아카이브 요약
이 페이지의 역할
연세바로치과의원의 네이버 블로그 원문을 보존한 아카이브 페이지입니다. 인비절라인 카테고리의 인비절라인 익스프레스 토끼이빨 교정 기간? 인비절라인 종류는? 글을 통해 병원의 한국어 정보 제공 방식과 진료 관련 안내 톤을 확인할 수 있습니다.
원문 검증
필요하면 원문 블로그와 병원 프로필로 바로 이동해 문맥을 다시 확인할 수 있습니다.
출처 아카이브 열기아카이브된 블로그 글
연세바로치과의원 · 치과미슐랭
안녕하세요 압구정 교정치과 연세바로치과입니다. 흔히 말하는 토끼이빨은 쉽고 빠르게 치료가 되는 대표적인 부정교합입니다. 인비절라인 익스프레스 교정기간은 얼마나 될까요? 궁금하신 분들을 위한 포스팅입니다. 경우에 따라 토끼이빨 교정 시 붙이는 장치를 쓰기도 하지만 인비절라인으로 앞니 부분교정을 치료하기도 합니다. ...
게시일
2026년 3월 18일
원문 기준으로 확인된 발행일입니다.
카테고리
인비절라인
원문 블로그 카테고리를 정리해 함께 표시합니다.
이미지 수
18
현재 아카이브에 연결된 이미지 수입니다.
아카이브 요약
연세바로치과의원의 네이버 블로그 원문을 보존한 아카이브 페이지입니다. 인비절라인 카테고리의 인비절라인 익스프레스 토끼이빨 교정 기간? 인비절라인 종류는? 글을 통해 병원의 한국어 정보 제공 방식과 진료 관련 안내 톤을 확인할 수 있습니다.
원문 검증
필요하면 원문 블로그와 병원 프로필로 바로 이동해 문맥을 다시 확인할 수 있습니다.
출처 아카이브 열기안녕하세요
압구정 교정치과 연세바로치과입니다.
흔히 말하는 토끼이빨은 쉽고 빠르게 치료가 되는 대표적인 부정교합입니다.
인비절라인 익스프레스 교정기간은 얼마나 될까요?
궁금하신 분들을 위한 포스팅입니다.
경우에 따라 토끼이빨 교정 시 붙이는 장치를 쓰기도 하지만 인비절라인으로 앞니 부분교정을 치료하기도 합니다.
인비절라인 종류는 무엇이 있나요?
인비절라인은 치료 난이도에 따라 크게 세가지 프로그램이 있습니다.
장치 7개 안에서 해결이 가능한경우 : 인비절라인 익스프레스
장치 14개 안에서 해결이 가능한 경우 : 인비절라인 라이트
그 이상의 장치가 필요한 복잡한 경우 : 인비절라인 컴프레헨시브

인비절라인 익스프레스 24.02~24.07
오늘은 인비절라인 익스프레스로 토끼이 덧니를 치료한 증례를 보고 이야기 해보겠습니다.

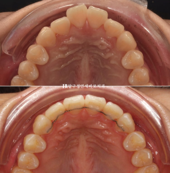
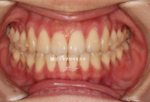
24.02
올해 2월, 앞니 덧니를 치료하고자 오신 환자분입니다.
앞에서 보면 별 문제가 없어보이지만,

앞니 두개가 튀어나온 토끼이빨이며 특히 우측 앞니가 많이 들려있습니다.

어금니 교합은 좋은 상태라서 인비절라인 익스프레스를 권유드렸습니다.
인비절라인 익스프레스는 장치가 단 7개가 배송이 되어 오며 재제작 기회가 1회 있습니다.

인비절라인 치료계획을 클린체크라고 부릅니다.
이 환자분의 클린체크를 보겠습니다.
앞니 부분교정에서 치아가 배열될 소량의 공간을 얻는 목적, 그리고 성인들 교정 후 필연적으로 생기는 블랙트라이앵글 축소를 위한 목적의 두 가지 목적으로 치간삭제를 앞니 사이사이 부위당 0.2~0.3mm씩 배치하였습니다.
클린체크에서 한가지 더 주목할 점은 좋은 어금니 교합을 유지하기 위해서 큰 어금니의 위치를 이동없음 으로 설정해 놓는 것입니다.
진회색으로 표시된 치아가 치료 전 후 이동이 전혀 없는 치아가 됩니다.
이 이동없음 설정이 필요한 경우는 꽤 많습니다.
이 환자분과 같이 7단계 안에 좋은 결과를 얻기 위해 불필요한 치아이동량은 최소화 하기 위해서이기도 하고 임플란트가 있는 경우라면 임플란트 치아를 이동없음으로 해놓기도 합니다.
또 영구치 결손으로 인하여 잔존유치를 최대한 오래 보존해서 쓰기로 한 경우도 유치가 교정력을 받지 않도록 이동없음으로 설정해 놓습니다.
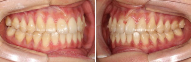
24년 3월부터 24년 4월까지 두달간 첫세트 7개의 장치를 다 낀 모습입니다.

24.04

24.04

24.04

24.04
앞니 배열은 97%정도 완료가 되었습니다.
미세하게 덜 돌아간 치아드로가 미세한 공간들을 마무리 하기 위해 추가제작 즉 재제작에 들어갑니다.
재제작 후 장치를 기다리는 시간은 한달입니다.
한달간은 전 세트의 마지막 7번 장치를 잘때만 끼면서 쉬는 시간을 갖게 됩니다.
그렇게 24년 7월까지 두달간 추가로 나온 장치들까지 다 낀 후 치료를 마무리 했습니다.
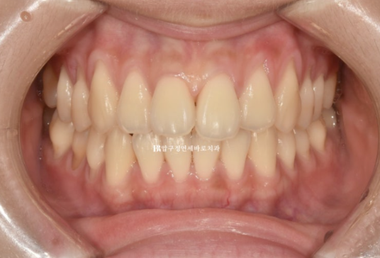
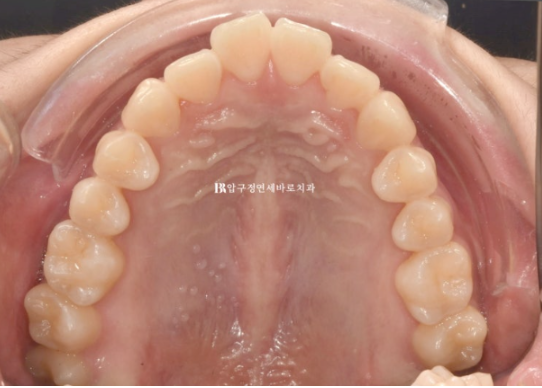
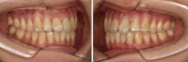
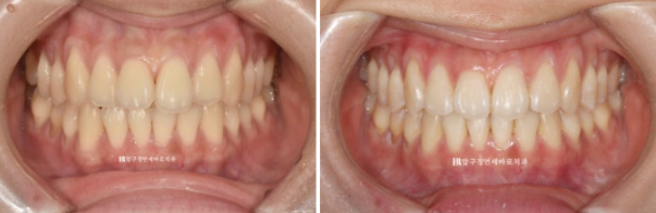
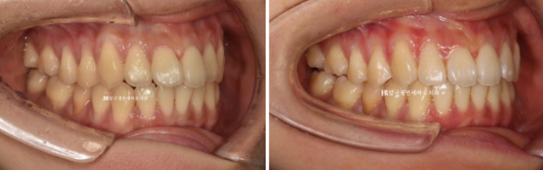
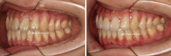
치료 전 - 치료 후 비교 사진입니다.
초진 24.02 이며 치료 종료는 24.07입니다.

24.02~24.07
소량의 치간삭제로 블랙트라이앵글 없이 치료를 마무리 했습니다.


24.02~24.07
좋은 교합은 유지가 되었고

24.02~24.07
토끼이빨은 정상 배열을 찾앗습니다.

24.02~24.07

깔끔해진 미소를 가지게 되었습니다.

장치 제작 기간을 제외한 실제 인비절라인 익스프레스 교정 치료기간은?
인비절라인 익스프레스 교정 기간
2개월씩 두 번 총 4개월입니다.
토끼이빨 교정이 하고 싶은데 보이는 장치가 부담스러워서 교정치료를 망설이는 분들에게 도움이 되었으면 좋겠습니다.

