아카이브 요약
이 페이지의 역할
연세바로치과의원의 네이버 블로그 원문을 보존한 아카이브 페이지입니다. 인비절라인 퍼스트 카테고리의 어린이 투명교정 인비절라인 퍼스트 과개교합 교정 후기 글을 통해 병원의 한국어 정보 제공 방식과 진료 관련 안내 톤을 확인할 수 있습니다.
원문 검증
필요하면 원문 블로그와 병원 프로필로 바로 이동해 문맥을 다시 확인할 수 있습니다.
출처 아카이브 열기아카이브된 블로그 글
연세바로치과의원 · 치과미슐랭
안녕하세요 압구정 교정치과입니다. 오늘은 어린이 교정 인비절라인 퍼스트 이야기를 해보겠습니다. 23.10~25.08 1차 교정 즉 소아교정은 2차 교정을 하기 전 큰 공사를 미리 해놓는 개념입니다. 그러나 인비절라인 퍼스트라는 어린이 투명교정장치가 나온 이후 2차 교정 필요성이 많이 줄긴 했습니다. 물론 100%라...
게시일
2026년 2월 11일
원문 기준으로 확인된 발행일입니다.
카테고리
인비절라인 퍼스트
원문 블로그 카테고리를 정리해 함께 표시합니다.
이미지 수
27
현재 아카이브에 연결된 이미지 수입니다.
아카이브 요약
연세바로치과의원의 네이버 블로그 원문을 보존한 아카이브 페이지입니다. 인비절라인 퍼스트 카테고리의 어린이 투명교정 인비절라인 퍼스트 과개교합 교정 후기 글을 통해 병원의 한국어 정보 제공 방식과 진료 관련 안내 톤을 확인할 수 있습니다.
원문 검증
필요하면 원문 블로그와 병원 프로필로 바로 이동해 문맥을 다시 확인할 수 있습니다.
출처 아카이브 열기안녕하세요
압구정 교정치과입니다.
오늘은 어린이 교정 인비절라인 퍼스트 이야기를 해보겠습니다.

23.10~25.08
1차 교정 즉 소아교정은 2차 교정을 하기 전 큰 공사를 미리 해놓는 개념입니다.
그러나 인비절라인 퍼스트라는 어린이 투명교정장치가 나온 이후 2차 교정 필요성이 많이 줄긴 했습니다.
물론 100%라고 장담할 수는 없습니다.
약간의 과개교합이 재발하거나 나중에 올라올 작은어금니가 회전되어 올라오거나 턱 성장 예측의 한계로 교합이 약간 틀어지거나 하는 일들도 분명히 있습니다.
이런 부분들을 최대한 예방하기 위해서 주걱턱 (3급 부정교합)이나 무턱(2급 부정교합)이 있는 경우 시기를 미루거나 최대성장기에 맞춰서 접근해야 하고 인비절라인 퍼스트이 보증기한인 18개월을 넘어서 거의 2년까지 치료기간을 길게 잡고 있습니다,
물론 2년 내내 장치를 끼는건 아니고 중간중간 낮에는 장치를 끼지 않으면서 영구치가 맹출하기를 기다리는 시간들도 있습니다.

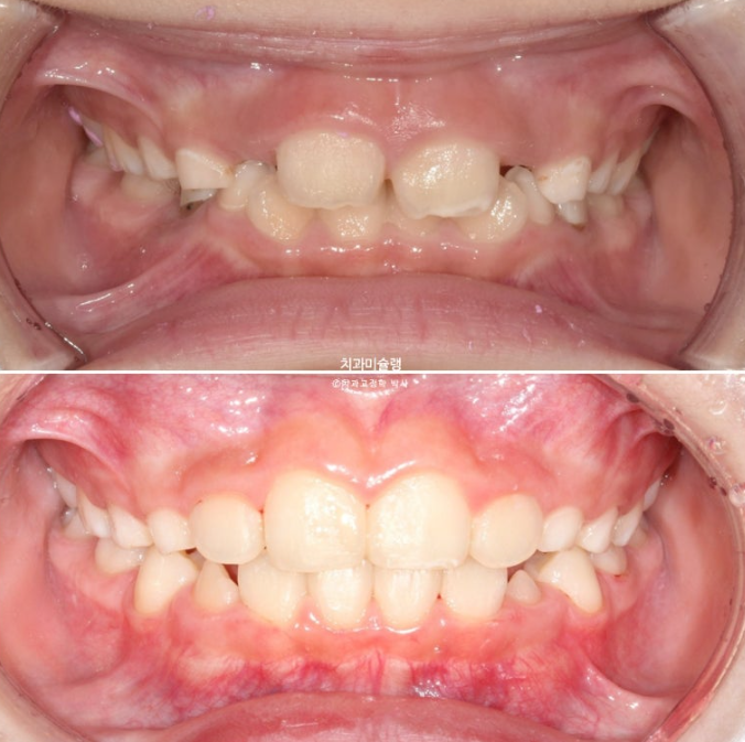
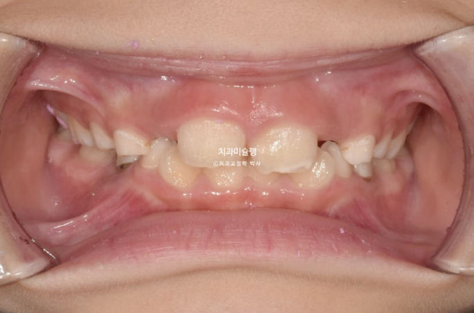
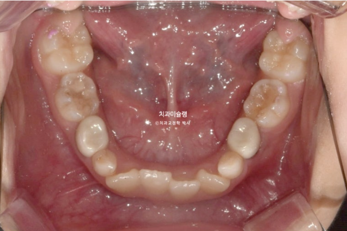
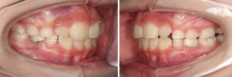
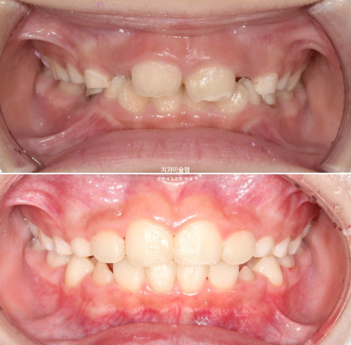
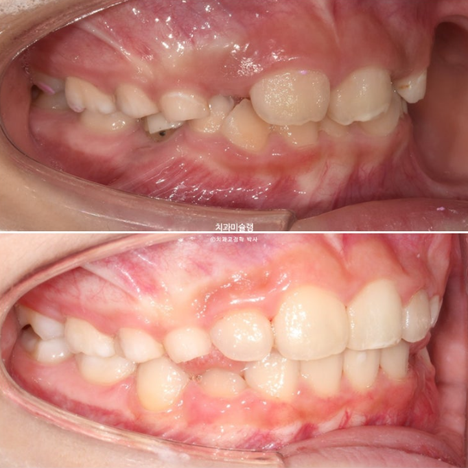
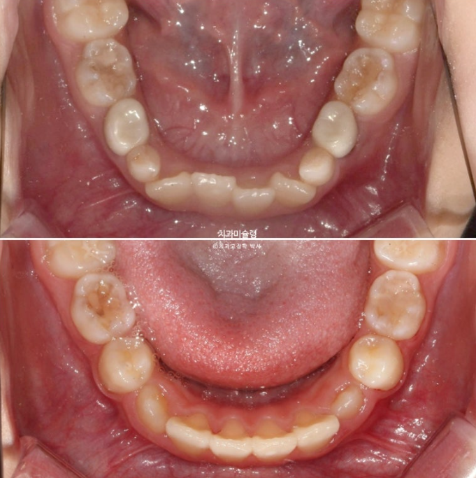
23.10
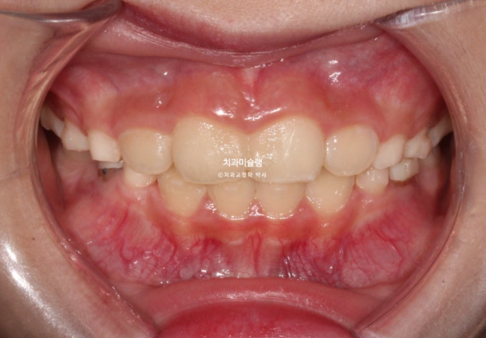
23년 10월, 교정치료를 위해 온 어린이 입니다.
앞니 두 개 높낮이 차이, 앞니가 깊게 물리는 과개교합이 보입니다.


앞니 네개 중 옆 앞니 즉 측절치가 나올 공간이 좁습니다.

아래도 마찬가지 입니다.
앞니가 벌써 삐뚤삐뚤 합니다.
송곳니가 나올때는 어떻게 될까요?
덧니 100% 예약입니다.
어린이 교정은 악궁확장을 통해 이가 날 공간을 넓히는 과정이 동반이됩니다.
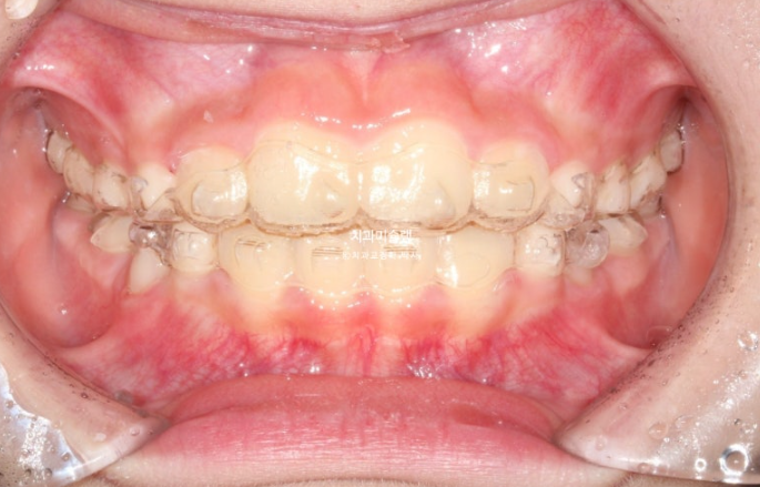
인비절라인 퍼스트 치료에 들어갔습니다.
첫세트 장치는 23개 입니다.
5개월간 23개 장치를 모두 낀 후 모습입니다.

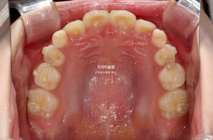
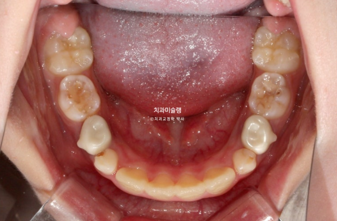
24.05
과개교합은 개선되었고 측절치 나올 공간을 악궁확장으로 미리 벌려줬기 때문에 측절치는 잘 내려왔습니다.

중심선 불일치 개선과 송곳니 나올 공간을 좀 더 확보하기ㅏ 위해서 추가장치 제작에 들어갑니다.
추가장치 갯수는 19개 입니다.
아이들은 장치 협조도가 좋으면 5일에 하나씩 교체를 합니다.
8월까지 3개월간 추가장치를 모두 낀 후 모습입니다.

24.08
중심선은 잘 맞아졌고 과개교합은 더 개선이 되었습니다.



이제 휴지기에 들어갑니다.
보증기한이 남은 상태에서 영구치 맹출을 기다리고 경과를 보는 단계입니다.

휴지기에는 마지막 꼈던 장치를 밤에만 유지용으로 끼며 영구치가 더 올라오기를 기다립니다.
24년 8월에서 25년 2월까지 9개월간 유지장치를 밤에만 끼면서 쉬다가 마지막 재제작에 들어갑니다.
두번째 추가장치 16개를 모두 낀 후 치료를 종료했습니다.

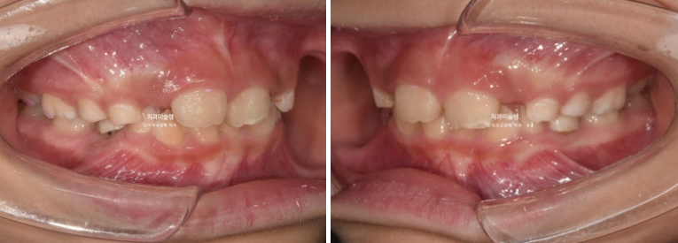
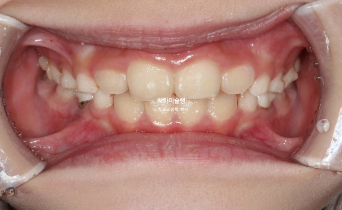
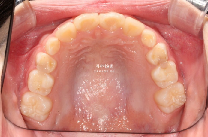
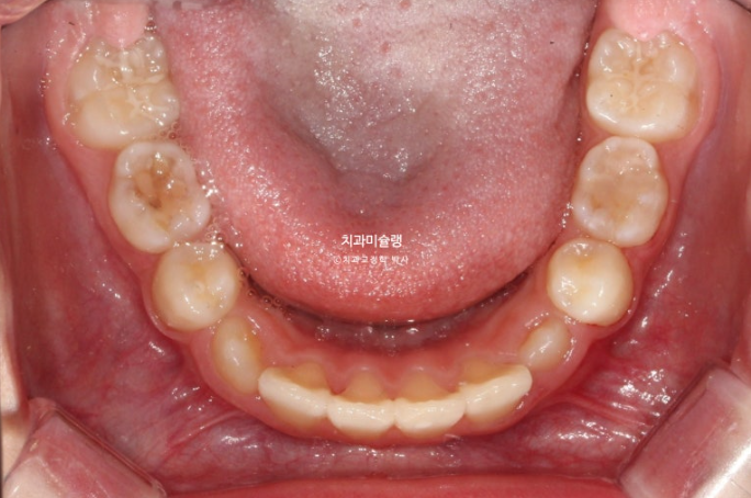
25.08
유지장치는 과개교합 재발을 방지하기 위해 교합판이 들어간 유지장치를 잘때만 낍니다.

25.08

송곳니는 잘 올라오고 있습니다.


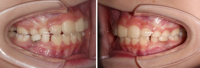
이제 전 후 비교 보겠습니다.

23.10~25.08




23.10~25.08

23.10~25.08

23.10~25.08

23.10~25.08
어린이 투명교정이 궁금하신 분들 많으신데요
이 포스팅이 도움이 되었기를 바랍니다.

