아카이브 요약
이 페이지의 역할
연세바로치과의원의 네이버 블로그 원문을 보존한 아카이브 페이지입니다. 인비절라인 카테고리의 인비절라인 라이트 교정 덧니 이소맹출 반대교합 글을 통해 병원의 한국어 정보 제공 방식과 진료 관련 안내 톤을 확인할 수 있습니다.
원문 검증
필요하면 원문 블로그와 병원 프로필로 바로 이동해 문맥을 다시 확인할 수 있습니다.
출처 아카이브 열기아카이브된 블로그 글
연세바로치과의원 · 치과미슐랭
안녕하세요 압구정 교정치과 입니다. 오늘은 인비절라인 라이트를 소개하겠습니다. 인비절라인 라이트는 14개 (추가제작시 14+14) 장치 안에서 해결이 가능한 부정교합에 쓰는 단기 프로그램입니다. 23.12~24.10 예전 포스팅에서도 인비절라인 케이스를 많이 보여드렸습니다. 14단계 안에서 해결이 가능할지 아닐지에...
게시일
2026년 2월 13일
원문 기준으로 확인된 발행일입니다.
카테고리
인비절라인
원문 블로그 카테고리를 정리해 함께 표시합니다.
이미지 수
16
현재 아카이브에 연결된 이미지 수입니다.
아카이브 요약
연세바로치과의원의 네이버 블로그 원문을 보존한 아카이브 페이지입니다. 인비절라인 카테고리의 인비절라인 라이트 교정 덧니 이소맹출 반대교합 글을 통해 병원의 한국어 정보 제공 방식과 진료 관련 안내 톤을 확인할 수 있습니다.
원문 검증
필요하면 원문 블로그와 병원 프로필로 바로 이동해 문맥을 다시 확인할 수 있습니다.
출처 아카이브 열기안녕하세요
압구정 교정치과 입니다.
오늘은 인비절라인 라이트를 소개하겠습니다.
인비절라인 라이트는 14개 (추가제작시 14+14) 장치 안에서 해결이 가능한 부정교합에 쓰는 단기 프로그램입니다.

23.12~24.10
예전 포스팅에서도 인비절라인 케이스를 많이 보여드렸습니다.
14단계 안에서 해결이 가능할지 아닐지에 대한 혜안은 주치의의 경험이 절대적으로 중요합니다.
오늘도 인비절라인 라이트 케이스 리뷰 해보겠습니다.

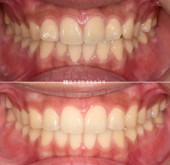
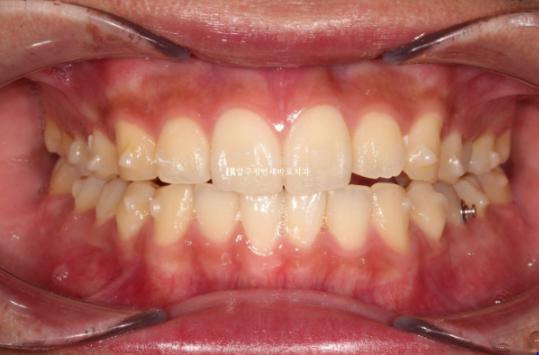
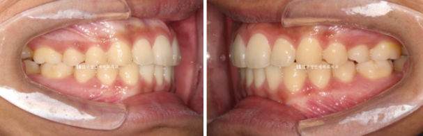
23.12
1년 전 인비절라인 교정을 위해 내원하신 환자분입니다.
삐뚤한 앞니가 보입니다.

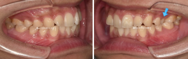
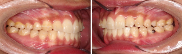
23.12
파란 화살표 어금니는 아래 어금니와 거꾸로 물리는 반대교합 입니다.

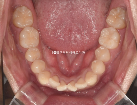
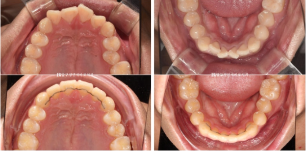
23.12
교합면 사진에서 보듯 치아가 입천장으로 들어가 있기 때문입니다.
이렇게 배열에서 벗어나게 나온 영구치를 이소맹출된 치아 라고 합니다.

23.12
정밀진단 결과 배열개선, 반대교합 개선 등을 목표로 인비절라인 라이트를 권유드렸습니다,
환자분은 이미 타병원에서 상담 받고 온 내용이 있어서 인비절라인 라이트
즉 14개 + 14개 장치로 과연 교정이 잘 끝날 수 있을까? 라는 걱정이 좀 있으셨는데요
결론적으로 치료에 잘 응해주셨으며 좋은 결과를 볼 수 있었습니다.

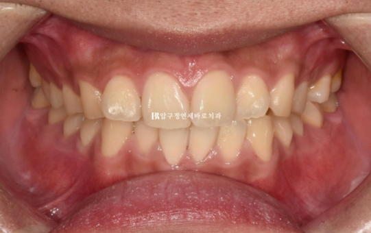
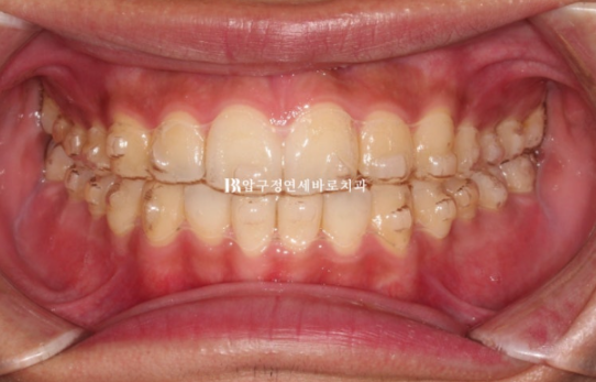
24.06
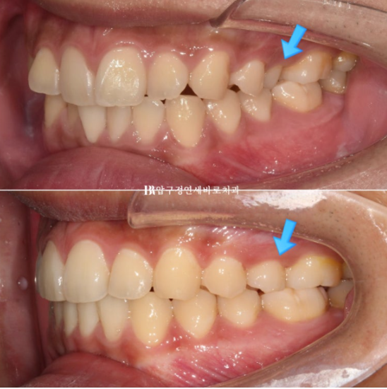
14개 첫세트의 장치를 다 낀 후 모습입니다.
앞니 높낮이가 여전히 아쉽습니다.

24.06
배열도 가지런해졌고 이소맹출이 되어서 입천장으로 들어가있던 치아도 제자리를 찾았습니다.
이 부분 해결을 위해 고무줄 처방이 있었습니다.
사진상 금속 고리끼리 고무줄을 겁니다.
배열, 앞니 높낮이 등등 추가로 개선할 부분들이 있어서 추가제작을 하기로 했습니다.

24.08
6월에 재제작에 들어갔고 한달 반을 기다려 8월에 추가장치를 끼기 시작했습니다.
추가장치 갯수는 총 14개 입니다.
8월부터 10월까지 3달간 추가장치를 다 낀 후 마무리 하였습니다.

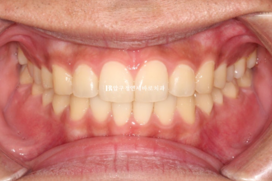
24.10

24.10
걱정하시는 교합도 좋습니다.
인비절라인은 교합이 안 좋게 끝난다 라는 편견을 깨기 위해 노력합니다.

23.12~24.10
배열도 좋습니다.

23.12~24.10
파란 화살표 반대교합도 해소가 되었습니다

23.12~24.10

24.10
치근흡수는 없고 뿌리 평행도는 좋습니다.
교정 전 여러군데 상담을 다녀도 주치의를 정했다면 내가 선택한 주치의를 잘 믿고 따라주는 환자분들에게는
늘 좋은 결과가 있을 것입니다.
긴 글 읽어주셔서 감사합니다.

