아카이브 요약
이 페이지의 역할
연세바로치과의원의 네이버 블로그 원문을 보존한 아카이브 페이지입니다. 인비절라인 카테고리의 인비절라인 라이트 가위교합 벌어짐 중심선 미니스크류 치료기간 11개월 글을 통해 병원의 한국어 정보 제공 방식과 진료 관련 안내 톤을 확인할 수 있습니다.
원문 검증
필요하면 원문 블로그와 병원 프로필로 바로 이동해 문맥을 다시 확인할 수 있습니다.
출처 아카이브 열기아카이브된 블로그 글
연세바로치과의원 · 치과미슐랭
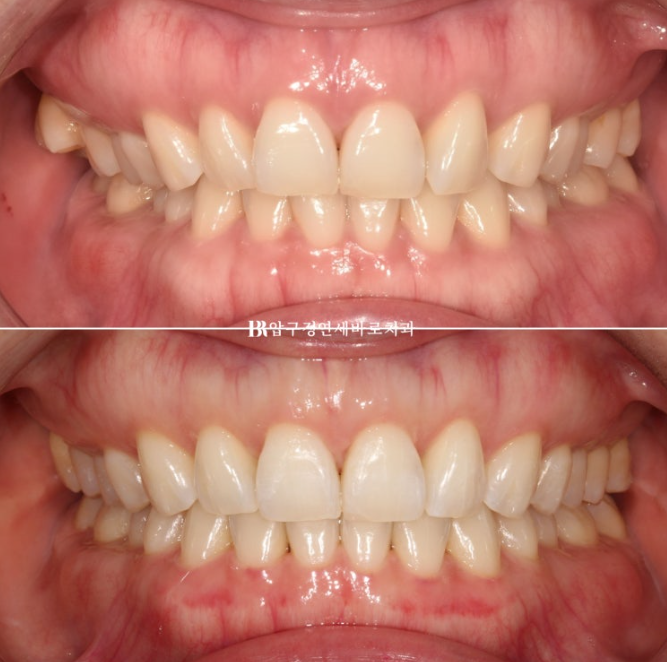
안녕하세요 압구정 교정치과입니다. 23.07~24.05 오늘 포스팅은 인비절라인 라이트 가위교합 벌어짐 소개입니다. 가위교합을 인비절라인 라이트로 해결하고자 오신 환자분입니다. 미니스크류 심고 치료하면 인비절라인 라이트로 가능한 케이스였습니다. 23.07 11개월 간 치료 후 끝났습니다. 중심선 불일치 그리고 오른쪽의...
게시일
2026년 4월 3일
원문 기준으로 확인된 발행일입니다.
카테고리
인비절라인
원문 블로그 카테고리를 정리해 함께 표시합니다.
이미지 수
13
현재 아카이브에 연결된 이미지 수입니다.
아카이브 요약
연세바로치과의원의 네이버 블로그 원문을 보존한 아카이브 페이지입니다. 인비절라인 카테고리의 인비절라인 라이트 가위교합 벌어짐 중심선 미니스크류 치료기간 11개월 글을 통해 병원의 한국어 정보 제공 방식과 진료 관련 안내 톤을 확인할 수 있습니다.
원문 검증
필요하면 원문 블로그와 병원 프로필로 바로 이동해 문맥을 다시 확인할 수 있습니다.
출처 아카이브 열기안녕하세요
압구정 교정치과입니다.

23.07~24.05
오늘 포스팅은 인비절라인 라이트 가위교합 벌어짐 소개입니다.
가위교합을 인비절라인 라이트로 해결하고자 오신 환자분입니다.
미니스크류 심고 치료하면 인비절라인 라이트로 가능한 케이스였습니다.

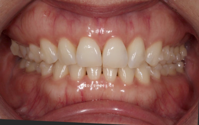
23.07
11개월 간 치료 후 끝났습니다.
중심선 불일치 그리고 오른쪽의 맨 뒤 큰 어금니가 바깥으로 나가 있는 가위교합이 정면에서도 잘 보입니다.

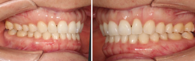
23.07
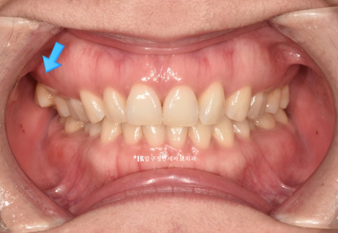
오른쪽 맨 뒤 큰 어금니의 가위교합이 보이고 왼쪽은 송곳니와 앞니 사이 벌어진 공간이 보입니다.

인비절라인 라이트로 이 모든 것을 해결하고 치료에 들어갑니다.
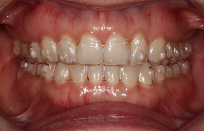
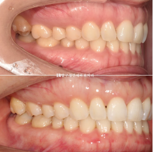
23년 7월부터 23년 12월까지 약 5개월에 걸쳐서 1차 세트 장치 14개를 다 착용한 후 모습입니다.

23.12
가위교합과 벌어졌던 공간은 이미 해결이 되었습니다.

23.12
중심선도 잘 맞습니다.
블랙 트라이앵글과 치아 사이 미세공간 마무리를 위해 추가적인 제작에 들어갑니다.

23.12
가위교합은 1차 세트에서 완전히 개선이 되었기에 미니스크류는 추가장치 제작을 하기로 한 날 제거했습니다.
미니스크류 뺀 자리가 어떻게 되는 지 많이 궁금하실 거 같아요.
결과는 마지막에 보여드리겠습니다.
추가장치 주문은 23년 12월 추가장치가 도착한 것은 24년 1월입니다.
4개월 간 추가장치를 더 껴서 디테일한 부분과 미세공간을 마무리 하여 24년 5월 치료가 끝났습니다.


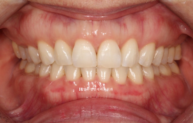
24.05
인비절라인 교정은 교합이 안 좋게 끝났다고 하더라
라는 말이 인터넷에 있습니다.
이런 말 때문에 걱정이 많으신데요 인비절라인으로 교정 교합 좋습니다.

23.07~24.05
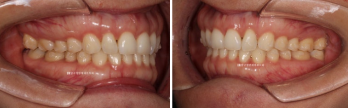
가위교합이었던 우측 상악 제 2대구치 교합도 잘 유지가 되고 있습니다.

23.07~24.05
악궁 모양과 배열이 잘 잡혔고 재제작때 미니스크류 뺀 자리는 잘 아물어서 흔적이 없습니다.
흉터가 작게 남는 경우도 있지만 흉터가 남지 않는 경우가 많습니다.
교정치료 중인 여러분 혹은 교정치료를 앞둔 분들에게 도움이 되셨기를 바랍니다.

