아카이브 요약
이 페이지의 역할
연세바로치과의원의 네이버 블로그 원문을 보존한 아카이브 페이지입니다. 치아교정 카테고리의 반대교합 비발치 교정 클리피씨 후기 글을 통해 병원의 한국어 정보 제공 방식과 진료 관련 안내 톤을 확인할 수 있습니다.
원문 검증
필요하면 원문 블로그와 병원 프로필로 바로 이동해 문맥을 다시 확인할 수 있습니다.
출처 아카이브 열기게시일
2026년 2월 26일
원문 기준으로 확인된 발행일입니다.
카테고리
치아교정
원문 블로그 카테고리를 정리해 함께 표시합니다.
이미지 수
16
현재 아카이브에 연결된 이미지 수입니다.
아카이브 요약
연세바로치과의원의 네이버 블로그 원문을 보존한 아카이브 페이지입니다. 치아교정 카테고리의 반대교합 비발치 교정 클리피씨 후기 글을 통해 병원의 한국어 정보 제공 방식과 진료 관련 안내 톤을 확인할 수 있습니다.
원문 검증
필요하면 원문 블로그와 병원 프로필로 바로 이동해 문맥을 다시 확인할 수 있습니다.
출처 아카이브 열기안녕하셍
비발치 교정 소개해드릴
압구정 교정치과입니다.
덧니가 있지만 돌출이 없어서 발치교정을 하기 아까울때 비발치 덧니 교정을 합니다.
사랑니 공간을 이용하는 교정입니다.

22.09~25.01
덧니를 펼 공간을 얻을 때 사랑니로 어금니를 뒤로 밀어내고 공간을 만드는 교정 방법입니다.
비발치 교정 시작해보겠습니다.

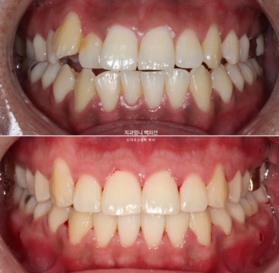
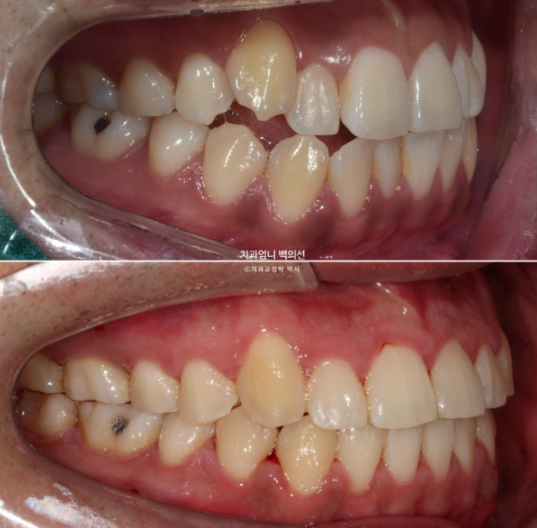
2022.09
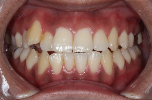
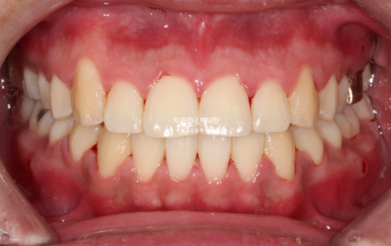
덧니 교정 하고 싶다며 내원하신 분입니다.
한쪽에 송곳니 덧니가 보입니다.

22.09
앞니는 절단교합입니다.
덧니 옆 측절치는 반대교합을 보입니다.

22.09
발치를 하기에는 입술 돌출이 없고 사랑니 공간이 충분해서 작은어금니 발치계획은 부적합합니다.
비발치로 사랑니 공간을 이용하는 교정을 하기로 했고 클리피씨 교정을 선택하셨습니다.

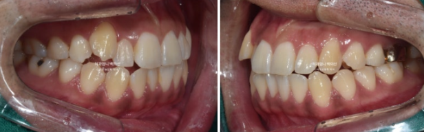
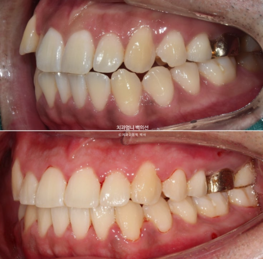
23.08
치료시작 1년째의 모습입니다.
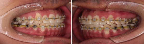
덧니는 해결이 되었으나 앞니를 뒤로 넣기 위해서는 이때부터 미니스크류 4개를 심으며 사랑니 공간으로 전체 치열을 뒤로 밀기 시작했습니다.
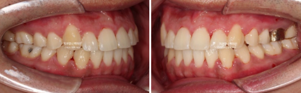
치료시작 2년 2개월차인 때에 드디어 치료가 마무리 되었습니다.

25.01
일치하는 중심선 그리고 깔끔하게 덧니 교정이 잘 되었습니다.

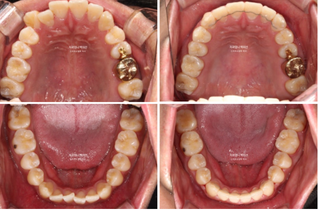
25.01
교합도 당연히 좋습니다.

22.09~25.01
유지장치까지 들어간 모습입니다.
전 후 비교 보겠습니다.

22.09~25.01

22.09~25.01

22.09~25.01
안모 전 후 사진 보겠습니다.

22.09~25.01

22.09~25.01
깔끔해진 미소가 보이죠?

입매 유지도 잘 되었습니다.
덧니 교정 하고싶은데 발치교정은 싫다는 분들에게
이 포스팅이 도움이 되시길 바랍니다.
진단을 받아보시면 사랑니 공간이 있는 분들이 있습니다,.
이런 경우라면 비발치 교정으로 덧니 해결이 가능합니다.
가까운 치과에 내원해보세요

