아카이브 요약
이 페이지의 역할
연세바로치과의원의 네이버 블로그 원문을 보존한 아카이브 페이지입니다. 치아교정 카테고리의 돌출입 교정 입동굴 클리피씨 교정 후기 글을 통해 병원의 한국어 정보 제공 방식과 진료 관련 안내 톤을 확인할 수 있습니다.
원문 검증
필요하면 원문 블로그와 병원 프로필로 바로 이동해 문맥을 다시 확인할 수 있습니다.
출처 아카이브 열기게시일
2026년 3월 3일
원문 기준으로 확인된 발행일입니다.
카테고리
치아교정
원문 블로그 카테고리를 정리해 함께 표시합니다.
이미지 수
20
현재 아카이브에 연결된 이미지 수입니다.
아카이브 요약
연세바로치과의원의 네이버 블로그 원문을 보존한 아카이브 페이지입니다. 치아교정 카테고리의 돌출입 교정 입동굴 클리피씨 교정 후기 글을 통해 병원의 한국어 정보 제공 방식과 진료 관련 안내 톤을 확인할 수 있습니다.
원문 검증
필요하면 원문 블로그와 병원 프로필로 바로 이동해 문맥을 다시 확인할 수 있습니다.
출처 아카이브 열기안녕하세요
돌출입 교정 소개드리겠습니다.
돌출입 발치교정에서 입동굴과 스마일라인은 어떤지에 대한 이야기를 알려드리겠습니다.
단순히 치아가 가지런해지고 입이 들어가는 것을 떠나 주치의가 결과의 완성도를 높이기 위해서 좀 더 해줄 수 있는 부분은 무엇인지도 알려드리겠습니다.
돌출입 교정을 하고 싶은 분들에게 도움이 되시면 좋겠습니다.

23.02~24.09

23.02
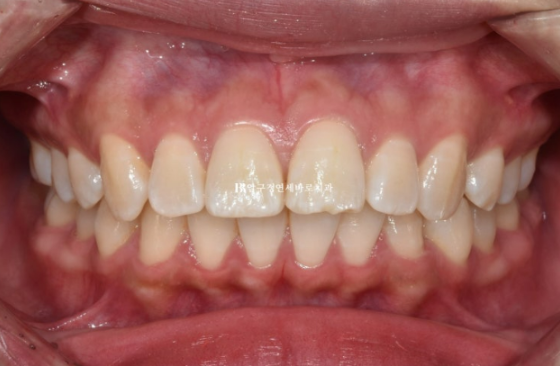
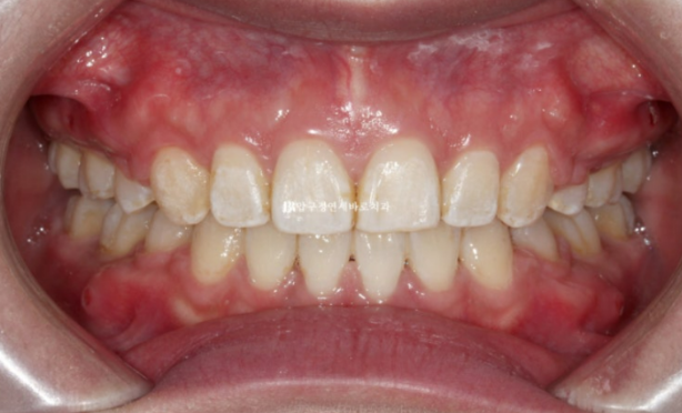
한 20대 젊은 환자분이 돌출입 교정을 위해 내원했습니다.

23.02
치아는 가지런한 편이고 어금니 교합도 좋지만 앞니 뻗침이 보입니다.

입이 잘 안 다물어지는 입술부전증이 보입니다.
입술에 힘을 빼고 있으면 치아가 보이도록 약간 벌어진 상태가 되는 것을 입술부전증이라고 합니다.
앞니 돌출이 해소되면 자연스럽게 좋아집니다.
치료계획은 작은 어금니 4개를 발치하고 돌출입을 확실히 개선하기로 했습니다.
클리피씨 장치를 선택하셨고 바로 교정 시작했습니다.

23.09

23.09
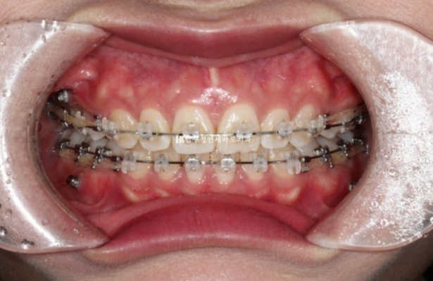
치료시작 7개월째 모습입니다.
이제 막 발치공간이 없어지면서 앞니가 뒤로 들어가기 시작하는 단계입니다.

24.03

24.03
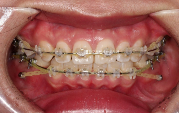
치료시작 1년 1개월째 사진입니다.
발치공간은 모두 없어졌고 미니스크류를 이용하여 중심선을 맞추고 있습니다.
마무리 과정이라고 부르는 단계입니다.
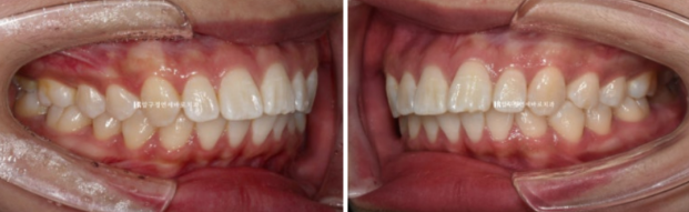
그리고 치료시작 1년 7개월째에 드디어 교정을 마치고 장치를 뗐습니다.

24.09
중심선이 맞아졌고

24.09
교합도 좋습니다.

23.02~24.09
치료기간은 총 1년 7개월입니다.
보통의 발치교정은 2년정도라고 하지만 20대 초반까지 젊은 환자분은 1년 6개월~2년 사이 정도 걸리는 것이 가장 많습니다.

23.02~24.09

23.02~24.09
전 후 정면 스마일 사진입니다.
좌우 입꼬리 안쪽에 원래 없던 입동굴이 생겼습니다.
너무 크지 않은 적절한 입동굴은 미소심미에 중요합니다.

23.02~24.09
또 한가지, 미소심미에서 빼놓을 수 없는 것은 스마일라인입니다.
스마일라인은 윗니 끝단을 이은 선을 말합니다.
이것이 아랫입술과 평행해야 웃을 때 아름답습니다.
아랫입술에 비하여 너무 편평해서 일자였던 스마일라인이 아랫입술에 평행하게 동그란 모양으로 바뀌었습니다.

23.02~24.09
입술부전증이 해결되어 이제 입술에 힘을 빼도 자연스럽게 다물어집니다.

23.02~24.09
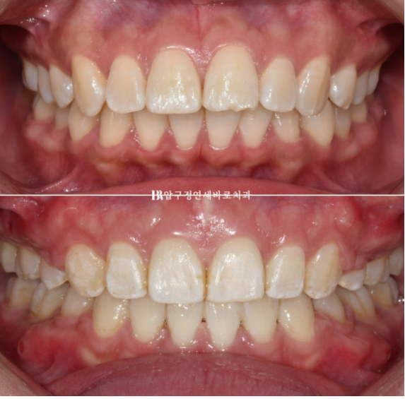
돌출인데 입술이 도톰하다?
발치교정 하면 2년 안에 인상이 바뀔 것 입니다.
인중 길어짐 입술 말려들어감 입술 얇아짐 등등 수없이 걱정들 하시는 교정치료 입매 부작용을 다 방어해주는 입술입니다.

23.02~24.09
과하지 않게 예뻐진 입매죠.
코에서 윗입술로 떨어지는 곡선이 특히 예쁩니다.

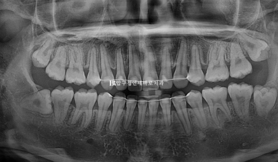
치근평행도 양호하고 별다른 부작용이 보이지 않습니다.
여기까지 돌출입 교정 소개드렸습니다.
감사합니다.

