아카이브 요약
이 페이지의 역할
연세바로치과의원의 네이버 블로그 원문을 보존한 아카이브 페이지입니다. 게시판 카테고리의 웃을 때 잇몸이 보여요. 잇몸미소 거미스마일 교정하기 글을 통해 병원의 한국어 정보 제공 방식과 진료 관련 안내 톤을 확인할 수 있습니다.
원문 검증
필요하면 원문 블로그와 병원 프로필로 바로 이동해 문맥을 다시 확인할 수 있습니다.
출처 아카이브 열기아카이브된 블로그 글
연세바로치과의원 · Naver Blog
웃을 때 잇몸이 보여요. 잇몸미소 거미스마일 교정하기 소개해드릴 압구정 교정치과입니다. 잇몸미소, 거미스마일 교정을 소개하겠습니다. 23.04~24.10 단순히 돌출을 고치고 싶어 오시는 분 중 웃을 때 잇몸이 많이 보이는 것에 대해 인지를 못하는 경우도 많습니다. 스스로 미처 알지 못하는 문제점까지 짚어내어 진단하고 치...
게시일
2026년 3월 6일
원문 기준으로 확인된 발행일입니다.
카테고리
게시판
원문 블로그 카테고리를 정리해 함께 표시합니다.
이미지 수
16
현재 아카이브에 연결된 이미지 수입니다.
아카이브 요약
연세바로치과의원의 네이버 블로그 원문을 보존한 아카이브 페이지입니다. 게시판 카테고리의 웃을 때 잇몸이 보여요. 잇몸미소 거미스마일 교정하기 글을 통해 병원의 한국어 정보 제공 방식과 진료 관련 안내 톤을 확인할 수 있습니다.
원문 검증
필요하면 원문 블로그와 병원 프로필로 바로 이동해 문맥을 다시 확인할 수 있습니다.
출처 아카이브 열기웃을 때 잇몸이 보여요.
잇몸미소 거미스마일 교정하기
소개해드릴 압구정 교정치과입니다.
잇몸미소, 거미스마일 교정을 소개하겠습니다.

23.04~24.10
단순히 돌출을 고치고 싶어 오시는 분 중 웃을 때 잇몸이 많이 보이는 것에 대해 인지를 못하는 경우도 많습니다.
스스로 미처 알지 못하는 문제점까지 짚어내어 진단하고 치료하여 가장 이상적인 결과를 만들어드립니다.

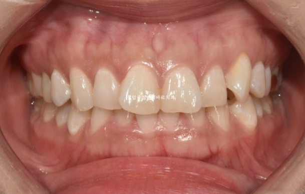
23.04
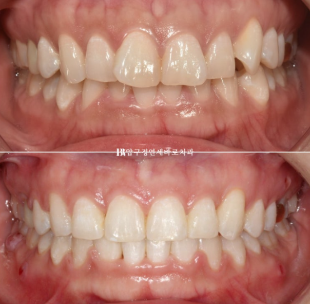
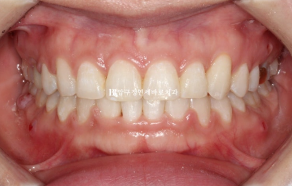
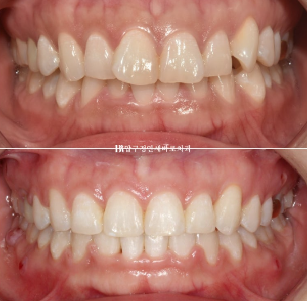
작년 4월 돌출과 덧니 때문에 찾아오신 30대 환자분입니다.
지방에서 오신 분입니다.
윗니 아랫니가 깊게 물리는 과개교합, 덧니, 중심선 불일치가 보입니다.

23.04
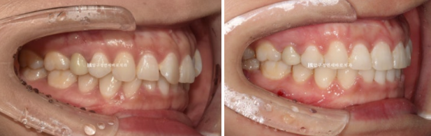
앞니 배열이 삐뚤합니다.
옆모습 분석에서는 앞니 각도가 정상이고 입술돌출이 크지 않아 사랑니 공간을 이용하며 돌출 개선을 소량만 도모하기로 했습니다.
대신 웃을 때 잇몸이 보이는 것도 같이 개선을 하기 위해서 앞니를 함입시키는 치료도 계획했습니다.
비발치 돌출입 교정은 통상 1년 6개월을 예상기간으로 봅니다.
클리피씨 교정 선택하고 진행했습니다.

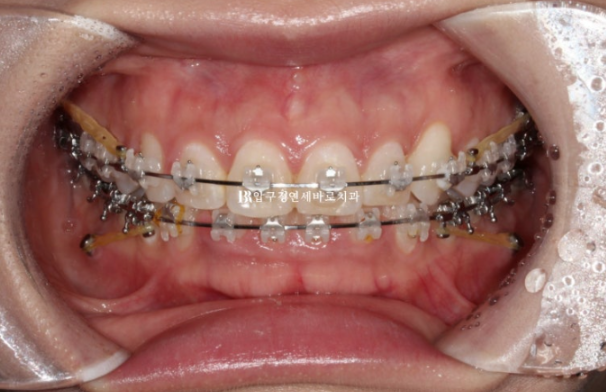
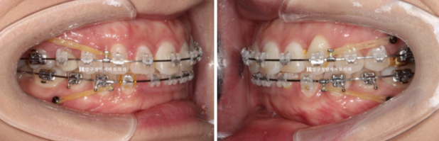
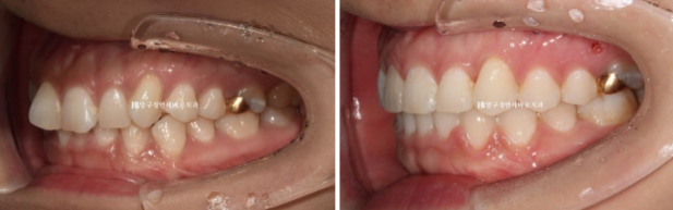
24.03
치료시작 11개월째 모습입니다.

24.03
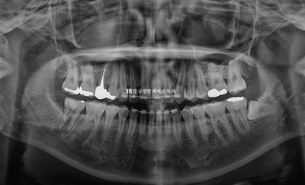
미니스크류를 심고 전체 치열을 사랑니 공간으로 밀어내는 중입니다.

24.10
치료시작 1년 7개월째 치료를 종료했습니다.
중심선은 정확히 일치하고 앞니가 깊게 물리는 과개교합은 해결이 되었습니다.

23.04~24.10
원래 좋았던 어금니 교합은 잘 유지가 되었습니다.

앞니 돌출은 해소가 되었고

23.04~24.10
배열도 가지런해졌습니다.

23.04~24.10
위 앞니 두 개가 사이즈가 커서 미량의 치간삭제로 치아 옆면 모양을 다듬어 미적인 완성도를 높였습니다.
치간삭제 하면 치아가 약해지지 않나요?
많이 물어보십니다.
만약 환자분이 치아가 시리거나 약해지면 저희가 평생 책임을 지어야 하는데
그렇게 치간삭제를 많이 하지 않습니다.
허용된 범위 내에서 치아의 자연적 마모도 정도만 진행하면 아무 불편함 없습니다.

23.04~24.10
잇몸 노출량이 줄면서 잇몸미소 거미스마일 많이 좋아졌죠?
소량의 입동굴이 생겼고 과하지 않은 입동굴은 여성스러운 미소 심미를 개선시킵니다.

23.04~24.10
돌출되지도 옥니처럼 쓰러지지도 않는 일자로 딱 떨어지는 적절한 앞니 각도 개선된 잇몸 노출량
비포 애프터 사진을 보면 환자분들은 그제서야 내가 잇몸이 원래 많이 보였구나 하고 감탄하십니다.

23.04~24.10
입술 위치는 1~2mm 정도 뒤로 들어갔습니다.

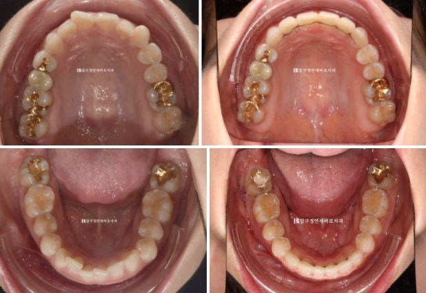
치아 뿌리 평행도도 좋고 치근흡수 등 부작용은 관찰되지 않습니다.
잇몸미소 거미스마일 교정은 치료 후 미소의 완성도를 200% 끌여주죠
단순 배열이나 돌출개선을 넘어서 좀 더 완성도 있는 결과를 위해 최선을 다합니다.

