아카이브 요약
이 페이지의 역할
연세바로치과의원의 네이버 블로그 원문을 보존한 아카이브 페이지입니다. 무삭제 라미네이트 젤라미 카테고리의 벌어진 치아 교정 인비절라인 라이트 무삭제 라미네이트 치료 글을 통해 병원의 한국어 정보 제공 방식과 진료 관련 안내 톤을 확인할 수 있습니다.
원문 검증
필요하면 원문 블로그와 병원 프로필로 바로 이동해 문맥을 다시 확인할 수 있습니다.
출처 아카이브 열기아카이브된 블로그 글
연세바로치과의원 · 치과미슐랭
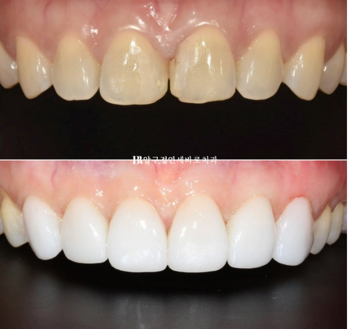
안녕하세요 벌어진 치아 교정 인비절라인 라이트와 무삭제 라미네이트 치료 후기 입니다. 24.01~25.01 완성도 있는 결과를 위해 먼저 인비절라인 교정 후 무삭제 라미네이트 치료 마무리 케이스입니다. 외국인 환자분이 무삭제 라미네이트를 하기 위해 내원하셨습니다. 24.01 그간 앞니 사이 벌어진 곳을 레진으로 떼워...
게시일
2026년 2월 5일
원문 기준으로 확인된 발행일입니다.
카테고리
무삭제 라미네이트 젤라미
원문 블로그 카테고리를 정리해 함께 표시합니다.
이미지 수
27
현재 아카이브에 연결된 이미지 수입니다.
아카이브 요약
연세바로치과의원의 네이버 블로그 원문을 보존한 아카이브 페이지입니다. 무삭제 라미네이트 젤라미 카테고리의 벌어진 치아 교정 인비절라인 라이트 무삭제 라미네이트 치료 글을 통해 병원의 한국어 정보 제공 방식과 진료 관련 안내 톤을 확인할 수 있습니다.
원문 검증
필요하면 원문 블로그와 병원 프로필로 바로 이동해 문맥을 다시 확인할 수 있습니다.
출처 아카이브 열기안녕하세요
벌어진 치아 교정 인비절라인 라이트와 무삭제 라미네이트 치료 후기 입니다.

24.01~25.01
완성도 있는 결과를 위해 먼저 인비절라인 교정 후 무삭제 라미네이트 치료 마무리 케이스입니다.
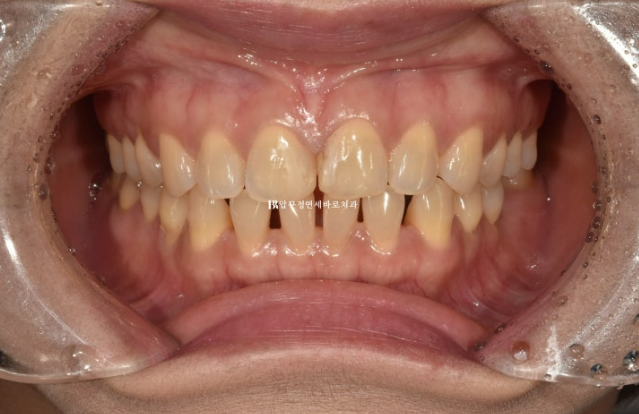
외국인 환자분이 무삭제 라미네이트를 하기 위해 내원하셨습니다.

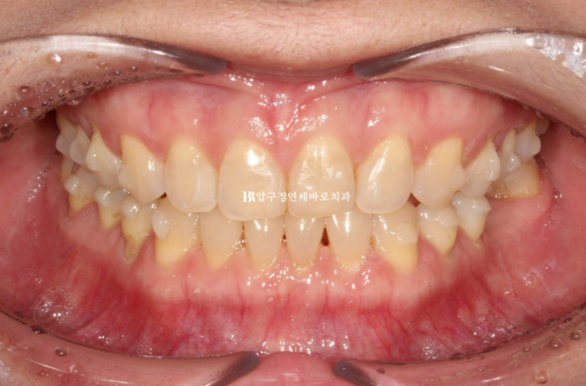
24.01
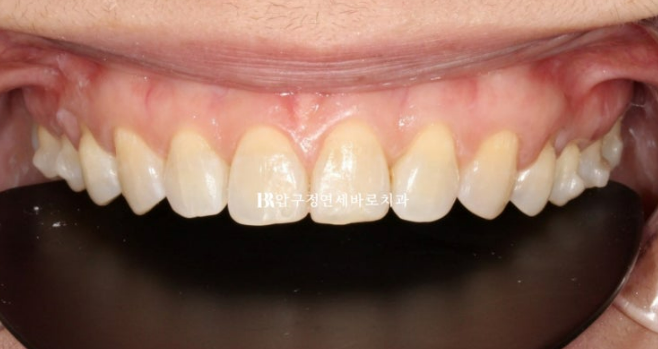
그간 앞니 사이 벌어진 곳을 레진으로 떼워 지내셨습니다.

24.01
이 상태에서 바로 라미네이트를 하면 앞니가 너무 커보입니다.
치열은 철저히 원근법을 따르기 때문에 색깔만 밝아져도 앞니는 더 커보이고 도드라져 보입니다.
완성도 있는 결과를 위해서는 레진을 제거하고 벌어진 부분을 교정으로 먼저 없앤 후 무삭제 라미네이트 하는 것을 추천드렸습니다.
벌어진 공간을 모으는 것은 인비절라인 라이트 교정을 합니다.
그렇게 해야 앞니의 가로 : 세로 비율을 4:5 완성할 수 잇음을 설명드리고 환자분이 수긍하여 인비절라인 라이트 교정 후 라미네이트 치료를 했습니다

24.01
앞니 사이 틈을 메꾸고 있던 오래된 레진 제거 후


24.01
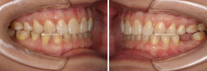
아랫니도 상당히 벌어져 있습니다.
이 상태에서 인비절라인 라이트 진행을 위해서 구강스캔을 하고 장치를 주문합니다.

24.01
인비절라인 장치 주문 후 기다리는 시간은 통상 한달반 입니다.
이 기간동안 앞니가 벌어진 채로 지낼수는 없죠?
임시로 레진을 메꾸었습니다.
한달 반 후 24년 2월 인비절라인 장치를 낍니다.
인비절라인 라이트는 장치 갯수가 14개까지 제작이 됩니다.
외국에서 거주하시면서 교정치료때만 입국하셔서 장치는 10일에 하나씩 교체했습니다.

24.07
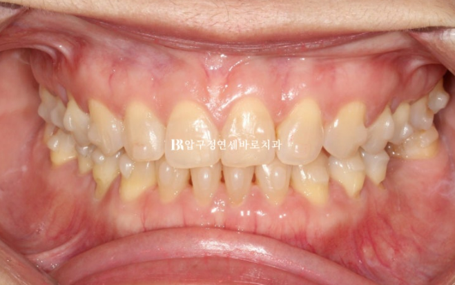
앞니 사이 벌어진 틈은 모두 없어졌고

24.07
배열도 좋습니다.

아래 앞니 하나가 덜 돌아가 있어서 추가장치 하나 더 주문하기로 했습니다.

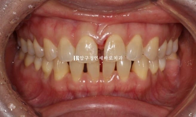
24.12
24년 8월부터 12월까지 추가장치를 다 낀 후 모습입니다.



24.12
벌어진 공간 닫기 및 배열이 완성되었습니다.

24.12
이제 무삭제 라미네이트 준비를 합니다.
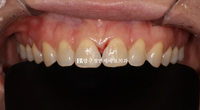
치아는 가지런해졌지만 앞니 끝단이 사선으로 마모가 되었습니다.

24.12
얼굴 사진을 보시면 마모된 앞니 때문에 교합평면이 약간 기울어져 보이는 켄팅이 보입니다.
이 부분은 무삭제 라미네이트로 커버하기로 했습니다.
기공소에 실제 전달한 디자인 자료 입니다.
외국에 거주하는 환자분의 스케줄 상 피팅 없이 진행했습니다.
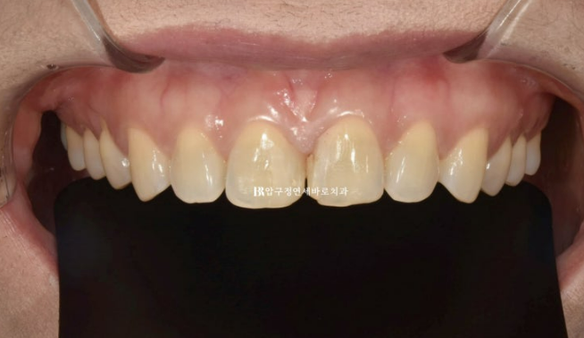
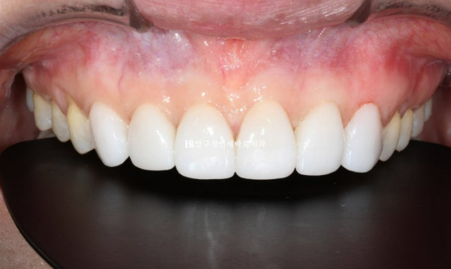
25년 1월 부착 직후 모습입니다.

25.01
환자분이 가장 하얀색을 원하셔서 이렇게 진행했습니다.

25.01
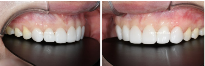
송곳니에서 송곳니까지 6개 제작

25.01
무삭제 라미네이트 부착 후 켄팅은 보이지 않습니다.

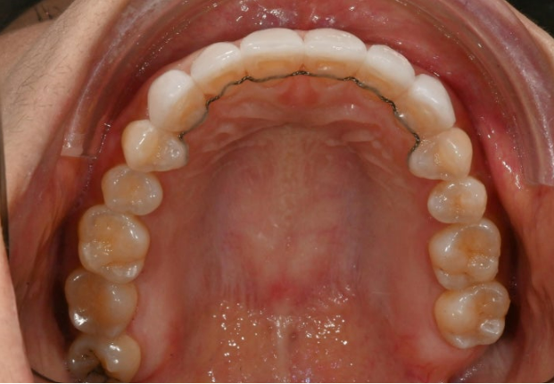
유지장치 부착 후 모습입니다.
무삭제 라미네이트 두께 차이가 원래 치아와 두께차이가 거의 안 날만큼 얇습니다.

24.01~25.01

24.01~25.01

24.01~25.01
초진 - 교정 직후 - 무삭제 라미네이트 디자인 - 무삭제 라미네이트 마무리 사진 입니다.

24.01~25.01

긴 글 읽어주셔서 감사합니다.

