연세굿데이치과 양재점
연세굿데이치과 기공세미나 PART 2. shade taking
안녕하세요~ 치과로 출근하는 여자입니다:) 오늘은 보철물 제작 시 치아의 색상을 맞추고 환자분의 니즈를 파악하는 과정이라 할 수 있는 Shade taking(쉐이드테이킹)에 관한 이야기입니다! 지난주 연세굿데이치과 수서점에서는 직원들을 대상으로 한 세미나를 진행했어요~ ▽...
아카이브 요약
이 페이지의 역할
English Speaking Dental Clinic 연세굿데이치과 양재점의 네이버 블로그 원문을 보존한 아카이브 페이지입니다. 연세굿데이치과 카테고리의 연세굿데이치과 기공세미나 PART 2. shade taking 글을 통해 병원의 한국어 정보 제공 방식과 진료 관련 안내 톤을 확인할 수 있습니다.
안녕하세요~
치과로 출근하는 여자입니다:)
오늘은 보철물 제작 시 치아의 색상을 맞추고
환자분의 니즈를 파악하는 과정이라 할 수 있는
Shade taking(쉐이드테이킹)에 관한 이야기입니다!
지난주 연세굿데이치과 수서점에서는
직원들을 대상으로 한 세미나를 진행했어요~
▽ 연세굿데이치과 기공세미나 PART 1. 치아보철물 제작과정




Shade taking이란 앞에서 말씀 드렸다시피
치아 보철물의 색상을 선택하는 작업이에요~
그렇다면 어떤 과정을 통해 이루어지는지
쉐이드테이킹의 작업과정을 설명해 드릴게요!
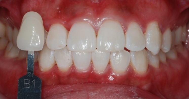
shade taking 진행과정
- 치아 수분공급
치아가 마르지 않았을 때 진행해야 하므로
건조한 상태라면 30초~1분 정도 물을 머금은 후
치아에 수분을 공급하는 것이 좋습니다.
- shade guide를 통한 진단
치아 색상별, 색의 진하기에 따라
치아의 색을 분석할 수 있는 도구인 shade guide를 통해
환자분의 치아색상과 진하기를 비교, 분석합니다.

여기서 잠깐!!
치아를 3등분 했을 때 빨간 원 안에 있는 부위는
치아의 불투명층이 가장 뚜렷하여
치아의 기본색이 되는 부분입니다.
이 부위와 가장 비슷한 계열을
쉐이드가이드에서 찾는 것이 중요합니다!

- 색상 배합을 통한 shade taking
하지만 하나의 치아가 균일한 색상일 수 없기에
가장 투명한 부분의 절단색도
쉐이드가이드를 통해 찾아야 합니다.
따라서 치아의 뿌리부분에 가까운 색상과(기본색)
하단의 투명한 부분에 가까운 색상(절단색),
총 2가지로 쉐이드테이킹을 완료할 수 있습니다.
- shade taking 후 사진 촬영
정보를 남기기 위해 사진 촬영을 진행합니다.
모든 사진은 정면에서,
치아 전체가 보이도록 찍는 것이 좋습니다.

사실 이 모든 과정보다도 중요한 것은
치료 받으시는 환자분과의 소통입니다.
본래 치아와 잘 어울릴 수 있도록
자연스러운 색상을 결정해 드리지만
환자분의 기호는 다를 수 있기 때문입니다.
직원들을 위해 세미나를 준비해주신
기공실장님께 감사드리며
늘 배우고 발전하는 연세굿데이치과가 되겠습니다!:D
더 보기
이 병원의 공개 콘텐츠를 계속 살펴보세요
출처 아카이브로 돌아가 더 많은 글을 보거나, 병원 프로필로 이동해 다른 공개 채널도 함께 비교해보세요.