아카이브 요약
이 페이지의 역할
연세바로치과의원의 네이버 블로그 원문을 보존한 아카이브 페이지입니다. 인비절라인 카테고리의 왜소치 인비절라인 라이트 교정 / 무삭제 라미네이트 젤라미 글을 통해 병원의 한국어 정보 제공 방식과 진료 관련 안내 톤을 확인할 수 있습니다.
원문 검증
필요하면 원문 블로그와 병원 프로필로 바로 이동해 문맥을 다시 확인할 수 있습니다.
출처 아카이브 열기아카이브된 블로그 글
연세바로치과의원 · 치과미슐랭
안녕하세요 압구정 교정치과입니다. 오늘은 왜소치 인비절라인 라이트 교정 그리고 무삭제 라미네이트 젤라미 까지 한 치료 케이스 소개하려고 합니다. 23.05 앞니가 벌어져서 교정치료를 하기 위해 오셨습니다. 옆 앞니는 사이즈가 작은 왜소치입니다. 23.05 교정 상담을 하다보면 "저는 앞니가 큰거 같아요." 라는 이야기를...
게시일
2026년 2월 12일
원문 기준으로 확인된 발행일입니다.
카테고리
인비절라인
원문 블로그 카테고리를 정리해 함께 표시합니다.
이미지 수
14
현재 아카이브에 연결된 이미지 수입니다.
아카이브 요약
연세바로치과의원의 네이버 블로그 원문을 보존한 아카이브 페이지입니다. 인비절라인 카테고리의 왜소치 인비절라인 라이트 교정 / 무삭제 라미네이트 젤라미 글을 통해 병원의 한국어 정보 제공 방식과 진료 관련 안내 톤을 확인할 수 있습니다.
원문 검증
필요하면 원문 블로그와 병원 프로필로 바로 이동해 문맥을 다시 확인할 수 있습니다.
출처 아카이브 열기안녕하세요
압구정 교정치과입니다.
오늘은 왜소치 인비절라인 라이트 교정 그리고 무삭제 라미네이트 젤라미 까지 한 치료 케이스 소개하려고 합니다.

23.05
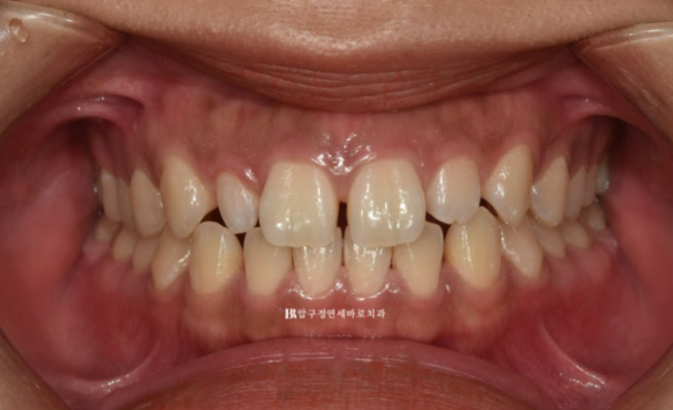
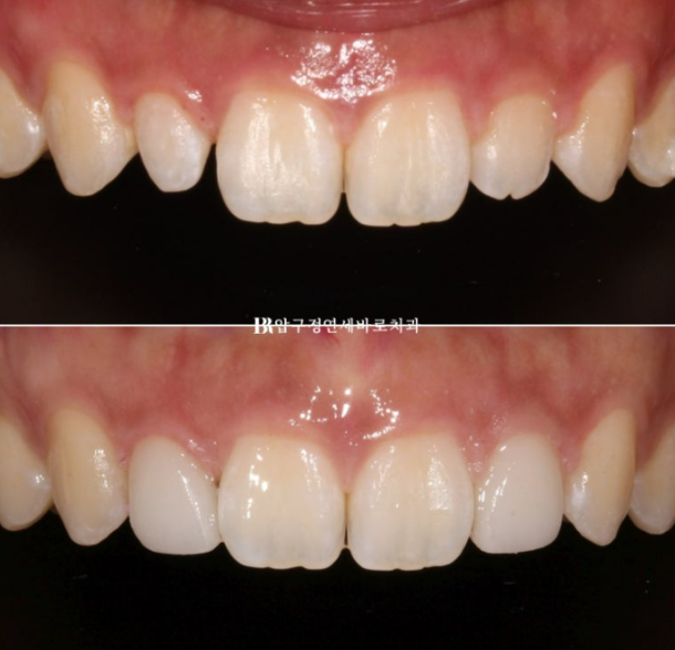
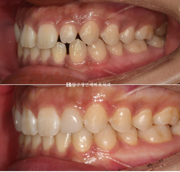
앞니가 벌어져서 교정치료를 하기 위해 오셨습니다.
옆 앞니는 사이즈가 작은 왜소치입니다.

23.05
교정 상담을 하다보면
"저는 앞니가 큰거 같아요."
라는 이야기를 많이 듣게 됩니다.
그런데 입안을 막상 보면 앞니 사이즈 자체는 정상인 경우가 많습니다.
배열이 가지런하지 않아서 단지 그렇게 보일 뿐 입니다.

23.05~24.03
가운데 앞니 두 개가 아래로 내려와 있거나 가운데 앞니 두 개가 앞으로 조금 나와있어서 그렇게 보이는 것일뿐 치아는 철저하게 원근법을 따릅니다.
1mm만 옆 치아에 비하여 앞으로 나와있어도 실제보다 더 커보이기도 하고 반대로 1mm만 들어가 있어도 그림자 지면서 실제보다 더 작아보입니다.

벌어진 부분을 교정으로 없애고 젤라미가 예쁘게 들어갈 수 있도록 치료계획을 세웁니다.
23년 6월에 1차 세트로 14개의 장치가 배송이 되었고 첫 장치를 끼기 시작했습니다.

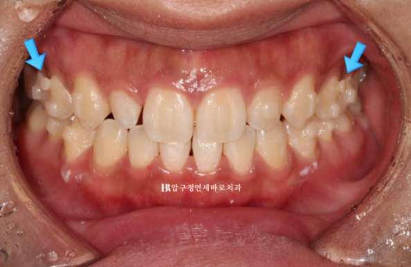
약 4개월 후 23년 10월 14개의 장치를 모두 낀 이후 추가장치 제작 하는 날의 모습입니다.
아직 미세한 공간이 남아있습니다.
파란 화살표는 교합관계 개선을 위해 거는 고무줄 고리입니다.

중간점검으로 얼굴과 치아 중심선은 잘 맞는 지 교합 평면 좌우 기울기 체크도 하고 추가장치 제작에 들어갑니다.
추가장치로 2차 세트 장치가 치과에 배송이 된 것은 23년 11월이고 2차 세트까지 모든 치료를 마친 것은 24년 2월입니다.
추가장치 치료기간은 3개월 입니다.

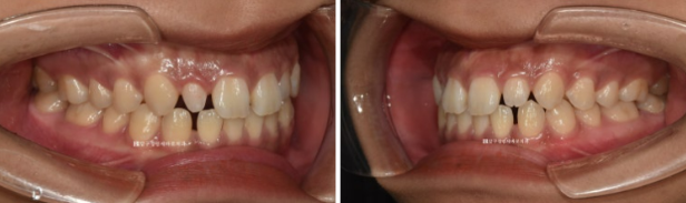
교정 마무리 직후 무삭제 라미네이트 직전의 모습입니다.
아직 인비절라인 교정에서 반드시 필요한 어태치먼트가 치아에 붙어있습니다.
사이즈가 작은 왜소치 양옆으로 미리 계산된 공간을 남긴 채 교정을 마무리 했습니다.
이 공간은 무삭제 라미네이트로 메워집니다.

양쪽 왜소치가 무삭제 라미네이트 젤라미로 밸런스 있게 치료가 되었습니다.

교합면에서 본 양쪽 측절치에 무삭제 라미네이트를 수복한 모습입니다.
무삭제 라미네이트를 먼저 붙인 후 철사 유지장치 제작이 가능합니다.
저희 교정치과는 건강을 해치면서까지 예뻐질 필요는 없다는 진료 철학을 가지고 있습니다.
무삭제 라미네이트 젤라미는 삭제를 전혀 하지 않습니다.
인비절라인 치료를 앞두고 치료 진행 과정이 궁금하신 분들을 위해 먼저 정리해보겠습니다.
초진 상담 : 23년 5월
인비절라인 치료 시작 : 23년 6월 (1차세트)
추가제작 23년 10월
추가 치료 시작 : 23년 11월 (2차 세트)
교정 치료 마무리 : 24년 2월
무삭제 라미네이트 마무리 : 24년 3월
총 치료 기간은 10개월이고 1차 세트 14개 장치를 4개월간 끼셨습니다.
추가장치는 3개월만 껴서 교정이 마무리가 되었으니 실제 교정치료 기간은 7개월 입니다.
나머지 3개월은 장치 기다리는 시간 그리고 무삭제 라미네이트 제작 기간 입니다.

23.05~24.03
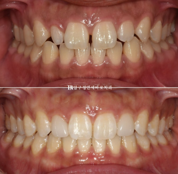
처음에는 분명 가운데 앞니 두 개가 커보였는데 배열과 높낮이가 잡히고 왜소치가 라미네이트로 정상 사이즈를 회복하고 나니 가운데 앞니가 전혀 커보이지 않습니다.

23.05~24.03
벌어진 부분도 깔끔하게 마무리가 되었습니다.
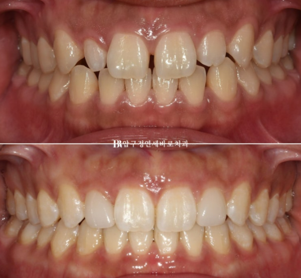
인비절라인 치료를 앞두고 많이들 걱정하시는 부분이 바로 교합이죠.
교합도 좋습니다.

23.05~24.03
인비절라인 교정과 무삭제 라미네이트 젤라미 치료로 처음보다 인상이 더 단정해보입니다.
벌어진 치아 교정은 매번 소개드리지만 인비절라인 교정으로 빠르게 잘 되는 부정교합 입니다.
붙이는 철사교정은 부담스러워 교정을 망설이고 있었다면 투명 교정장치 인비절라인 상담 받아보세요.

