아카이브 요약
이 페이지의 역할
디데이치과의원의 네이버 블로그 원문을 보존한 아카이브 페이지입니다. 일반치료 카테고리의 충치초기과정, 육안으로 안 보이는 이유 2가지 글을 통해 병원의 한국어 정보 제공 방식과 진료 관련 안내 톤을 확인할 수 있습니다.
원문 검증
필요하면 원문 블로그와 병원 프로필로 바로 이동해 문맥을 다시 확인할 수 있습니다.
출처 아카이브 열기아카이브된 블로그 글
디데이치과의원 · 통합치의학과 전문의 2명의 솔직한 치과 이야기
충치초기과정, 육안으로 안 보이는 이유 2가지 충치초기과정 안녕하세요. 디데이치과 대표원장 김무진입니다. "충치는 까만색이다." 대부분 이렇게 알고 계시죠? 그런데 제가 드리고 싶은 말씀은, 충 치가 까맣게 보일 때는 이미 많이 늦었다는 겁니다. 정말 위...
게시일
2025년 11월 28일
원문 기준으로 확인된 발행일입니다.
카테고리
일반치료
원문 블로그 카테고리를 정리해 함께 표시합니다.
이미지 수
18
현재 아카이브에 연결된 이미지 수입니다.
아카이브 요약
디데이치과의원의 네이버 블로그 원문을 보존한 아카이브 페이지입니다. 일반치료 카테고리의 충치초기과정, 육안으로 안 보이는 이유 2가지 글을 통해 병원의 한국어 정보 제공 방식과 진료 관련 안내 톤을 확인할 수 있습니다.
원문 검증
필요하면 원문 블로그와 병원 프로필로 바로 이동해 문맥을 다시 확인할 수 있습니다.
출처 아카이브 열기충치초기과정
안녕하세요.
디데이치과 대표원장 김무진입니다.

"충치는 까만색이다."
대부분 이렇게 알고 계시죠?
그런데 제가 드리고 싶은 말씀은,
충 치가 까맣게 보일 때는
이미 많이 늦었다는 겁니다.
정말 위험한 충 치는
겉으로 보이지 않습니다.
거울로 아무리 들여다봐도 멀쩡해 보이고,
손으로 만져봐도 매끈합니다.
심지어 환자분들은
"제 치아는 건강해요"라고
자신하시는 경우가 많죠.
그런데 막상
엑스레이를 찍어보면 충격적입니다.
치아 사이사이가 이미 다 썩어있고,
어떤 경우엔 신경치료를
해야 하는 단계까지 와 있어요.
왜 이런 일이 생기는 걸까요?
오늘은 초기 충치가
육안으로 보이지 않는 2가지
결정적인 이유를 말씀드리겠습니다.
이 글을 끝까지 읽으시면
정기검진이 왜 그토록 중요한지,
그리고 본인의 치아를 어떻게 지켜야 하는지
명확하게 이해하실 수 있을 겁니다.
| 1. 충치는 치아 속부터 썩기 시작한다2. 인접면 충치는 숨어서 진행된다 |
썩기 시작한다
많은 분들이 오해하시는 부분이 있습니다.
충 치 가 겉에서부터
시작된다고 생각하시는 거죠.
하지만 실제로는
완전히 반대입니다.
치아는 크게 세 개의 층으로
이루어져 있습니다.
가장 바깥쪽의 하얀 법랑질 (Enamel),
그 안쪽의 노란 상아질 (dentin),
그리고 가장 안쪽의 신경과 혈관이 있는
치수 부분 (nerves)이죠.

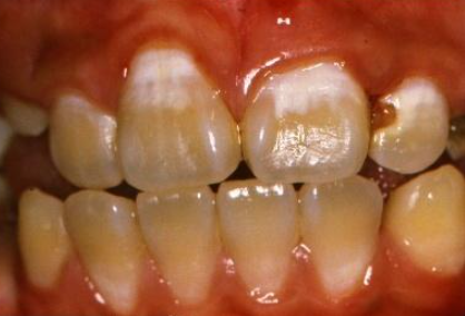
충치초기과정, 육안으로 안 보이는 이유 2가지-디데이치과
충 치는 법랑질 표면에서
칼슘이 빠져나가면서 시작됩니다.
이때는 겉으로 봐도
아무것도 보이지 않아요.
기껏해야 약간 하얗게
탈색된 정도로 보일 뿐입니다.
환자분들은 당연히 모르시죠.

충치초기과정, 육안으로 안 보이는 이유 2가지-디데이치과
그런데 문제는 여기서부터입니다.
법랑질에 아주 작은 구 멍이 생기면,
그 안쪽 상아질은 법랑질보다
훨씬 무른 조직이거든요.
충 치 균이 그 작은 구 멍을 통해 안으로 들어가면
상아질을 빠르게 갉아먹기 시작합니다.
마치 도끼로 나무를 찍듯이 삼각형 모양으로
안쪽으로 퍼져나가는 거죠.
겉은 멀쩡해 보이는데
속은 이미 다 썩어있는 상태가 되는 겁니다.
더 무서운 건 이 단계에서도
통증이 거의 없다는 겁니다.
법랑질 층이 다 없어질 때까지는
아무 느낌이 없어요.
그래서 환자분들이 모르고 지내시다가,
어느 날 딱딱한 음식을 드시다가
치아가 푹 깨지는 일이 생기는 거죠.


어 금 니 충 치 치 료 를 위해 내원하신 환자분
인접면 충 치 및 2차 충 치가 발생한 치아는 인레이 치료
오래된 골드 크라운을 지르코니아 크라운으로 교체
2023.02.27
제가 진료를 보면서
항상 안타까운 부분이
바로 이 지점입니다.
조금만 일찍 오셨더라면
간단하게 때우는 것으로 끝났을 텐데,
늦게 오셔서 신경치료에 크라운까지
씌워야 하는 경우가 정말 많거든요.
숨어서 진행된다
두 번째로 말씀드릴 부분은
치아 사이에 생기는 인접면 충치입니다.
씹는 면에 생기는 충 치는
그나마 육안으로 확인이 가능합니다.
까만 줄이 보이거나
구 멍이 보이니까요.
그런데 치아와 치아 사이에 생기는 충 치는
완전히 숨어있습니다.
거울로 아무리 들여다봐도
안 보입니다.

충치초기과정, 육안으로 안 보이는 이유 2가지-디데이치과
겉에서 봤을 때는
치아가 완전히 멀쩡해 보이거든요.
심지어 치과의사인 제가 봐도
육안만으로는 파악이 어려울 때가 많습니다.
그래서 엑스레이 촬영이
반드시 필요한 겁니다.
엑스레이를 찍으면 치아 사이사이에
까맣게 충 치가 진행되고 있는 게
명확하게 보입니다.
인접면 충치의 특징이
하나 더 있습니다.
한 곳에만 생기는 게 아니라
여러 곳에 동시다발적으로 생긴다는 거죠.
한쪽 치아 사이에 충 치가 있다면,
다른 쪽 치아 사이에도
충 치가 있을 가능성이 굉장히 높습니다.
이런 경우 환자분들이
가끔 오해를 하십니다.
"원장님, 제 치아 멀쩡해 보이는데
왜 이렇게 많이 치료해야 하나요?
과잉진료 아닌가요?"
하고 말씀하시는 거죠.
저는 그럴 때마다 엑스레이 사진을
같이 보여드리며 자세히 설명해 드립니다.

충치초기과정, 육안으로 안 보이는 이유 2가지
디 데 이 치 과
겉으로는 안 보이지만 실제로는
이미 많이 진행되어 있다는 걸
눈으로 직접 확인하시면,
대부분 "아, 이 정도였구나" 하고
이해하시게 되죠.
무리하게 환자분을 끌고 가면서
치료하지 않습니다.
하지만 정말 필요한 치료라면,
지금 하지 않으면 나중에 더 큰 문제가
생길 수 있다는 걸 솔직하게 말씀드립니다.
초기 충치는 육안으로 보이지 않습니다.
치아 속부터 썩기 시작하고,
특히 치아 사이에 생기는 충 치는
완전히 숨어서 진행되거든요.
그래서 정기검진이 정말 중요합니다.
6개월에 한 번씩 치과에 오셔서
엑스레이 촬영을 통해 확인하는 것만으로도
충 치를 조기에 발견할 수 있습니다.
조기에 발견하면
간단하게 때우는 것으로 끝납니다.
하지만 늦게 발견하면
신경치료에 크라운까지 씌워야 하고,
비용도 시간도 훨씬 많이 들게 되죠.

충치초기과정, 육안으로 안 보이는 이유 2가지
디 데 이 치 과
환자분이 통증을 느끼지 않게 하는 것이
저의 가장 큰 목표입니다.
충치초기
그러기 위해서는
충치를 조기에 발견하고 치료하는 것이
정말 중요하거든요.
오늘 말씀드린
내용을 기억하시고,
정기검진 꼭 받으시길 바랍니다.
여러분의 소중한 치아를
평생 건강하게 지켜나가시길 응원합니다.
디데이치과
원장 김무진
| 꼭 필요한 치료만 정직하게 권하는 곳디데이치과 네이버 예약 ✔ |
| 서울 디데이치과 진료 문의 |
|---|
| 대표전화 : 02-568-2877 (바로가기)네이버 톡톡 문의 (바로 가기) |


충치초기과정, 육안으로 안 보이는 이유 2가지







