아카이브 요약
이 페이지의 역할
연세바로치과의원의 네이버 블로그 원문을 보존한 아카이브 페이지입니다. 치아교정 카테고리의 안보이는 앞니 교정 2D 교정 부분교정 후기 / 교정 시 잇몸이 더 나빠지지 않을까요? 글을 통해 병원의 한국어 정보 제공 방식과 진료 관련 안내 톤을 확인할 수 있습니다.
원문 검증
필요하면 원문 블로그와 병원 프로필로 바로 이동해 문맥을 다시 확인할 수 있습니다.
출처 아카이브 열기아카이브된 블로그 글
연세바로치과의원 · 치과미슐랭
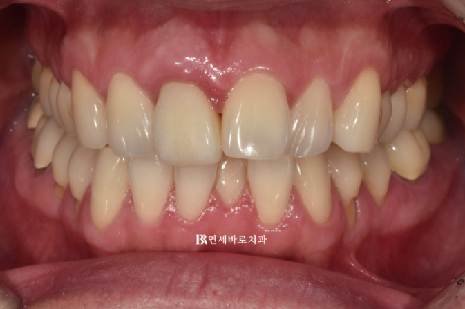
안녕하세요 압구정 교정치과입니다. 오늘은 40대 남성분의 교정 이야기를 해드리겠습니다. 22.10 22.10 어금니 교합이 완벽하진 않지만 양호한 상태셨고, 시간 상 문제로 앞니만 배열하는 부분교정을 하기로 했습니다. 이제 장치 선택에 들어갑니다. 앞니 교정용 장치인 MTA 그리고 2D교정을 고민하시다가 설측 장치인...
게시일
2026년 3월 31일
원문 기준으로 확인된 발행일입니다.
카테고리
치아교정
원문 블로그 카테고리를 정리해 함께 표시합니다.
이미지 수
10
현재 아카이브에 연결된 이미지 수입니다.
아카이브 요약
연세바로치과의원의 네이버 블로그 원문을 보존한 아카이브 페이지입니다. 치아교정 카테고리의 안보이는 앞니 교정 2D 교정 부분교정 후기 / 교정 시 잇몸이 더 나빠지지 않을까요? 글을 통해 병원의 한국어 정보 제공 방식과 진료 관련 안내 톤을 확인할 수 있습니다.
원문 검증
필요하면 원문 블로그와 병원 프로필로 바로 이동해 문맥을 다시 확인할 수 있습니다.
출처 아카이브 열기안녕하세요
압구정 교정치과입니다.
오늘은 40대 남성분의 교정 이야기를 해드리겠습니다.

22.10

22.10
어금니 교합이 완벽하진 않지만 양호한 상태셨고, 시간 상 문제로 앞니만 배열하는 부분교정을 하기로 했습니다.
이제 장치 선택에 들어갑니다.
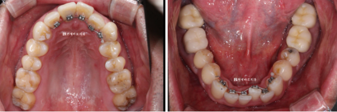
앞니 교정용 장치인 MTA 그리고 2D교정을 고민하시다가 설측 장치인 2D 장치를 선택하셨습니다.
치아 뒤에 붙여서 앞에서는 교정 기간 중 보이는 것이 전혀 없습니다.

장치 붙인 모습입니다.
앞에서는 전혀 안 보입니다.
부분교정 치료기간은 어떻게 될까요?
6개월 간 총 6번 정도 내원으로 교정이 마무리 되었습니다.

22.10~23.03
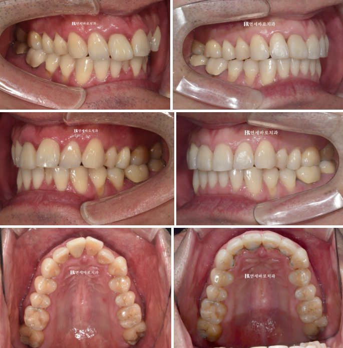
교정 후 웃을 때 좀 더 자신있게 웃을 수 있다는 것입니다.
교정치료로 얻는 심리적인 이유도 크다고 생각합니다.

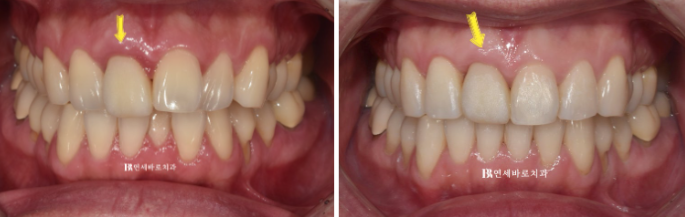
처음 내원 시 크라운이 씌워져 있던 앞니는 잇몸이 빨갛게 부었고 건드리기만 해도 피가 나는 상태였습니다.
교정 시 잇몸이 더 나빠지지 않을까요?
걱정하는 분들이 많으십니다.
교정을 하게 되면 한달에 한 번씩은 스케일링을 하게 됩니다.
원래 있던 잇몸 염증도 가라앉을 수 있습니다.
교정 중 스케일링 뿐 아니라 장기적인 잇몸 건강을 위해서 위 앞니에 잇몸 치료도 진행하셨습니다.
마무리 단계에서는 염증이 다 나았습니다.

또 하나 주목할 점은 잇몸라인입니다.
치아가 들쑥날쑥 하면 잇몸라인도 들쑥날쑥 하기 마련입니다.
치아가 가지런해지면서, 잇몸 라인도 자연스럽게 맞아집니다.
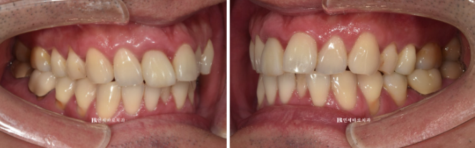
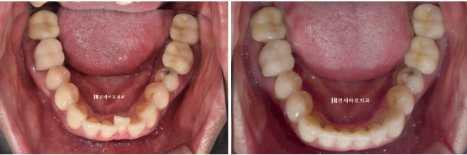
전 / 후 비교해보겠습니다.


2022.10~2023.03
총 6개월이 걸렸습니다.
앞니 부분교정은 상태에 따라 짧게는 3개월 그리고 길게는 6개월이 걸립니다.
그동안 오래 걸릴까봐 혹은 바빠서 교정을 미루셨던 분들이 계신가요?
앞니 부분교정만 해도 큰 효과를 볼 수 있는 경우도 많습니다.
가까운 교정치과에서 상담 받아보세요

