아카이브 요약
이 페이지의 역할
연세바로치과의원의 네이버 블로그 원문을 보존한 아카이브 페이지입니다. 치아교정 카테고리의 토끼이빨 치아교정 ? 토끼이빨 교정 치료기간은 어떻게 되나요? 글을 통해 병원의 한국어 정보 제공 방식과 진료 관련 안내 톤을 확인할 수 있습니다.
원문 검증
필요하면 원문 블로그와 병원 프로필로 바로 이동해 문맥을 다시 확인할 수 있습니다.
출처 아카이브 열기아카이브된 블로그 글
연세바로치과의원 · 치과미슐랭
안녕하세요 오늘은 토끼이빨 치아교정 소개를 해드리겠습니다. 24.03~24.08 어린이 교정을 한 어린이 환자의 보호자 입니다 아이가 교정을 마친 후 정기검진 왔을때 보호자님도 교정치료를 위해 검사를 원하셨습니다. 24.03 거꾸로 물리는 반대교합과 송곳니 그리고 덧니와 중심선 불일치가 확인이 됩니다. 24.03 어금니...
게시일
2026년 4월 1일
원문 기준으로 확인된 발행일입니다.
카테고리
치아교정
원문 블로그 카테고리를 정리해 함께 표시합니다.
이미지 수
13
현재 아카이브에 연결된 이미지 수입니다.
아카이브 요약
연세바로치과의원의 네이버 블로그 원문을 보존한 아카이브 페이지입니다. 치아교정 카테고리의 토끼이빨 치아교정 ? 토끼이빨 교정 치료기간은 어떻게 되나요? 글을 통해 병원의 한국어 정보 제공 방식과 진료 관련 안내 톤을 확인할 수 있습니다.
원문 검증
필요하면 원문 블로그와 병원 프로필로 바로 이동해 문맥을 다시 확인할 수 있습니다.
출처 아카이브 열기안녕하세요
오늘은 토끼이빨 치아교정 소개를 해드리겠습니다.

24.03~24.08
어린이 교정을 한 어린이 환자의 보호자 입니다
아이가 교정을 마친 후 정기검진 왔을때 보호자님도 교정치료를 위해 검사를 원하셨습니다.

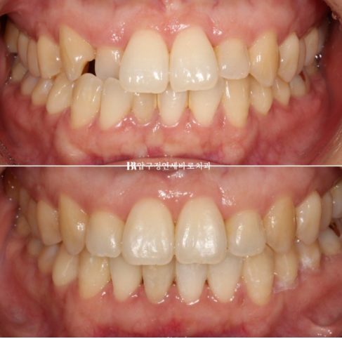
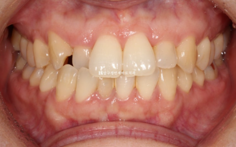
24.03
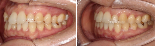
거꾸로 물리는 반대교합과 송곳니 그리고 덧니와 중심선 불일치가 확인이 됩니다.

24.03
어금니 교합이나 배열은 좋아서 기간이나 비용 부담이 적은 앞니 부분교정이 가능했습니다.
치간삭제로 블랙트라이앵글 발생 부위를 최소화 하고, 앞니 뻗침 없이 배열된 공간을 얻을 수 있습니다.
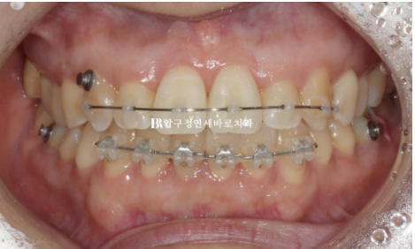
인비절라인 라이트 또는 앞니 부분교정용 2D나 MTA 장치 모두 가능하지만
환자분과의 상의 후 위에는 덜 보이는 앞니 부분교정용 장치인 MTA를 아래는 클리피씨를 붙이기로 했습니다.
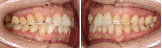
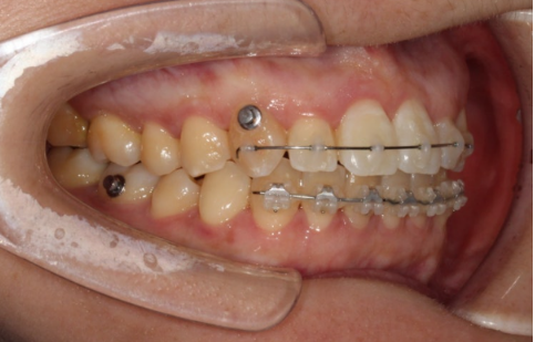
치료시작 6개월째의 모습을 보여드리겠습니다.
환자분이 스스로 뺐다 꼈다 하는 고무줄 처방을 위한 고리도 부착했습니다.
송곳니 덧니를 좋은 위치로 내리기 위해서입니다.

24.08
앞니 부분교정의 한계점으로 대표적인 것은 치아의 중심선 입니다.
어금니를 움직이지 않아서 윗니와 아랫니 중심선이 약간은 맞지 않는 상태가 되기 쉽습니다.
그러나 이 경우처럼 어금니 교합이 좌우가 동일하면서 앞니 사이즈 이상이 없다면 부분교정이지만 중심선이 맞게 끝날 수 있습니다.

송곳니 뒤쪽도 미세한 틈을 없애기 위해서 고무줄 고리를 어금니에 부착했고 빈틈없이 치료가 마무리 되었습니다.


24.03~24.08
장치를 뗀 후에 철사 유지장치가 붙은 모습입니다.
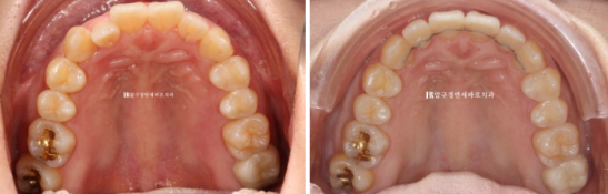
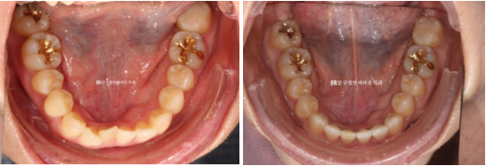
배열은 가지런해졌고

24.03~24.08
반대교합과 덧니는 해소가 되었습니다.

24.03~24.08
원래 좋았던 어금니 교합은 유지가 되었습니다.
최소한의 개입으로 전체 교정한 것 같은 효과를 보는 것을 목표로 진료합니다.

24.03~24.08
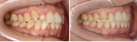
그리고 마지막으로 정돈된 미소 입니다.

앞니 뻗침 없이 치아 각도도 정상범위 안에서 마무리 하였습니다.
교정치료에서 많이들 걱정하시는 것이 바로 치간삭제 입니다.
치아를 삭제한다 라는 말이 무서우실 수 있습니다.
뭐든지 과하면 독이 되듯이 치간삭제도 과하게 진행하면 치아가 시리거나 약할 수 있습니다.
그러나 치아가 정상각도를 유지할 정도의 최소한의 치간삭제는 앞니 부분교정에서 반드시 필요한 부분입니다.
치간삭제는 블랙트라이앵글도 예방할 수 있습니다.
한마디로 말하면 치료에 도움이 되는 부분입니다.
늦었다고 생각할때가 가장 빠른때일 수 있습니다
토끼이빨 치아교정 ? 토끼이빨 교정 치료기간은 어떻게 되나요?
총 치료기간은 24년 3월부터 8월까지 총 6개월이 걸렸습니다.
교정치료가 꼭 오래걸리는 것은 아닙니다.
환자분의 상태에 따라 그리 오래 걸리지 않는 교정도 많습니다.

