아카이브 요약
이 페이지의 역할
연세바로치과의원의 네이버 블로그 원문을 보존한 아카이브 페이지입니다. 인비절라인 카테고리의 50대 치아벌어짐 단기 교정 가능할까요? 글을 통해 병원의 한국어 정보 제공 방식과 진료 관련 안내 톤을 확인할 수 있습니다.
원문 검증
필요하면 원문 블로그와 병원 프로필로 바로 이동해 문맥을 다시 확인할 수 있습니다.
출처 아카이브 열기아카이브된 블로그 글
연세바로치과의원 · 치과미슐랭
안녕하세요 오늘은 50대 치아벌어짐 단기 교정 이야기를 들려드리겠습니다. 나이가 들면 누구나 치아가 삐뚤어지기도 하고 벌어집니다. 치아벌어짐 나이 들면서 많이 나타나는 증상입니다. 치주조직이 약해지며 잇몸뼈가 치아를 단단하게 잡아주지 못하는데요 빠르면 30대 보통은 40대가 되면 시작되는 것이 자연스러운 노화과정입니다...
게시일
2026년 3월 30일
원문 기준으로 확인된 발행일입니다.
카테고리
인비절라인
원문 블로그 카테고리를 정리해 함께 표시합니다.
이미지 수
9
현재 아카이브에 연결된 이미지 수입니다.
아카이브 요약
연세바로치과의원의 네이버 블로그 원문을 보존한 아카이브 페이지입니다. 인비절라인 카테고리의 50대 치아벌어짐 단기 교정 가능할까요? 글을 통해 병원의 한국어 정보 제공 방식과 진료 관련 안내 톤을 확인할 수 있습니다.
원문 검증
필요하면 원문 블로그와 병원 프로필로 바로 이동해 문맥을 다시 확인할 수 있습니다.
출처 아카이브 열기안녕하세요
오늘은 50대 치아벌어짐 단기 교정 이야기를 들려드리겠습니다.
나이가 들면 누구나 치아가 삐뚤어지기도 하고 벌어집니다.
치아벌어짐 나이 들면서 많이 나타나는 증상입니다.
치주조직이 약해지며 잇몸뼈가 치아를 단단하게 잡아주지 못하는데요
빠르면 30대 보통은 40대가 되면 시작되는 것이 자연스러운 노화과정입니다.
자연스럽다고는 하지만 방치하면 점점 심해질 수 있고 나중에는 교정으로 해결하기 힘듭니다.

아직 많이 틀어지지 않았을 때 빠르고 간단하게 교정이 가능합니다.
시기를 놓치지 마시고 가까운 교정치과에 내원해주세요.
교정치료는 보통 1-2년 걸린다고 생각하여 부담스럽다는 분들이 많습니다.
하지만 막상 오면 생각보다 오래 걸리지 않는 경우가 많습니다.
특히 수많은 부정교합 중 인비절라인 교정이 오히려 철사교정보다 빠르게 되는 경우가 있는데요
바로 치아 벌어짐 증상입니다.
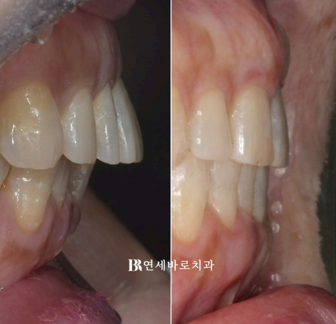
오늘은 60대 환자분이 6개월 만에 인비절라인으로 벌어진 치아를 말끔하게 교정하신 사례를 소개하겠습니다.

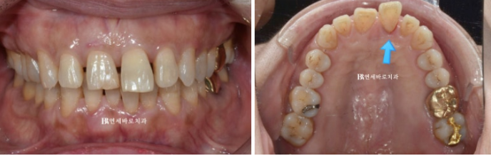
23.01
치아 벌어짐 증상으로 오시는 경우 단기간에 급속도로 벌어졌다면 노화가 아닌 잇몸 염증 때문인 경우가 많습니다.
특히 사진처럼 염증이 있는 치아는 점점 앞으로 돌출이 될 뿐 아니라 아래로도 내려옵니다.
그래서 벌어짐의 이유가 잇몸 염증 때문이라면 교정 치료 전 잇몸 염증 치료를 먼저 해야합니다.
그래야 치아 교정을 하면서 치아를 움직일 때의 부작용이 적습니다.
교정 후 다시 벌어지는 재발 위험도 낮출 수 있습니다.
꼼꼼히 잇몸 치료 후 인비절라인 교정 치료에 들어갔습니다.
어금니 교합이 원래 좋은 편이셨기에 전략적으로 원래 교합을 유지하며 치료를 진행했습니다.
어린 친구들과 다르게 수십년간 같은 교합으로 지내오신 관성이 있어서 어금니 교합이 바뀌면 많이 불편해하십니다.
중년 교정이기에 젊은 분들과 조금 다르게 접근해야 하는 부분입니다.

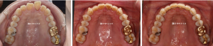
23.1~23.7
인비절라인 치료 중에는 치아에 어태치먼트가 필요합니다.
인비절라인으로 교정이 잘 안 되던 과거와 현재가 명확히 나뉘는 기준이 바로 이 어태치먼트의 유무입니다.

23.01~23.07
50대 치아벌어짐 6개월 간 치료 후 마무리 하였습니다.
인비절라인은 1차 치료가 끝난 후 디테일한 부분들을 수정하는 추가장치를 제작하는 경우가 많습니다.
이 분은 워낙에 장치를 잘 껴주시고 치아 이동도 원활한 편이라 추가장치 없이 마무리가 되었습니다.

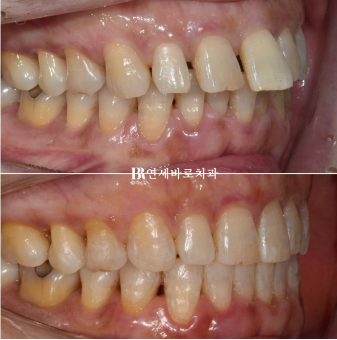
23.01~23.07

23.01~23.07
점점 돌출이 되었던 앞니가 다시 뒤로 들어가면서 제자리를 찾았습니다.

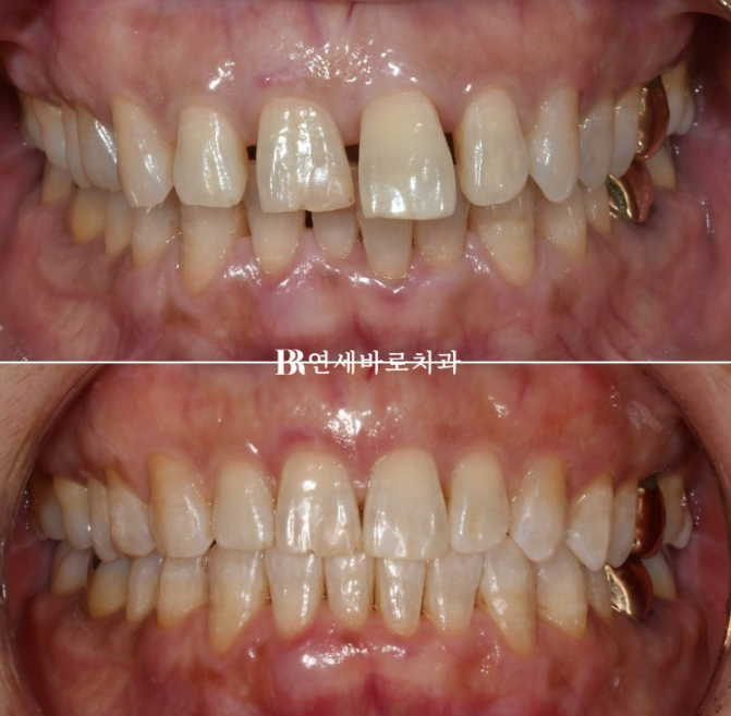
50대 치아벌어짐 적절한 치료계획과 적당한 갯수의 올바른 어태치먼트의 배치
각 치아마다 다른 전략을 세워 치료를 하면 가장 빠르고 좋은 결과를 만듭니다.

