아카이브 요약
이 페이지의 역할
연세바로치과의원의 네이버 블로그 원문을 보존한 아카이브 페이지입니다. 인비절라인 카테고리의 서울 인비절라인 치과 재교정 뻐드렁니 교정 글을 통해 병원의 한국어 정보 제공 방식과 진료 관련 안내 톤을 확인할 수 있습니다.
원문 검증
필요하면 원문 블로그와 병원 프로필로 바로 이동해 문맥을 다시 확인할 수 있습니다.
출처 아카이브 열기아카이브된 블로그 글
연세바로치과의원 · 치과미슐랭
안녕하세요 서울 인비절라인 치과입니다. 저희 치과는 압구정역에 이치하고 있습니다. 오늘은 인비절라인 라이트 케이스를 소개해드리겠습니다. 어릴때 비발치 교정 후 만족하지 못하여 20대때 혹은 30대에 재교정을 진행하러 오시는 경우들이 많습니다. 당시 교정치료 받을 때는 외모에도 관심이 별로 없고 치아 삐뚤한 것만 해...
게시일
2026년 3월 26일
원문 기준으로 확인된 발행일입니다.
카테고리
인비절라인
원문 블로그 카테고리를 정리해 함께 표시합니다.
이미지 수
12
현재 아카이브에 연결된 이미지 수입니다.
아카이브 요약
연세바로치과의원의 네이버 블로그 원문을 보존한 아카이브 페이지입니다. 인비절라인 카테고리의 서울 인비절라인 치과 재교정 뻐드렁니 교정 글을 통해 병원의 한국어 정보 제공 방식과 진료 관련 안내 톤을 확인할 수 있습니다.
원문 검증
필요하면 원문 블로그와 병원 프로필로 바로 이동해 문맥을 다시 확인할 수 있습니다.
출처 아카이브 열기안녕하세요
서울 인비절라인 치과입니다.
저희 치과는 압구정역에 이치하고 있습니다.
오늘은 인비절라인 라이트 케이스를 소개해드리겠습니다.
어릴때 비발치 교정 후 만족하지 못하여 20대때 혹은 30대에 재교정을 진행하러 오시는 경우들이 많습니다.
당시 교정치료 받을 때는 외모에도 관심이 별로 없고 치아 삐뚤한 것만 해결되면 좋겠다 라는 마음으로 했다가 시간이 지나니 아쉬운 부분들이 눈에 보이기 시작하기 때문입니다.

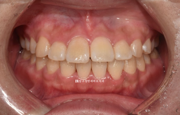
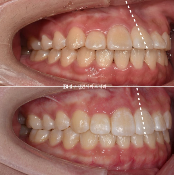
23.04
10년 전 어릴때 비발치 교정을 했던 환자분입니다.
치아는 가지런하고, 어금니도 잘 씹히는데 재교정을 원하는 이유는 <앞니 뻗침> 때문이였습니다.

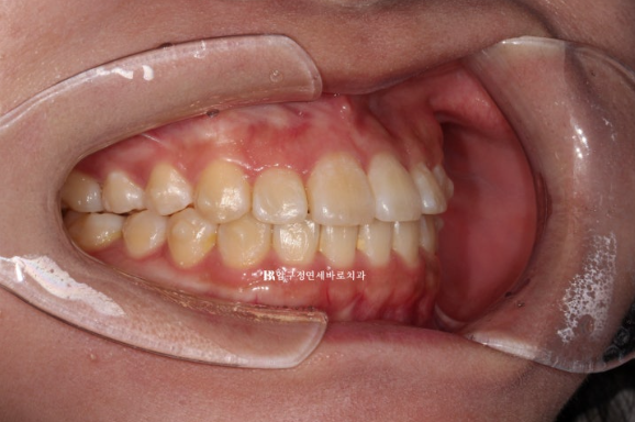
23.04

23.04
치아교정은 공간을 만들어 내는 그 공간을 이용하여 부정교합을 해결하는 과정입니다.
공간이 부족하다면 발치를 해서든 사랑니 공간을 이용하든 어디선가 공간을 얻어야 합니다.
삐뚤한 치아는 가지런히 하고 싶고 발치도 싫고 치간삭제도 싫어요 하는 경우라면 치아가 뻗친 상태로 마무리가 됩니다.
공간이 부족한데 치아를 가지런하게 펴다보면 처음보다 치아가 앞으로 뻗치게 되기 때문입니다.
뻗친 앞니는 미관상 안 좋을 뿐더러 나이가 들면 치아 뿌리를 덮는 잇몸이 얇은 상태라 잇몸이 빠르게 내려가게 되므로 지양하는 것이 좋습니다.
이 분은 치간 삭제를 동반한 인비절라인 라이트로 앞니 뻗침을 개선하기로 했습니다.
마침 앞니 사이즈도 큰 편이며 치근단 엑스레이 상 치아의 최외곽층 에나멜층도 평균보다 두꺼운 편이여서 어느정도의 치간삭제를 해도 무리가 없는 상황이었기 때문입니다.
만약 타고난 앞니 사이즈가 원래 작고 예전 교정을 할 때 이미 치간삭제를 했다면 원장님이 치간삭제를 권하지 않았을 것 입니다.
앞니를 뒤로 밀기 위해서 1-2년 걸리는 전체교정에 준하는 인비절라인 컴프리헨시브를 고려했을 것 입니다.
치간삭제는 생리적 한계 내에서 소량 적용하면 부정교합을 해결하는 좋은 도구가 되지만 과하면 치아를 약하게 만듭니다.
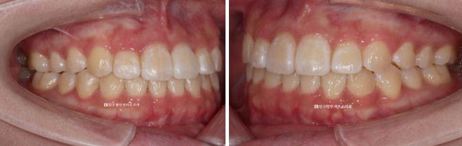
3개월에 걸쳐 14개의 첫 세트 치료를 마무리 한 후 모습입니다.
앞니 뻗침이 많이 개선이 되었지만 앞니를 조금 뒤로 더 넣고 싶다 라는 환자분의 요구에 부응하여 추가장치 제작에 들어갔습니다.

23.08
추가장치 기다리는 시간 1개월 반 후 10월부터 추가장치를 끼기 시작했고,약 3개월 후 1월에 치료가 마무리가 되었습니다.
장치 기다리는 시간을 제외한 실제 치료기간은 1차 세트 3개월, 추가장치 세트 3개월 해서 총 6개월입니다.

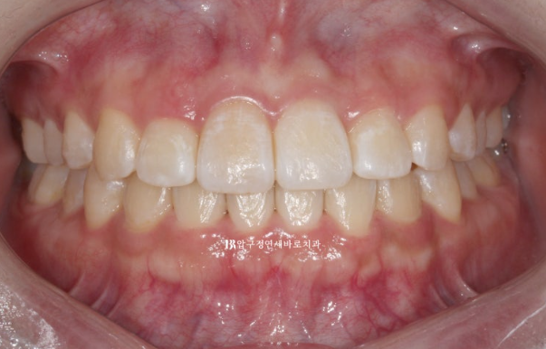
24.01

24.01
들려있던 일자로 내려오면서 치아가 처음보다 약간 길어보이네요.

23.04~24.01
앞니 각도 전 후 변화 입니다.

23.04~24.01

23.04~24.01
웃을 때 치아가 일자로 딱 떨어지는 모양새가 보기 좋습니다.

23.04~24.01
치료 전 후 엑스레이 중첩을 보면 앞니 각도 개선이 두드러집니다.
재교정이라고 해도 돌출이라고 해도 환자분의 상태에 따라 6개월 치료만으로도 좋은 효과를 볼 수 있습니다.
가가운 교정치과에서 상담 꼭 받아보세요.

