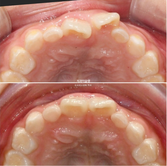
공간부족으로 앞니가 덧니처럼 나왔습니다.
엑스레이 골격분석 결과 뼈의 주걱턱은 아니였어서 프리올소 치료를 권유드렷고
두달간 장치를 열심히 껴주었습니다.

25.06
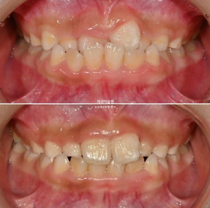
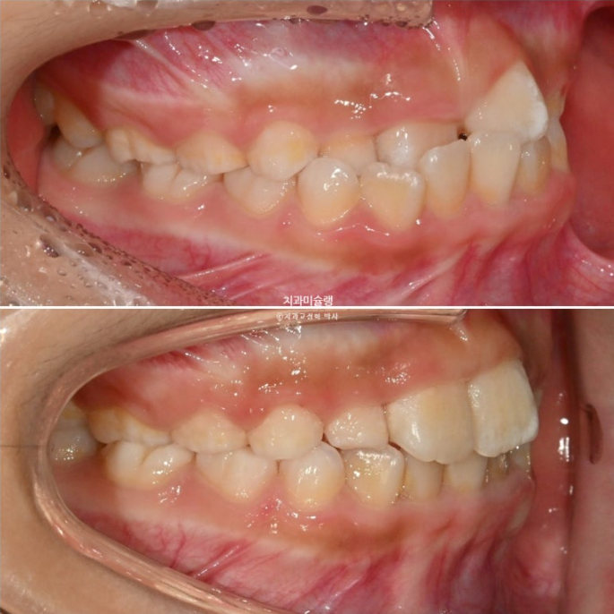
두달 후 앞니 반대교합이 해소가 되어 왔습니다.

25.06
덧니처럼 배열에서 벗어나있던 앞니가 꽤 제자리로 들어온 것이 보이죠?
프리올소는 앞니 배열을 완벽하게 하지는 않지만 약간은 잡아주는 효과도 있습니다.
하지만 프리(전)올소(교정) 이라는 말대로 본격적인 교정치료 전 반대교합 같은 상태를 완화시켜주는 용도의 장치이므로 치아교정은 추후 꼭 필요합니다.
반대교합과 같은 부정교합은 턱 성장에 나쁜 영향을 주고 앞니에 손상을 주기 때문에 빠르게 해결을 해주되, 교정치료를 하기에는 아직 어린 나이일때 유용하게 쓸 수 있는 장치가 바로 <프리올소> 입니다.
반대교합 해소 이후 프리올소는 유지장치처럼 잘때만 끼도록 합니다.
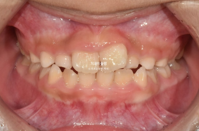
3달 정기검진때 모습입니다.

25.09
앞니 교합은 잘 유지가 되고 있으며

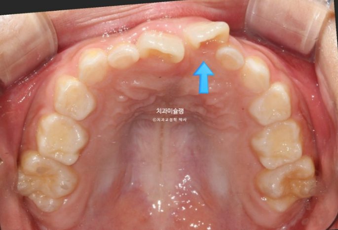
25.09
배열에서 벗어나있던 앞니가 3개월 전에 비해 좀 더 가지런하게 배열이 되어있습니다.
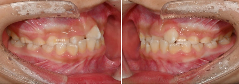
전 후 비교 보겠습니다.

25.04~25.09

25.04~25.09

25.04~25.09
이 아이는 향후 유치가 빠지고 영구치가 나오면 어린이 투명교정장치 인비절라인 퍼스트를 이용해 본격적인 교정을 할 예정입니다. 현재는 3개월 간격으로 정기관찰 중입니다.
정기검진 왔을때와 초진의 안모 비교 보겠습니다.

25.04~25.12

25.04~25.12
이 포스팅이 앞니 반대 교합으로 걱정이신 부모님들에게 좋은 정보가 되었으면 좋겠습니다.

