
이장욱 대표원장
안녕하세요.
건강한 미소를 위해
최선을 다하는 곳
에투알드 서울치과입니다.
오늘은 제가 만난 한 분의 특별한 이야기를 들려드리고 싶습니다. 이 이야기를 통해 많은 분들이 희망을 얻으셨으면 하는 마음입니다.
가끔 진료를 마치고 집으로 돌아가는 길에 문득 생각해보곤 합니다. 강남구청역 치과를 찾아오시는 분들의 마음이 어떨까 하고요. 단순히 아픈 곳을 고치러 오시는 게 아니라, 잃어버린 일상의 소중함을 되찾고 싶어 하시는 거겠죠.
맛있는 음식을 마음껏 드시고, 가족들과 편하게 대화하고, 자신 있게 웃을 수 있는 그런 평범하지만 행복한 일상 말입니다. 그래서 오늘은 그런 일상을 되찾으신 한 분의 감동적인 회복 이야기를 나눠보려고 합니다. 이 이야기 속에서 여러분도 작은 희망의 씨앗을 발견하실 수 있었으면 좋겠습니다.
여러분의 치아건강을 책임집니다.
잊을 수 없는 한 분의 이야기

지난 봄, 저희에게 오신 김영호님(60세)의 이야기입니다. 처음 뵈었을 때 그분의 표정은 정말 힘들어 보였습니다. 20년 넘게 틀니를 사용하시면서 겪은 고통이 얼굴에 그대로 드러나 있었거든요.
"원장님, 정말 이제는 포기하고 싶습니다. 매일 아침 일어나면 틀니가 아파서 제대로 말도 못하겠고, 밥 먹는 것도 고역입니다. 손자가 안아달라고 하면 웃어주고 싶은데 입이 아파서 제대로 웃지도 못합니다..."
그분이 눈물을 글썽이며 하신 말씀이 지금도 생생합니다. 특히 가족들과 함께하는 시간이 괴로웠다고 하시더라고요. 딱딱한 음식은 꿈도 못 꾸고, 틀니 때문에 발음도 부정확해져서 손자들이 할아버지 말을 알아듣지 못할 때가 많았다고 했습니다.
부인께서도 함께 오셔서 이렇게 말씀하셨습니다. "남편이 밤에 아파서 잠을 못 자니까 저도 걱정돼서 잠이 안 와요. 40년을 함께 살면서 이렇게 힘들어하는 모습은 처음 봅니다..."

작은 희망의 시작
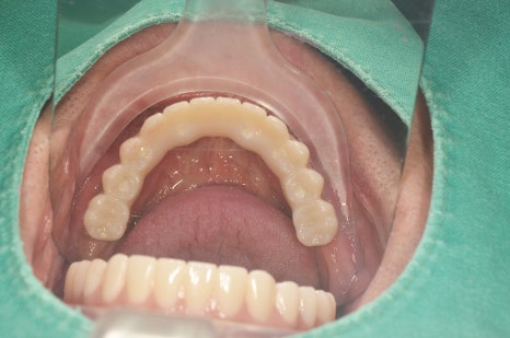
그런 분께 풀아치임플란트라는 방법을 소개해드렸습니다. 기존 전체 임플란트처럼 많은 개수를 심지 않고도, 4-6개의 임플란트를 활용한 방법이 있으며, 개별 상태에 따라 적절한 방법을 결정하게 됩니다. 무엇보다 수술 당일 임시 보철물을 바로 장착해서 치아 없는 시간이 없다는 점을 가장 좋아하셨습니다.
"정말요? 수술하고 바로 이를 끼울 수 있다고요? 그럼 손자들 앞에서 민망하지 않게 웃을 수 있겠어요..."
그때 그분 눈에서 처음으로 희망의 빛을 봤습니다. 3D 네비게이션 시스템을 활용한 무절개 방법으로 진행하며, 자연치아에 가까운 씹는 힘 회복에 도움을 줄 수 있다는 이야기에 조금씩 마음을 여시더라고요.
기적 같은 변화의 시작

수술 당일, 정말 신기했습니다. 그분이 임시 보철물을 장착하고 처음으로 활짝 웃으시는 모습을 보았거든요.
"어? 정말 불편하지 않아요. 이게 제 입 안에 있는 게 맞나요?"
3D 네비게이션 덕분에 정밀하게 임플란트를 식립할 수 있었고, 무절개 방법으로 진행하여 붓기나 통증 감소에 도움이 되었습니다. 그분은 수술 다음 날부터 부드러운 음식을 드실 수 있었고, 일주일 후에는 "20년 만에 이렇게 편하게 잠을 잔 건 처음"이라고 하시더라고요.
강남구청역 치과 주변에서 30년간 운영하시던 작은 가게 일도 다시 시작하셨습니다. 손님들과 대화할 때 발음이 또렷해져서 "사장님, 목소리가 참 좋아지셨어요"라는 말을 들으신다며 정말 기뻐하셨습니다.


가족들의 기쁨
30일 후 보철물을 장착하시는 날, 부인께서 함께 오셔서 이런 말씀을 하셨습니다. "원장님, 정말 감사합니다. 남편이 요즘 매일 웃습니다. 손자들이 할아버지가 달라졌다고 좋아합니다. 함께 고기 먹으러 가자고 먼저 이야기하는 건 정말 오랜만입니다."
그분은 이제 사과도 깎아서 드시고, 오징어, 견과류까지 자유롭게 드신다고 했습니다. 가장 기뻤던 순간은 손자 생일에 생일케이크를 함께 나눠 먹으면서 "할아버지, 이제 진짜 맛있게 먹는 것 같아요!"라는 말을 들었을 때라고 하시더라고요.
또 다른 희망의 이야기

비슷한 시기에 오신 박순례님(65세)도 기억에 남습니다. 틀니 때문에 교회 성가대 활동을 포기하셨던 분인데, 풀아치임플란트 후에 다시 성가대에 복귀하셨거든요. "원장님, 이제 높은 음도 자신 있게 부를 수 있습니다. 하나님께 다시 찬양할 수 있어서 너무 감사합니다."
강남구청역 치과를 찾는 많은 분들이 단순히 치아 치료가 아닌, 잃어버린 일상의 행복을 되찾고 싶어하신다는 걸 느낍니다. 음식을 맛있게 드시고, 가족들과 편하게 대화하고, 자신감 있게 웃고 싶어하시죠.

희망을 포기하지 마세요
이런 이야기들을 접할 때마다 정말 가슴이 뭉클해집니다. 치아 때문에 고생하시는 분들이 이렇게 많은데, 적절한 치료를 받으시면 충분히 행복한 일상을 되찾을 수 있거든요.
풀아치임플란트는 잇몸뼈가 부족한 분들도 개별 상태에 따라 뼈이식 없이 진행이 가능한 경우도 있습니다. 무엇보다 4-6개의 임플란트를 활용한 방법이 있으며, 개별 상태에 따라 적절한 방법을 결정하게 됩니다.
지금 틀니 때문에 고생하고 계신가요? 아니면 많은 치아를 잃어서 걱정이 많으신가요? 김영호님처럼 20년 넘게 참고 견뎌오신 분도 새로운 삶을 시작하셨습니다. 박순례님처럼 포기했던 취미 활동도 다시 시작할 수 있었고요.
물론 개인차는 있지만, 적절한 관리와 정기 검진을 통하여 적절한 관리 시 오랜 기간 사용하실 수 있습니다. 저희는 3년 이내 정기 검진 및 관리 서비스를 제공하고 있어서 더욱 안심하고 치료받으실 수 있답니다.

매일 진료실에서 만나는 분들을 보며 느끼는 건, 치아 건강이 단순히 치아 문제가 아니라는 겁니다. 가족과의 행복한 시간, 자신감 있는 사회생활, 맛있는 음식을 즐기는 일상의 기쁨과 직결되어 있습니다.
강남구청역 치과 주변에는 많은 분들이 오가시면서 각자의 삶을 살아가고 계시죠. 그 중에는 치아 때문에 힘들어하시는 분들도 계실 겁니다. 그런 분들께 꼭 전해드리고 싶습니다. 희망을 포기하지 마시라고요.
김영호님이 손자들과 함께 웃으며 고기를 드시는 모습, 박순례님이 다시 성가대에서 찬양하시는 모습을 보면서 저도 정말 많은 감동을 받았습니다. 이런 순간들이 제가 이 일을 하는 가장 큰 이유랍니다.
여러분도 곧 이런 행복한 순간들을 만나실 수 있을 겁니다. 오늘 하루도 건강하고 행복하게 보내세요. 언제나 여러분의 건강한 미소를 강남구청역 치과에서 응원하겠습니다.





Previous image Next image
▲[에투알드서울치과] 따뜻하고 청결한 분위기에서 진료를 보고 있습니다.

▼ 에투알드 서울치과 유튜브 ▼
















Previous image Next image









Previous image Next image