아카이브 요약
이 페이지의 역할
디데이치과의원의 네이버 블로그 원문을 보존한 아카이브 페이지입니다. 치아미백 카테고리의 서울실활치미백, 일반 미백과 다른 이유 의사 작성 글을 통해 병원의 한국어 정보 제공 방식과 진료 관련 안내 톤을 확인할 수 있습니다.
원문 검증
필요하면 원문 블로그와 병원 프로필로 바로 이동해 문맥을 다시 확인할 수 있습니다.
출처 아카이브 열기아카이브된 블로그 글
디데이치과의원 · 통합치의학과 전문의 2명의 솔직한 치과 이야기
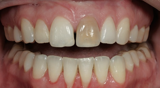
서울실활치미백, 일반 미 백과 다른 이유 의사 작성 실활치미백 안녕하세요. 디데이치과 대표원장 오태훈입니다. 얼마 전 30대 여성 환자분이 상담실에 들어오시자마자 앞니를 손으로 가리시더라고요. "원장님, 이거 신경치료 받고 나서 이렇게 변했어요. 미백하면 될까요?" 하시는데 표정이...
게시일
2025년 11월 25일
원문 기준으로 확인된 발행일입니다.
카테고리
치아미백
원문 블로그 카테고리를 정리해 함께 표시합니다.
이미지 수
16
현재 아카이브에 연결된 이미지 수입니다.
아카이브 요약
디데이치과의원의 네이버 블로그 원문을 보존한 아카이브 페이지입니다. 치아미백 카테고리의 서울실활치미백, 일반 미백과 다른 이유 의사 작성 글을 통해 병원의 한국어 정보 제공 방식과 진료 관련 안내 톤을 확인할 수 있습니다.
원문 검증
필요하면 원문 블로그와 병원 프로필로 바로 이동해 문맥을 다시 확인할 수 있습니다.
출처 아카이브 열기서울실활치미백, 일반 미 백과 다른 이유 의사 작성
실활치미백
안녕하세요.
디데이치과
대표원장 오태훈입니다.

얼마 전 30대 여성 환자분이
상담실에 들어오시자마자
앞니를 손으로 가리시더라고요.
"원장님, 이거 신경치료 받고 나서
이렇게 변했어요. 미백하면 될까요?"
하시는데 표정이 정말 속상해 보이셨습니다.
신경치료를 받은 치아가 시간이 지나면서
검게 변하는 걸 보시면 많은 분들이 놀라십니다.

주변 치아들은 하얀데 딱 한 개만 누렇거나
회색빛으로 변하니까 웃을 때마다
신경 쓰이실 수밖에 없겠죠.
일반 미백을 받아볼까
고민하시는 분들도 많으신데요.
그런데 안타깝게도
일반 미백으로는 해결이 안 됩니다.
왜냐하면 변색의 원인과
위치가 완전히 다르거든요.
오늘은 신경치료 받은 치아,
즉 실활치 미백이 일반 미백과 어떻게 다른지
자세히 설명드리겠습니다.
이 글을 읽으시면 내 치아에는
어떤 치료가 필요한지
정확히 아실 수 있을 겁니다.
| 1. 실활치미백, 일반 미백과 완전히 다른 이유 2. 실활치미백, 이렇게 진행됩니다3. 디데이치과, 통증 없는 실활치미백 |
일반 미백과 완전히 다른 이유
일반적인 치아 변색은
커피나 와인, 담 배 같은 외부 요인
때문에 생깁니다.
치아 표면에 착색이 쌓이는 거죠.
그래서 일반 미 백은 치아 바깥쪽에
미 백제를 발라서 표면의 색소를
제거하는 방식으로 진행됩니다.
그런데 신경치료를 받은 치아는
완전히 다릅니다.
신경조직이 제거되면서 치아 내부에 있던
혈액 성분이나 신경 조직의 분해 산물들이
상아질 깊숙이 스며들거든요.
쉽게 말하면
치아 안쪽에서부터 색이 변하는 겁니다

이렇게 진행됩니다
그렇다면 어떻게 해야 할까요?
실활치미백은 치아 안쪽에 직접
미 백제를 넣는 방식으로 진행됩니다.
신경치료 때 막았던 부분을
조금 열어서 미 백제를 채워 넣고,
임시로 막아두는 거죠.
미 백제가 치아 내부에서 천천히 작용하면서
상아질 깊숙이 스며든 색소를 분해합니다.
보통 일주일 정도 후에 다시 내원하셔서
미 백제를 교체하고,
이 과정을 원하시는 밝기가 될 때까지
반복하게 됩니다.
대부분 2회에서 3회 정도면
주변 치아와 비슷한 색상으로
회복되는 경우가 많습니다.
치아 상태에 따라 차이는 있지만,
일반 미 백보다 훨씬 효과적으로
변색된 치아를 개선할 수 있습니다.

치료 과정에서 통증이 있을까
걱정하시는 분들도 계신데요.
이미 신경이 없는 치아이기 때문에
시술 자체는 거의 불편함이 없습니다.
다만 미 백제를 넣은 후에 일시적으로
약간의 민감함을 느끼실 수는 있는데,
대부분 며칠 내로 사라지니까
크게 걱정하지 않으셔도 됩니다.
통증 없는 실활치미백
제가 진료하면서
가장 중요하게 생각하는 건
환자분이 납득하시는 치료입니다.
그래서 서울실활치미백을 진행하기 전에
왜 이 치료가 필요한지
어떤 과정으로 진행되는지 충분히
설명드리고 있습니다.

또한 치료 과정에서 혹시라도
불편함이 생길 수 있는 부분들은
미리 말씀드립니다.
예상치 못한 통증이나 불편함만큼
환자분을 힘들게 하는 건 없으니까요.
투명하게 소통하면서 진행하는 게
정말 중요하다고 생각합니다.
실활치미백은 단순히
미용 목적만이 아닙니다.
변색된 치아 하나 때문에
웃을 때마다 움츠러들고,
사진 찍을 때도 입을 가리게 되면
일상생활에서 받는 스트레스가 상당하거든요.
자신감을 되찾아드리는
치료라고 생각하고 있습니다
신경치료 받은 치 아가 변색되었다고 해서
무조건 라미네이트나 크라운 같은
보철 치료를 해야 하는 건 아닙니다.
서울실활치미백으로 충분히
개선할 수 있는 경우가 많거든요.
자연 치아를 최대한 보존하면서도
심미적인 개선을 할 수 있다는 게
가장 큰 장점입니다.
만약 신경치료 받은 치아의 변색 때문에
고민하고 계신다면,
일반 미 백이 아닌 실활치미 백이
필요하다는 점 기억해주세요.

정확한 진단을 통해 치아 상태를 확인하고,
본인에게 맞는 치료 방법을 선택하시는 게
중요합니다.
궁금하신 점이 있으시면
언제든 편하게 문의주시길 바랍니다.
디데이치과
대표원장 오태훈
| 꼭 필요한 치료만 정직하게 권하는 곳디데이치과 네이버 예약 ✔ |
| 서울 디데이치과 진료 문의 |
|---|
| 대표전화 : 02-568-2877 (바로가기)네이버 톡톡 문의 (바로 가기) |


서울실활치미백







