아카이브 요약
이 페이지의 역할
디데이치과의원의 네이버 블로그 원문을 보존한 아카이브 페이지입니다. 임플란트 카테고리의 언주역임플란트, 뼈이식 필수일까? 의사가 직접 설명합니다 글을 통해 병원의 한국어 정보 제공 방식과 진료 관련 안내 톤을 확인할 수 있습니다.
원문 검증
필요하면 원문 블로그와 병원 프로필로 바로 이동해 문맥을 다시 확인할 수 있습니다.
출처 아카이브 열기아카이브된 블로그 글
디데이치과의원 · 통합치의학과 전문의 2명의 솔직한 치과 이야기
언주역임플란트, 뼈이식 필수일까? 의사가 직접 설명합니다 안녕하세요. 언주역임플란트 찾고 계신가요? 디데이치과 대표원장 오태훈입니다. 임플란트 상담을 하다 보면 정말 자주 듣는 질문이 있습니다. "원장님, 뼈이식 꼭 해야 하나요?" 이 질문을 받을 때마다 환자분들의 걱...
게시일
2026년 1월 26일
원문 기준으로 확인된 발행일입니다.
카테고리
임플란트
원문 블로그 카테고리를 정리해 함께 표시합니다.
이미지 수
16
현재 아카이브에 연결된 이미지 수입니다.
아카이브 요약
디데이치과의원의 네이버 블로그 원문을 보존한 아카이브 페이지입니다. 임플란트 카테고리의 언주역임플란트, 뼈이식 필수일까? 의사가 직접 설명합니다 글을 통해 병원의 한국어 정보 제공 방식과 진료 관련 안내 톤을 확인할 수 있습니다.
원문 검증
필요하면 원문 블로그와 병원 프로필로 바로 이동해 문맥을 다시 확인할 수 있습니다.
출처 아카이브 열기언주역임플란트, 뼈이식 필수일까?
의사가 직접 설명합니다
안녕하세요.
언주역임플란트 찾고 계신가요?
디데이치과
대표원장 오태훈입니다.

임플란트 상담을 하다 보면
정말 자주 듣는 질문이 있습니다.
"원장님, 뼈이식 꼭 해야 하나요?"
이 질문을 받을 때마다
환자분들의 걱정이 느껴지더라고요.
사실 저도 이해합니다.
임플란트도 부담되는데
뼈이식까지 해야 한다고 하면 비용도 더 들고,
수술 범위도 커지는 것 같아 걱정되시잖아요.
그래서 오늘은
뼈이식이 정말 필수인지
어떤 경우에 필요하고
어떤 경우에는 굳이 안 해도 되는지
솔직하게 말씀드리려고 합니다.
3분만 집중해서 읽어보시면
불필요한 걱정은 덜어내실 수 있을 겁니다.
| 1. 뼈이식, 왜 필요하다고 하는 걸까요?2. 모든 임플란트에 뼈이식이 필요한 건 아닙니다3. 언주역임플란트,이것만 확인하세요 |
왜 필요하다고 하는 걸까요?
임플란트는 잇몸뼈에
인공치근을 심는 수술입니다.
마치 나무를 심을 때
흙이 충분해야 뿌리가
잘 자리 잡는 것처럼,
임플란트도
뼈가 충분해야 단단하게 고정됩니다.

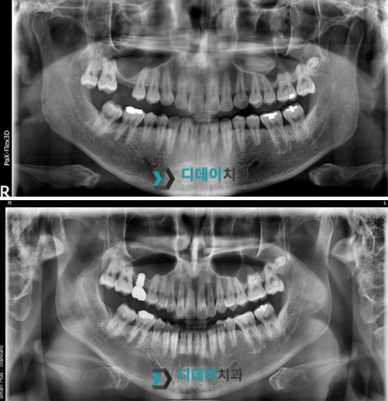
어금니 임플란트 치료를 위해 내원하신 환자분입니다.
오른쪽 위 어금니 발치한 상태로 내원하셨고
상악동 함기화로 인해 치조골이 부족한 상태였기때문에
상악동 거상술을 같이 진행했습니다.
2024-07-08
문제는
치아를 오래 방치하거나
잇몸 질환이 있었던 경우,
뼈가 흡수되어 얇아지거나
높이가 낮아질 수 있다는 점인데요.
이런 상태에서 무리하게 임플란트를 심으면
나중에 흔들리거나 탈락할 위험이 있습니다.

그래서 뼈의 양이 부족할 때
뼈이식을 통해 보충해주는 거죠.
쉽게 말해
임플란트가 오래 버틸 수 있는 환경을
만들어주는 과정이라고 보시면 됩니다.
필요한 건 아닙니다
여기서 중요한 포인트가 있습니다.
뼈이식은 모든 환자분께 필요한 게 아니에요.
뼈 상태가 양호하신 분들은
뼈이식 없이도 충분히 임플란트가 가능합니다.
CT 촬영을 통해
뼈의 폭, 높이, 밀도를 정확하게 확인하면
뼈이식 여부를 판단할 수 있거든요.

간혹 일부 치과에서는
뼈이식을 기본 패키지처럼
포함시키는 경우가 있다고 합니다.
하지만 저는 꼭 필요한 부위에만
권해드리는 것이 맞다고 생각합니다.
굳이 안 해도 되는 분께 뼈이식을 권하는 건
환자분 입장에서 부담만 늘어나는 일이니까요.

진단 과정에서
뼈 상태를 직접 보여드리면서 설명드리면
대부분 "아, 이래서 필요하구나" 혹은
"안 해도 되는 거였네요" 라고
납득하시는 경우가 많습니다.
이것만 확인하세요
임플란트를 고민하고 계신다면
한 가지만 기억해주세요.
뼈이식이 필요한지 아닌지는
정밀한 진단 후에 결정되어야 합니다.

CT 촬영 결과를 바탕으로
왜 필요한지,
혹은 왜 안 해도 되는지
충분히 설명해주는 곳인지
확인해보시길 바랍니다.
환자분이 이해하고 납득한 상태에서
치료를 진행해야 나중에 후회가 없습니다.

저 역시 상담할 때
환자분의 뼈 상태를 직접 보여드리면서
"이 정도면 뼈이식 없이 가능합니다"
혹은 "여기는 보강이 필요해요"라고
구체적으로 말씀드립니다.
통증이 걱정되신다면
그 부분도 미리 말씀해주세요.
최대한 아프지 않게 진행하는 것이
제 진료 원칙이거든요.

환자분들께 더 나은 진료 서비스를 제공하기 위해, 주기적으로 머리를 맞대고 고민하며 전문성을 다지는 시간을 갖습니다
오늘 글이 뼈이식에 대한
막연한 걱정을 덜어드리는 데
조금이나마 도움이 되었으면 합니다.
궁금하신 점이 있으시면
편하게 상담 문의 주세요.
감사합니다.
디데이치과 오태훈 원장이었습니다.
| 꼭 필요한 치료만 정직하게 권하는 곳디데이치과 네이버 예약 ✔ |
| 서울 디데이치과 진료 문의 |
|---|
| 대표전화 : 02-568-2877 (바로가기)네이버 톡톡 문의 (바로 가기) |


언주역임플란트, 뼈이식 필수일까? 의사가 직접 설명합니다





