아카이브 요약
이 페이지의 역할
연세바로치과의원의 네이버 블로그 원문을 보존한 아카이브 페이지입니다. 치아교정 카테고리의 예비신부 교정 단기 앞니 부분교정 치료기간 6개월 글을 통해 병원의 한국어 정보 제공 방식과 진료 관련 안내 톤을 확인할 수 있습니다.
원문 검증
필요하면 원문 블로그와 병원 프로필로 바로 이동해 문맥을 다시 확인할 수 있습니다.
출처 아카이브 열기아카이브된 블로그 글
연세바로치과의원 · 치과미슐랭
안녕하세요 압구정 교정치과입니다. 결혼식을 앞두고 치아미백 치료 많이 받으시죠 그런데 치아교정을 알아보시는 분들은 많이 없는 것 같아요 6개월의 시간만 주어져도 최소한 보이는 앞니 부분은 가지런히 보기 좋게 치료할 수 있는데 말입니다. 웨딩H 4월호에 실린 내용입니다. 앞니 부분교정은 난이도에 따라 빠르면 3개월 오래...
게시일
2026년 3월 4일
원문 기준으로 확인된 발행일입니다.
카테고리
치아교정
원문 블로그 카테고리를 정리해 함께 표시합니다.
이미지 수
18
현재 아카이브에 연결된 이미지 수입니다.
아카이브 요약
연세바로치과의원의 네이버 블로그 원문을 보존한 아카이브 페이지입니다. 치아교정 카테고리의 예비신부 교정 단기 앞니 부분교정 치료기간 6개월 글을 통해 병원의 한국어 정보 제공 방식과 진료 관련 안내 톤을 확인할 수 있습니다.
원문 검증
필요하면 원문 블로그와 병원 프로필로 바로 이동해 문맥을 다시 확인할 수 있습니다.
출처 아카이브 열기안녕하세요
압구정 교정치과입니다.
결혼식을 앞두고 치아미백 치료 많이 받으시죠
그런데 치아교정을 알아보시는 분들은 많이 없는 것 같아요
6개월의 시간만 주어져도 최소한 보이는 앞니 부분은 가지런히 보기 좋게 치료할 수 있는데 말입니다.


웨딩H 4월호에 실린 내용입니다.
앞니 부분교정은 난이도에 따라 빠르면 3개월 오래 걸려도 6개월 이전에 마무리가 됩니다.
결혼식장이 잡히면 예식장 예약과 동시에 교정상담 받아 보시는 것 추천드려요.

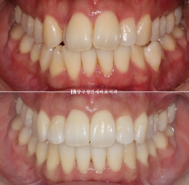
24.02~24.08
오늘은 앞니 반대교합 등이 있는 복잡한 케이스에서 앞니 부분교정으로 어떻게 치료하는 지 보여드리겠습니다.
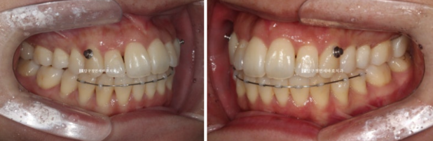
지난 2월, 예비신부님 앞니 부분교정을 위해 찾아왔습니다.

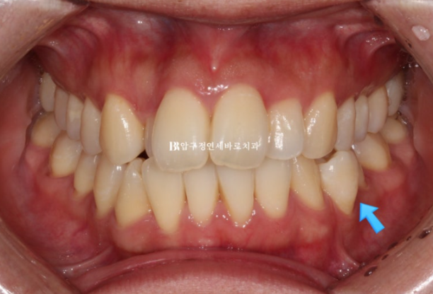
24.02
측절치 덧니가 아랫니와 거꾸로 물리는 반대교합을 보입니다.

반대쪽 파란 화살표 부분 작은 어금니 역시 배열에서 튀어나가 있어서 윗니와 거꾸로 물리는 반대교합입니다.

24.02
입천장에 위치하는 측절치

24.02
삐뚠 앞니, 작은어금니 덧니 등 앞니 부분교정만으로 해결하기에는 난이도가 있습니다.
본식까지는 6개월이 남아서 서둘러 치료했습니다.
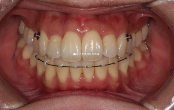
위에는 안보이는 설측 2D장치를 아랫니는 작은어금니 덧니까지 배열하기 위해 MTA 장치를 추천드렸습니다.
위에는 설측 장치를 붙였고 중간 스튜디오 촬영도 문제 없을 것 입니다.
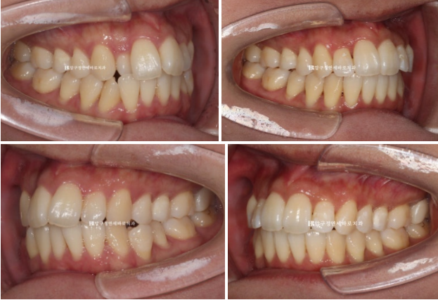
치료 시작 후 5개월째의 모습입니다.

24.07
송곳니에 붙은 것은 고무줄 거는 버튼입니다.
위 아래 견치간 폭경 밸런스를 위해 마지막 한 달 간 고무줄을 걸었습니다.

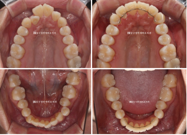
24.07 2D 설측 장치 교정
설측장치인 2D 부분교정용 장치 모습입니다.
뒤로 붙이니 교정기간 내내 보이지 않습니다.

24.07
덧니 작은어금니를 제 위치로 넣기 위해 아래는 앞니 포함 9개 치아에 MTA 장치를 붙이고 배열했습니다.
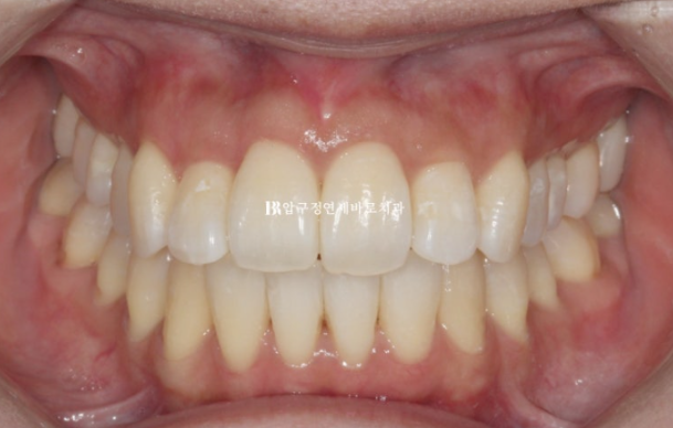
2달 간 마무리 교정 후 치료시작 6개월 만에 치료를 마무리 했습니다.

24.08
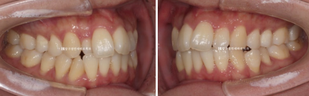
정확히 맞아 떨어지는 중심선

24.02~24.08
거꾸로 물리는 덧니는 해결이 되었고

24.02~24.08
작은 어금니까지 배열을 마쳤습니다.

24.02~24.08
마치 전체교정 한 것과 같은 효과를 목표로 치료에 임합니다.
앞니 부분교정은 치료기간도 짧고 간단해보이지만 전체교정을 한 것과 같은 효과를 얻기는 쉽지 않습니다.

24.02~24.08
내려와 토끼이처럼 보이던 앞니는 높이가 맞아졌고 기울어짐도 치축개선을 통해 좋아졌습니다.

24.02~24.08
걸려있던 앞니도 제 위치를 찾았습니다.
물론 모두가 이렇게 앞니 부분교정만 해도 전체교정 한 것과 같은 결과가 나오는 것은 아닙니다.

