아카이브 요약
이 페이지의 역할
연세바로치과의원의 네이버 블로그 원문을 보존한 아카이브 페이지입니다. 인비절라인 카테고리의 돌출입 교정 치아 벌어짐 인비절라인 투명교정 치료 글을 통해 병원의 한국어 정보 제공 방식과 진료 관련 안내 톤을 확인할 수 있습니다.
원문 검증
필요하면 원문 블로그와 병원 프로필로 바로 이동해 문맥을 다시 확인할 수 있습니다.
출처 아카이브 열기아카이브된 블로그 글
연세바로치과의원 · 치과미슐랭
안녕하세요 압구정 교정치과입니다. 오늘은 치료계획상 미니스크류나 고무줄 하나 없이 심플했는데 효과는 좋았던 간단한 인비절라인 라이트 치료 증례 소개하겠습니다. 치료기간은 8개월 입니다. 24.02~24.10 앞니 돌출로 교정을 위해 찾아온 환자분입니다. 24.02 앞니 좌우 높낮이가 다른 것이 보입니다. 24.02...
게시일
2026년 2월 19일
원문 기준으로 확인된 발행일입니다.
카테고리
인비절라인
원문 블로그 카테고리를 정리해 함께 표시합니다.
이미지 수
14
현재 아카이브에 연결된 이미지 수입니다.
아카이브 요약
연세바로치과의원의 네이버 블로그 원문을 보존한 아카이브 페이지입니다. 인비절라인 카테고리의 돌출입 교정 치아 벌어짐 인비절라인 투명교정 치료 글을 통해 병원의 한국어 정보 제공 방식과 진료 관련 안내 톤을 확인할 수 있습니다.
원문 검증
필요하면 원문 블로그와 병원 프로필로 바로 이동해 문맥을 다시 확인할 수 있습니다.
출처 아카이브 열기안녕하세요
압구정 교정치과입니다.
오늘은 치료계획상 미니스크류나 고무줄 하나 없이 심플했는데 효과는 좋았던
간단한 인비절라인 라이트 치료 증례 소개하겠습니다.
치료기간은 8개월 입니다.

24.02~24.10
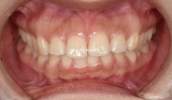
앞니 돌출로 교정을 위해 찾아온 환자분입니다.

24.02
앞니 좌우 높낮이가 다른 것이 보입니다.

24.02
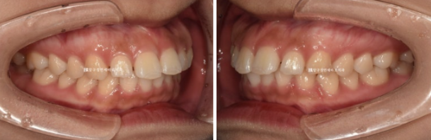
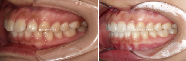
어금니 교합은 좋습니다.
이렇게 어금니 교합이 좌우 I급이면 인비절라인 라이트의 완벽한 적응증입니다.

24.02
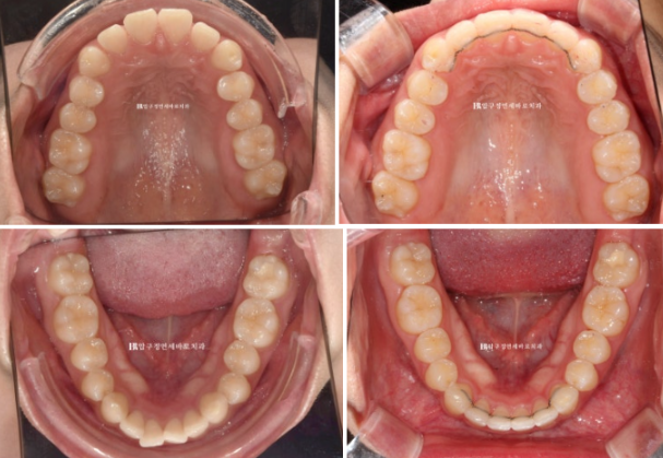
앞니 사이 벌어진 공간을 모으고 약간의 치간삭제를 동반하여 돌출감도 어느정도 해결하는 것을 목표로 삼았습니다.
인비절라인 라이트 권유드렸고 2월에 장치 오더 그리고 3월부터 1단계 장치를 끼기 시작했습니다.

24.06
첫번째 세트 장치 14개를 다 낀 후 모습입니다.

24.06
모든 것이 좋지만 디테일한 것들을 좀 더 개선하기 위해서 추가장치 제작에 들어갔고 7월부터 10월까지 3개월간 장치를 더 낀 후 마무리 하였습니다.

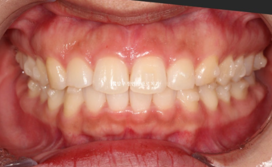
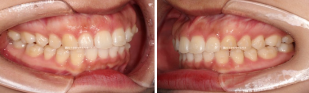
24.10

24.02~24.10

24.02~24.10
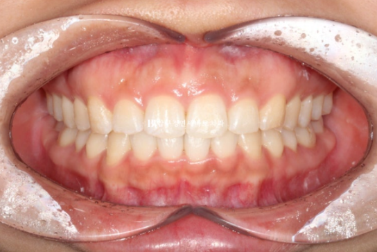
뻗쳐있던 앞니 각도는 좋아졌고

24.02~24.10
공간도 깔끔하게 모아졌으며 배열도 좋습니다.

24.02~24.10
앞니를 뒤로 넣을 때 단순 뒤로만 움직이는 것이 아니라 위로 올리면서 함입하며 넣었기에 잇몸 노출량도 소량 줄었습니다.

24.02~24.10
일자로 떨어지는 앞니 각도는 세련된 인상을 줍니다
8개월 간 변화 소개입니다.
원래 앞니 돌출때문에 입술부전증이 있었습니다만 앞니가 뒤로 들어가게 되면서 입술이 편하게 다물려집니다.
돌출입이라 교정기간은 오래 걸릴 것 같아서 교정을 미루신 분들 많으시죠
교정 진단 상담 먼저 받아보세요
의외로 짧게 끝낼 수 있는 교정일 수 있답니다.
긴 글 읽어주셔서 감사합니다.

