아카이브 요약
이 페이지의 역할
연세바로치과의원의 네이버 블로그 원문을 보존한 아카이브 페이지입니다. 중년교정 카테고리의 40대 재교정 가능할까요? 비발치 돌출입 교정 호두턱 팔자주름 후기 글을 통해 병원의 한국어 정보 제공 방식과 진료 관련 안내 톤을 확인할 수 있습니다.
원문 검증
필요하면 원문 블로그와 병원 프로필로 바로 이동해 문맥을 다시 확인할 수 있습니다.
출처 아카이브 열기아카이브된 블로그 글
연세바로치과의원 · 치과미슐랭
안녕하세요 오늘은 얼굴이 작아지는 교정 / 함입교정 이야기 해보겠습니다. 2209 오래 전 교정을 했지만 돌출감과 입이 잘 안다물어져서 입술부전증 치료를 하고자 오신 분입니다. 예전에 교정치료를 받으신 분이라 배열, 교합은 좋습니다. 2209 입술 부전증이 있으면 입이 편하게 다물리지 않고 치아가 안 보이게 다물기 위해서...
게시일
2026년 3월 24일
원문 기준으로 확인된 발행일입니다.
카테고리
중년교정
원문 블로그 카테고리를 정리해 함께 표시합니다.
이미지 수
11
현재 아카이브에 연결된 이미지 수입니다.
아카이브 요약
연세바로치과의원의 네이버 블로그 원문을 보존한 아카이브 페이지입니다. 중년교정 카테고리의 40대 재교정 가능할까요? 비발치 돌출입 교정 호두턱 팔자주름 후기 글을 통해 병원의 한국어 정보 제공 방식과 진료 관련 안내 톤을 확인할 수 있습니다.
원문 검증
필요하면 원문 블로그와 병원 프로필로 바로 이동해 문맥을 다시 확인할 수 있습니다.
출처 아카이브 열기안녕하세요
오늘은 얼굴이 작아지는 교정 / 함입교정 이야기 해보겠습니다.

2209
오래 전 교정을 했지만 돌출감과 입이 잘 안다물어져서 입술부전증 치료를 하고자 오신 분입니다.
예전에 교정치료를 받으신 분이라 배열, 교합은 좋습니다.

2209
입술 부전증이 있으면 입이 편하게 다물리지 않고 치아가 안 보이게 다물기 위해서는 윗입술과 아랫입술에 늘 힘을 준 상태가 되야합니다.
불편감이 크죠.
입술부전증과 호두턱은 앞니가 앞으로 나와있어서 입이 잘 안다물어져서 생기는 증상입니다.
돌출입 교정으로 앞니가 뒤로 들어가면 입술부전증과 호두턱은 자연스럽게 개선이 되지만 돌출량과 호두턱의 정도가 심하다면 앞니를 단순히 뒤로 넣기 보다는 위 앞니부터 어금니까지 전체치아를 위로 올리는 함입교정을 통해서 입술이 좀 더 편안하게 다물리게끔 치료합니다.
40-50대 교정에서 중점은 아무래도 팔자주름이나 인중 길어짐과 같은 입매 변화입니다.
연조직의 노화가 시작되는 35세를 기점으로 35세 이상의 환자에서는 어른환자들에 비하여 발치교정 후 팔자주름이 깊어보일 위험이 있습니다.
교정치료를 앞둔 많은 분들께서 교정 후 팔자주름이 인중 길어짐과 같은 입매 변화입니다.
팔자주름이 깊어지려면 발치교정과 같이 앞니가 뒤로 4-5mm 이상 많이 들어가야 합니다.
즉 앞니가 뒤로 2mm만 들어가는 것을 목표로 하는 비발치 돌출입 교정에서는 팔자주름에 대한 이슈는 흔치 않습니다.

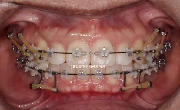
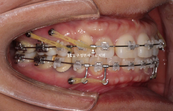
23.07

23.07
클리피씨로 치료하기로 하고 미니스크류를 위에 4개 아래 2개 총 6개를 식립하고 치료를 진행했습니다.
아래는 전체 치열을 뒤로 밀고 위에는 전체치열을 뒤로도 밀고 위로도 밀어올립니다.

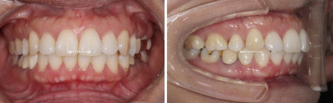
22.09~24.04

22.09~24.04
1년 7개월에 걸친 치료가 마무리가 된 후 전 후 비교입니다.
원래의 배열과 교합은 좋았어서 입안 사진에서는 뻗친 앞니 각도 개선 이외에 별로 달라진 것이 없습니다.

치료 전 후 엑스레이 중첩을 보면 재교정 효과가 잘 보입니다.
전체치열 함입과 후방이동으로 아래턱뼈의 자가회전이 꽤 많은 양 일어났습니다.
일반적으로는 2mm 정도를 목표로 치료하지만 3mm가량 일어났습니다.
무턱처럼 보이던 부분이 개선이 되고 호두턱이 풀려 아랫입술에 턱으로 이어지는 라인이 자연스럽니다.
자가회전이 되면 턱끝이 올라가고 정면에서 봤을 때 하관의 세로 길이가 짧아져서 작아보입니다.
또 자가회전으로 인하여 턱끝이 소량 앞으로 나오게 됩니다.
그래서 아래턱이 작은 무턱에서는 무턱까지 해소가 되니 함입교정을 적극 추천드립니다.
하지만 반대로 아래턱이 크고 발달한 안모는 턱끝이 더 앞으로 나온다면 좋지 않아서 함입교정을 추천하지 않습니다.

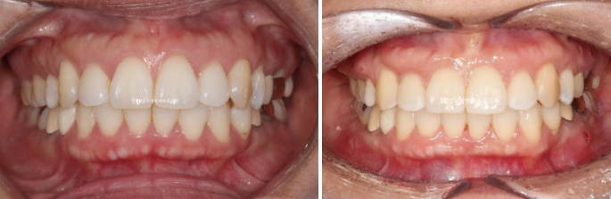
22.09~24.04

22.09~24.04
가장 눈에 띄는 효과는 돌출 해결로 입술이 편하게 다물리는 것 입니다.
환자분들이 많이 걱정하는 팔자주름도 처음에 비하여 깊어지지 않았습니다.
만약 앞니가 뒤로 2-3mm보다 더 들어갔다면 팔자주름이 처음에 비해 깊어졌을지도 모릅니다.

