아카이브 요약
이 페이지의 역할
연세바로치과의원의 네이버 블로그 원문을 보존한 아카이브 페이지입니다. 인비절라인 카테고리의 인비절라인 캔팅 교정 과개교합 교정 임플란트 재교정 글을 통해 병원의 한국어 정보 제공 방식과 진료 관련 안내 톤을 확인할 수 있습니다.
원문 검증
필요하면 원문 블로그와 병원 프로필로 바로 이동해 문맥을 다시 확인할 수 있습니다.
출처 아카이브 열기아카이브된 블로그 글
연세바로치과의원 · 치과미슐랭
안녕하세요 압구정 교정치과입니다. 인비절라인 치아교정을 소개해드리겠습니다. 양쪽 송곳니 또는 어금니 이은 직선을 교합평면이라고 합니다. 이 교합평면이 기울어진 경우 캔팅이라고 하고 내려온 쪽을 위로 올리는 교정이 필요합니다. 24.01~24.12 오늘은 앞니 치축과 함께 교합평면이 기울어진 경우 인비절라인으로 어떻게...
게시일
2026년 3월 5일
원문 기준으로 확인된 발행일입니다.
카테고리
인비절라인
원문 블로그 카테고리를 정리해 함께 표시합니다.
이미지 수
19
현재 아카이브에 연결된 이미지 수입니다.
아카이브 요약
연세바로치과의원의 네이버 블로그 원문을 보존한 아카이브 페이지입니다. 인비절라인 카테고리의 인비절라인 캔팅 교정 과개교합 교정 임플란트 재교정 글을 통해 병원의 한국어 정보 제공 방식과 진료 관련 안내 톤을 확인할 수 있습니다.
원문 검증
필요하면 원문 블로그와 병원 프로필로 바로 이동해 문맥을 다시 확인할 수 있습니다.
출처 아카이브 열기안녕하세요
압구정 교정치과입니다.
인비절라인 치아교정을 소개해드리겠습니다.
양쪽 송곳니 또는 어금니 이은 직선을 교합평면이라고 합니다.
이 교합평면이 기울어진 경우 캔팅이라고 하고 내려온 쪽을 위로 올리는 교정이 필요합니다.

24.01~24.12
오늘은 앞니 치축과 함께 교합평면이 기울어진 경우 인비절라인으로 어떻게 고치는 지 보여드리겠습니다.
더불어 심한 과개교합 개선 시 함몰된 아랫입술이 어떻게 제자리를 찾는 지 살펴보시면 좋습니다.
한가지 더, 임플란트가 있는 경우 교정치료의 한계점에 대해서도 알려드리겠습니다.
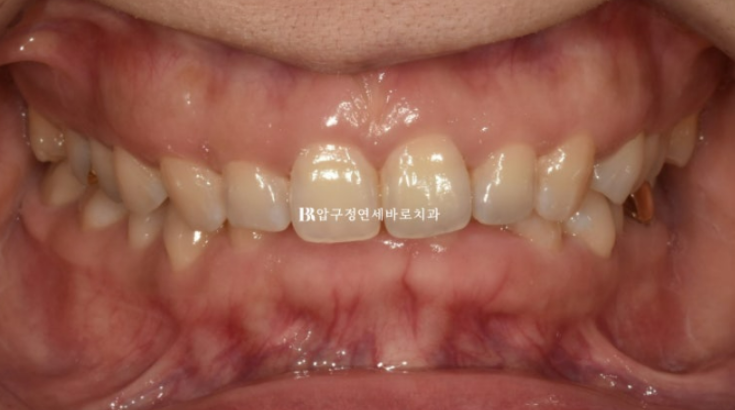
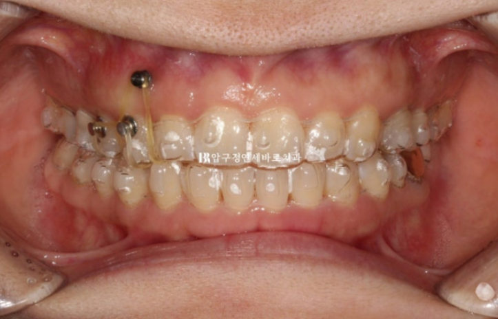
24년 1월 교정치료를 위해 내원하신 분입니다.
예전에 브라켓 철사 교정치료를 이미 했고 여러가지 불편한 점을 고치기 위한 재교정입니다.

24.01
교합평면이 기울어져 있습니다.
이렇게 평면이 기울어져 있으면 앞니도 그에 맞춰 기울어져 있는 경우가 많습니다.
윗니가 아랫니를 많이 덮어 아랫니가 전혀 보이지 않을 정도의 심한 과개교합 입니다.

24.01
예전 교정치료의 흔적으로 위 앞니에는 철사유지장치가 붙어있습니다.
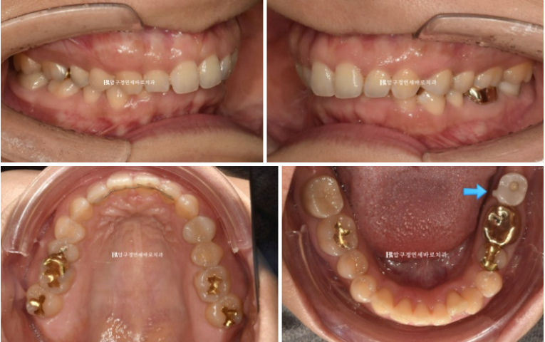
철사 유지장치가 여러 조각이 나있는 이유는?
과개교합 때문입니다.
과개교합이 남은 채로 교정치료가 마무리가 되면 철사유지장치가 아랫니와 닿아 불편하고 자꾸 떨어지고 문제가 생깁니다.
과개교합은 이렇게 교정 완료 후 재발 가능성과 유지관리에 큰 장애가 됩니다.
반드시 해결하는 것이 좋습니다.
파란 화살표는 임플란트 입니다.
임플란트가 있는 쪽 어금니는 임플란트 치아를 표함하여 이동이 제한이 됩니다.
따라서 임플란트가 있는 쪽 교합을 맞추는 데 한계가 있습니다.
어금니 교합이 좌우 동일하지 않으면 이것이 앞니 중심선까지 영향을 미쳐 중심선이 위 아래가 맞지 않는 상태로 교정이 마무리 됩니다.
이 부분 감수하고 교정치료에 들어갔고 인비절라인 교정을 선택하셨습니다.
켄팅 해결을 위해 한쪽에 미니스크류를 심고 고무줄을 같이 걸어주었습니다.

24.07
24년 2월부터 7월까지 5개월간 첫번째 세트의 장치를 다 낀 후 모습입니다.
장치 협조도가 좋아 첫세트에서 과개교합이 완전히 개선이 되었습니다.
뿐만 아니라 앞니 치축 기울어짐, 교합평면 기울어짐도 완전히 해결이 되었습니다.

24.07
캔팅 개선은 얼굴 사진에서 한 번 더 확인이 됩니다.
캔팅 개선에 걸린 시간은 5개월 입니다.
여기서 한가지 짚고 넘어갈 것이 있습니다.
기울어진 앞니 치축을 세울 때는 앞니 어태치먼트는 필수라는 것 입니다.
이 분도 위 앞니 네개에 어태치먼트를 부착했습니다.
앞니에는 어태치먼트가 없으면 좋겠어요.
라고 하시는 환자분들 많으실텐데요
앞니에 어태치먼트를 붙이면 잘 보일 것 같지만요 사진에서 보시면 아시겠지만 사실 앞니 어태치먼트는 잘 보이지 않습니다.
그 보다는 송곳니 어태치먼트가 가장 잘 보입니다

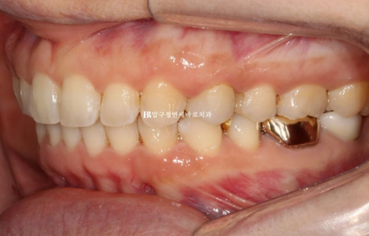
24.07
임플란트가 있어 치아이동이 제한된 좌측 교합이 역시 아쉽습니다.
임플란트로 인해서 중심선을 완전히 맞출 수 없지만 좀 더 개선을 위해서 추가장치 제작에 들어갔습니다.

24.08
24년 8월부터 12월까지 4개월간 추가장치를 더 꼈습니다.
중심선 개선을 위해 우측에 고무줄도 추가가 되었습니다.
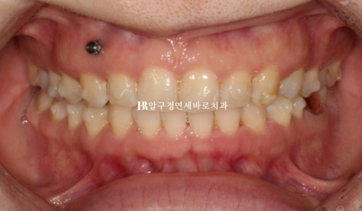
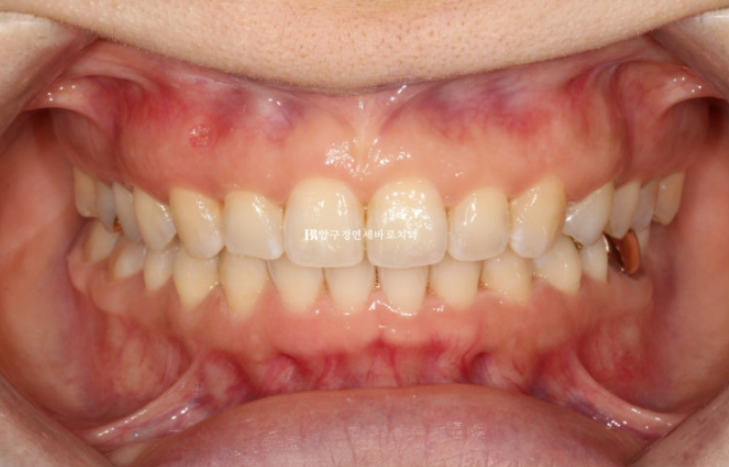
그리고 12월에 드디어 11개월만 치료가 마무리가 되었습니다.

24.12
치축, 교합평면, 과개교합 모든 것이 정상이고 중심선은 여전히 조금 아쉽습니다.
임플란트 때문에 어금니 이동이 제한된 상황에서는 최선이겠지만요.

24.12
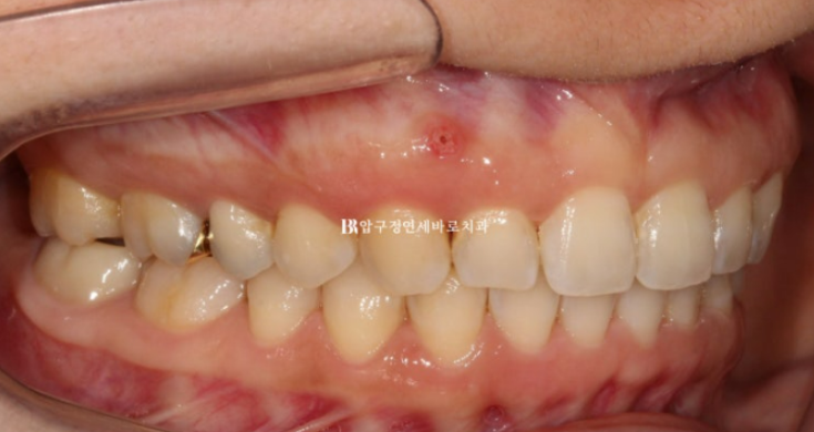
교정 후에 미니스크류 뺀 자리는 어떻게 되는 지 많이 궁금하시죠?
사진처럼 뺀 직후 조직으로 메워집니다.
구멍이 나있진 않습니다.

24.12
임플란트가 있는 좌측 교합도 추가장치로 더 개선이 되었습니다.
교합은 당연히 잘 물립니다.
교합이 좋지 않으면 교정 마무리 짓지 않습니다.

24.12
작은 어금니 발치 케이스가 아니면 대부분 철사유지장치는 송곳니에서 송곳니까지만 붙습니다.
그러나 비발치 교정임에도 불구하고 과개교합 재발 방지를 위해 철사 유지장치를 작은 어금니까지 연장시켜야 합니다.
뺐다 꼈다 하는 유지장치 역시 캔팅 재발을 막기 위해 교합면까지 감싸는 단단한 비베라 제작을 하였습니다.
환자분은 예전에 비해 과개교합이 해소되어 비로소 철사 유지장치가 편해졌다고 좋아하셨습니다.
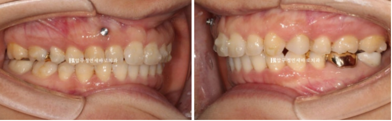
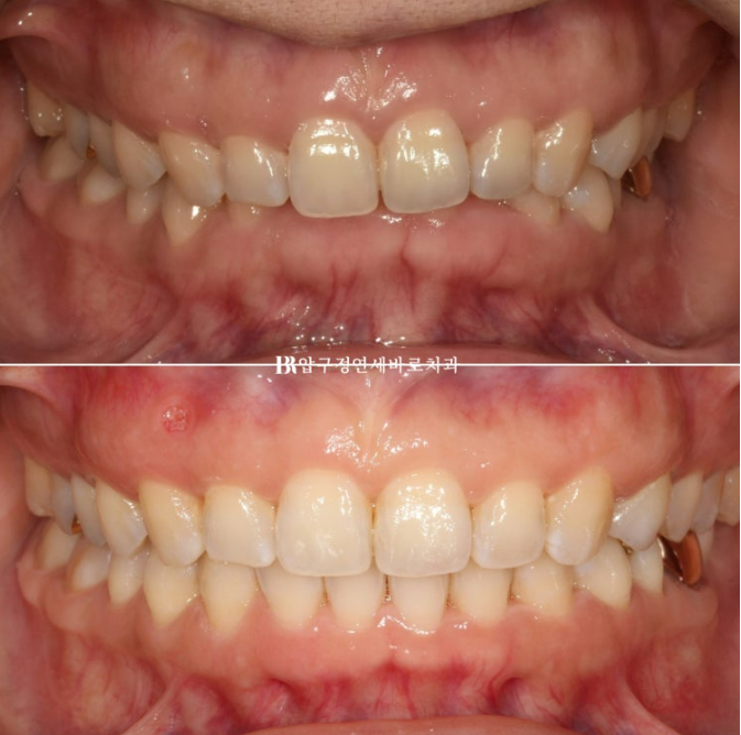
전 후 비교 보겠습니다.
치료기간은 총 11개월이고 재제작은 1회 했습니다.

24.01~24.12

24.01~24.12

24.01~24.12

24.01~24.12
11개월이라는 길지 않은 시간에 교합평면과 치축이 완전히 개선이 되었습니다.
앞으로 재발방지를 위해 유지장치 디자인, 종류가 특별히 고려되어야 합니다.

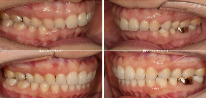
24.01~24.12
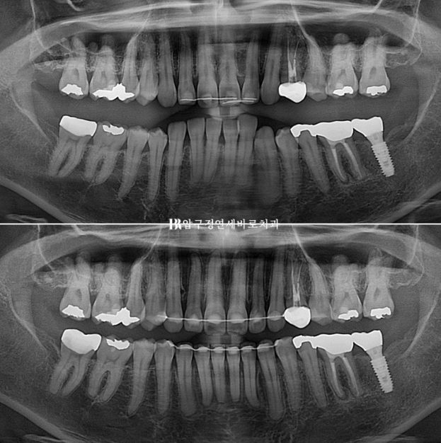
파노라마상 초진때 솟아올라와 있던 아래 앞니가 상당량 함입된 것이 보입니다.

24.01~24.12
과개교합이 있을 당시 윗니에 가려 숨어있던 아래 앞니 때문에 쏙 들어가있던 아랫입술도 교정 후 볼륨감을 회복하였습니다.
한쪽 치열을 올려내어 교합평면을 바로잡는 캔팅 교정은 인비절라인으로 잘 되는 교정 중 하나입니다.
재교정 신중하게 하셔야 합니다.
긴 글 읽어주셔서 감사합니다.

