아카이브 요약
이 페이지의 역할
연세바로치과의원의 네이버 블로그 원문을 보존한 아카이브 페이지입니다. 치아교정 카테고리의 30대 토끼이빨 교정 반대교합 앞니 부분교정 후기 글을 통해 병원의 한국어 정보 제공 방식과 진료 관련 안내 톤을 확인할 수 있습니다.
원문 검증
필요하면 원문 블로그와 병원 프로필로 바로 이동해 문맥을 다시 확인할 수 있습니다.
출처 아카이브 열기아카이브된 블로그 글
연세바로치과의원 · 치과미슐랭
안녕하세요 압구정 교정치과 입니다. 오늘은 30대 토끼이빨 교정 반대교합 앞니 부분교정 후기 알려드리겠습니다. 24.07~25.01 오늘은 간단한 앞니 부분교정 이야기를 해보겠습니다. 교정을 위해 내원한 30대 여성 환자분입니다. 24.07 앞니 두 개가 큰 일명 토끼이빨 입니다. 양쪽 측절치와 좌측 송곳니는 아랫니와 거...
게시일
2026년 3월 16일
원문 기준으로 확인된 발행일입니다.
카테고리
치아교정
원문 블로그 카테고리를 정리해 함께 표시합니다.
이미지 수
14
현재 아카이브에 연결된 이미지 수입니다.
아카이브 요약
연세바로치과의원의 네이버 블로그 원문을 보존한 아카이브 페이지입니다. 치아교정 카테고리의 30대 토끼이빨 교정 반대교합 앞니 부분교정 후기 글을 통해 병원의 한국어 정보 제공 방식과 진료 관련 안내 톤을 확인할 수 있습니다.
원문 검증
필요하면 원문 블로그와 병원 프로필로 바로 이동해 문맥을 다시 확인할 수 있습니다.
출처 아카이브 열기안녕하세요
압구정 교정치과 입니다.
오늘은 30대 토끼이빨 교정 반대교합 앞니 부분교정 후기 알려드리겠습니다.

24.07~25.01
오늘은 간단한 앞니 부분교정 이야기를 해보겠습니다.
교정을 위해 내원한 30대 여성 환자분입니다.

24.07
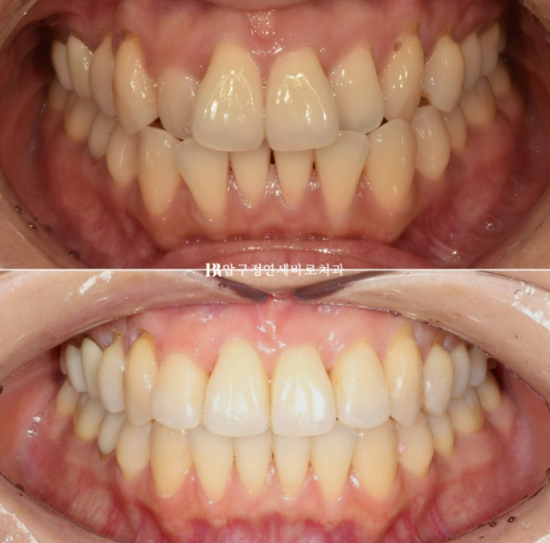
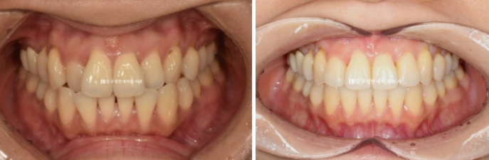
앞니 두 개가 큰 일명 토끼이빨 입니다.
양쪽 측절치와 좌측 송곳니는 아랫니와 거꾸로 물리는 반대교합을 보입니다.
아래 앞니는 블랙트라이앵글이 보입니다.
블랙트라이앵글은 교정 치료 후에 나타나는 현상으로 유명하지만 잇몸이 얄고 내려가 있는 경우 이렇게 원래 있기도 합니다.

24.07
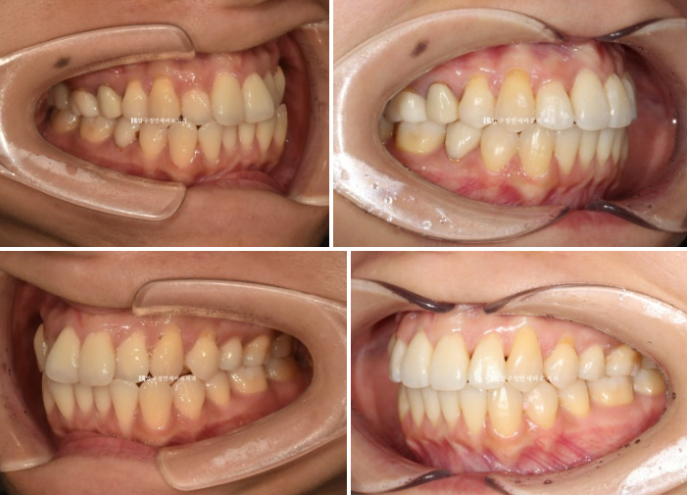
돌출이 없고 어금니 배열이나 교합이 좋아 앞니 부분교정을 권유드렸습니다.
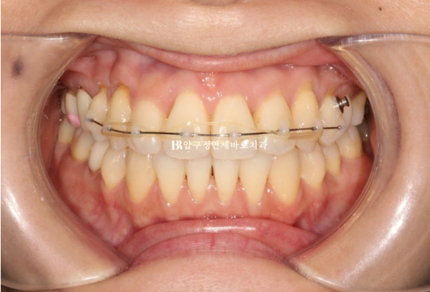
단 송곳니 반대교합을 해결하기 위해서 송곳니 뒤 첫번째 작은 어금니까지 장치를 붙여야 합니다.
MTA 미니튜브 장치로 치료하기로 하고 장치 부착, 배열에 들어갑니다.

24.12
치료시작 5개월째의 모습이고 아래는 교정이 한달 일찍 완료가 되어 장치를 먼저 제거하게 되었습니다.
좌측 송곳니 부분 반대교합 해결을 위해 고무줄도 걸었습니다.
그리고 25년 1월 치료시작 6개월만에 장치를 제거했습니다.

25.01
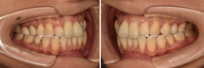
전 후 비교입니다.
왼쪽이 치료 전 오른쪽은 치료 후 입니다.

아래 앞니 블랙트라이앵글은 치간 삭제 후 배열 과정에서 사라졌습니다.

거꾸로 물리던 송곳니와 측절치가 반대교합이 해소가 되어 교합이 좋아졌습니다.

24.07~25.01

24.07~25.01
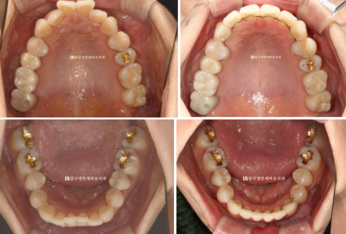
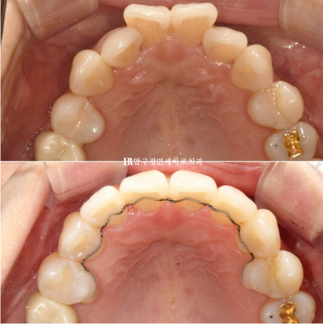
유지장치까지 들어간 모습입니다.

24.07~25.01

24.07~25.01

24.07~25.01
어금니 교합이 좋고 돌출이 없다면 6개월 이내의 앞니 부분교정으로도 충분히 좋은 효과를 볼 수 있습니다.

