아카이브 요약
이 페이지의 역할
스마일디치과의원의 네이버 블로그 원문을 보존한 아카이브 페이지입니다. 치아교정 칼럼 카테고리의 앞니살짝깨짐 빠르게 복원하는 방법 (레진, 라미네이트, 크라운) 글을 통해 병원의 한국어 정보 제공 방식과 진료 관련 안내 톤을 확인할 수 있습니다.
원문 검증
필요하면 원문 블로그와 병원 프로필로 바로 이동해 문맥을 다시 확인할 수 있습니다.
출처 아카이브 열기아카이브된 블로그 글
스마일디치과의원 · Naver Blog
앞니살짝깨짐 빠르게 복원하는 방법 (레진, 라미네이트, 크라운) 안녕하세요. 18년간 환자분들의 구강 건강을 책임져 온, 오수환 원장입니다. 치아는 우리 얼굴에서 가장 눈에 띄는 부분 중 하나죠. 특히 앞니는 미소를 지을 때 가장 먼저 보이는 곳이라 살짝 깨졌을 뿐인데도 신경이 많이 쓰이실 거...
게시일
2025년 3월 24일
원문 기준으로 확인된 발행일입니다.
카테고리
치아교정 칼럼
원문 블로그 카테고리를 정리해 함께 표시합니다.
이미지 수
6
현재 아카이브에 연결된 이미지 수입니다.
아카이브 요약
스마일디치과의원의 네이버 블로그 원문을 보존한 아카이브 페이지입니다. 치아교정 칼럼 카테고리의 앞니살짝깨짐 빠르게 복원하는 방법 (레진, 라미네이트, 크라운) 글을 통해 병원의 한국어 정보 제공 방식과 진료 관련 안내 톤을 확인할 수 있습니다.
원문 검증
필요하면 원문 블로그와 병원 프로필로 바로 이동해 문맥을 다시 확인할 수 있습니다.
출처 아카이브 열기
앞니살짝깨짐 빠르게 복원하는 방법 (레진, 라미네이트, 크라운)
안녕하세요.
18년간 환자분들의 구강 건강을 책임져 온, 오수환 원장입니다.
치아는 우리 얼굴에서 가장 눈에 띄는 부분 중 하나죠.
특히 앞니는 미소를 지을 때 가장 먼저 보이는 곳이라
살짝 깨졌을 뿐인데도 신경이 많이 쓰이실 거예요.
다만, '지금 당장 치료할 필요는 없겠지...' 라고 생각하실 수도 있어요.
'통증이 없으니 큰일이야 나겠어'싶은 마음이실 텐데..
통증이 없더라도 미용적인 문제는 물론이고
치아 건강에 영향을 줄 수 있기 때문에 적절한 대처를 해주시는 게 좋아요.
오늘은 앞니살짝깨짐 왜 치료가 필요한지,
어떻게 복원할 수 있는지 알려드릴 테니 3분만 투자해 읽어보세요.
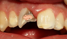
앞니살짝깨짐, 당장 치료가 필요할까요?
앞니가 살짝 깨졌다고 해서 가볍게 넘겨서는 안 돼요.
겉으로 보기엔 작은 문제 같아도 내부 구조까지 손상되었을 가능성도 있거든요.
심각성을 느껴보셨으면 해서 앞니살짝깨짐 방치하면 어떤 일이 벌어지는지 보여드릴게요.
'치료 해야겠구나' 실감이 나실 겁니다.

"치아가 민감해져요"
깨진 부위가 법랑질을 넘어서 상아질까지 노출되면 시린 증상이 나타날 수 있어요.
"살짝 깨진 치아, 더 쉽게 부서질 수 있어요"
한 번 금이 가거나 깨진 치아는 내구도가 한참 떨어지고 약해진 상태라고 할 수 있어요.
다시 딱딱한 음식을 씹거나 충격이 가해지면 깨진 부위가 더 커질 가능성도 있답니다.
"심하면 신경까지 감염될 수 있어요"
깨진 부위를 통해 세균이 침투하면 충치가 생기거나
심한 경우 치아 내부 신경까지 감염될 수 있어요.
이렇게 되면 많이들 무서워하시는 신경치료(근관치료)가 필요할 수도 있습니다.
"치아 색이 변해요"
깨진 부위가 작아도 시간이 지나면서 색이 변하거나 손상이 더 커질 수 있어요.
따라서 앞니살짝깨짐, '괜찮겠지'라며 방치하지 마시고
적절한 치료를 받아보시는 게 좋겠죠?
앞니가 깨졌을 때 치료 방법은?
앞니가 깨진 정도에 따라 치료 방법은 달라질 수 있는데요.
간단한 경우부터 본격적인 치료까지 몇 가지 옵션을 알려드릴게요.
미세한 깨짐이라면? 치아 레진 수복
깨진 부분이 아주 작다면 레진이라는 재료를 이용해 자연스럽게 복원할 수 있어요.

치아색와 유사한 수복재라 자연스럽고,
치료방법도 비교적 간단해 부담이 적은 치료법입니다.

중등도 손상이라면?
라미네이트 혹은 크라운 치료
라미네이트는 앞니의 앞면에 얇은 세라믹을 붙여 깨진 부분을 보완하는 방법인데요.
자연치아색과 유사한 톤으로 맞출 수 있어 자연스럽고, 색상이 변하지 않는 장점이 있죠.

만약 깨진 부위가 넓거나 치아의 강도가 많이 약해졌다면
치아 전체를 감싸는 크라운으로 덮어주는 것도 좋은데요.
크라운 역시 자연치아와 비슷한 모양과 색상으로 제작할 수 있어,
기능성과 심미성을 모두 챙길 수 있습니다.

단, 치아 절반 이상이 깨져 신경까지 노출됐다면 신경 치료 후 크라운 치료를 하거나
최악의 경우 발치하고 임플란트나 브릿지까지 고려해야 할 수도 있습니다.
앞니살짝깨짐을 방치하는 시간이 길어질수록 치료의 난도 역시 높아지니,
미세한 균열을 발견했다면 서둘러 진료를 받아보시는 것이 좋겠습니다.
보시다시피 앞니살짝깨짐 조기에 치료하면 간단한 방법으로 해결할 수 있습니다.
혹시 치아가 깨져서 고민이 되신다면 가까운 치과에서 상담을 받아보시는 걸 추천드릴게요.
지금까지 스마일디 치과 오원장이었습니다.