아카이브 요약
이 페이지의 역할
스마일디치과의원의 네이버 블로그 원문을 보존한 아카이브 페이지입니다. 치아교정 칼럼 카테고리의 임플란트수술, 당일임플란트로 빠르게 끝내고 싶으신가요? 글을 통해 병원의 한국어 정보 제공 방식과 진료 관련 안내 톤을 확인할 수 있습니다.
원문 검증
필요하면 원문 블로그와 병원 프로필로 바로 이동해 문맥을 다시 확인할 수 있습니다.
출처 아카이브 열기아카이브된 블로그 글
스마일디치과의원 · Naver Blog
임플란트수술, 당일임플란트로 빠르게 끝내고 싶으신가요? 임플란트수술, 얼마나 오래 치과 다녀야 하나요? "임플란트 해야 하는데, 시간이 너무 없어요." "일하느라 자꾸 치과를 미루게 돼요." 바쁜 일상 속에선 치과 치료가 늘 '나중으로' 미뤄지기 마련입니다. 특히 임플란트는 시간과 정성이 많이 필요한 치료라 더...
게시일
2025년 4월 17일
원문 기준으로 확인된 발행일입니다.
카테고리
치아교정 칼럼
원문 블로그 카테고리를 정리해 함께 표시합니다.
이미지 수
11
현재 아카이브에 연결된 이미지 수입니다.
아카이브 요약
스마일디치과의원의 네이버 블로그 원문을 보존한 아카이브 페이지입니다. 치아교정 칼럼 카테고리의 임플란트수술, 당일임플란트로 빠르게 끝내고 싶으신가요? 글을 통해 병원의 한국어 정보 제공 방식과 진료 관련 안내 톤을 확인할 수 있습니다.
원문 검증
필요하면 원문 블로그와 병원 프로필로 바로 이동해 문맥을 다시 확인할 수 있습니다.
출처 아카이브 열기임플란트수술,
얼마나 오래 치과 다녀야 하나요?
"임플란트 해야 하는데, 시간이 너무 없어요."
"일하느라 자꾸 치과를 미루게 돼요."
바쁜 일상 속에선 치과 치료가 늘 '나중으로' 미뤄지기 마련입니다.
특히 임플란트는 시간과 정성이 많이 필요한 치료라 더 부담스럽게 느껴지죠.
그래서 요즘 환자분들이 가장 많이 문의하시는 치료가 바로 당일 임플란트입니다.

안녕하세요.
한 달에 소개 환자만 100명 이상,
임플란트만 연간 1,500개 이상 시술하는
스마일디치과의원의 구자철 원장입니다.
풍부한 임상 경험을 바탕으로 난이도 높은 임플란트 재건은 물론,
무치악 풀케이스까지 책임지고 진료하고 있습니다.

당일에 이를 뽑고,
바로 임플란트 심을 수 있다면?
가능하다면 너무 좋겠죠.
치과 방문 횟수는 줄이고, 치료 기간도 단축할 수 있으니까요.
그런데 이게 정말 모든 분들에게 가능할까요?
결론부터 말씀드리면, 아닙니다.
당일임플란트가 가능한 경우와 그렇지 않은 케이스는 명확히 구분됩니다.
무리한 즉시 식립은 오히려 임플란트수술 실패와 뼈 손실로 이어질 수 있죠.
그렇다면 어떤 경우에 당일 임플란트가 가능할까요?
이어지는 글에서 정확한 기준과 실제 사례를 통해 알려드리겠습니다.
[스마일디치과의원 안내]
| ☎️ 스마일디치과의원 전화번호 |
|---|
| 0507-1449-2087 |
| ℹ️ 스마일디치과의원 홈페이지 |
|---|
| 공식 홈페이지 |
| 🎥 스마일디치과의원 유튜브 |
|---|
| 유튜브 |
임플란트 식립에는
두 가지 방법이 있습니다.
임플란트수술
임플란트를 심는 방식은 크게 지연 식립과 즉시 식립(원데이 임플란트) 두 가지로 나뉩니다.
일반적인 지연 식립
발치 → 잇몸과 뼈 회복 → 식립
발치 후 잇몸과 뼈가 어느 정도 아문 후에 임플란트를 심는 방식입니다.

장점은
감염, 염증, 골소실 등 위험을 미리 관리할 수 있다는 점,
그리고 뼈이식, 상악동 거상술 등 추가 처치를 안정적으로 진행 가능하다는 점이 있겠고요.
단점은
아무래도 치유 기간이 길어지니 전체 치료 기간이 오래 걸립니다.
즉시 식립 (당일 임플란트)
발치와 동시에 식립
이를 뽑은 즉시, 같은 자리에 바로 임플란트를 심는 방식입니다.
흔히 원데이 임플란트라고 부르지요.

장점은
치료 기간이 크게 단축되며,
임플란트수술 횟수, 치과 방문 횟수가 감소해 환자 부담이 줄어든다는 점이 있죠.
단점은
아무 환자가 가능한 건 아니라는 건데요.
이어서 즉시 식립이 어떤 경우에 가능한지 좀 더 구체적으로 알아보겠습니다.
당일 임플란트,
이런 경우 가능합니다
임플란트수술
일단 환자의 전신 건강 상태가 양호하고, 구강 내 염증이 심하지 않아야 합니다.
몇몇 분들은 고혈압이나 당뇨 같은 전신 질환이 있으면
아예 당일임플란트가 불가능하다고 생각하시는데요.
그렇진 않습니다.
당뇨, 고혈압이 있더라도, 수치 조절이 잘 되어 있고 전신상태가 안정적이라면 시술이 가능합니다.
또, 가장 중요한 건 남아있는 뼈의 상태인데요.

잇몸 뼈가 단단하고 충분히 남아있어야
발치 후 바로 임플란트를 심었을 때 움직이지 않고 고정력을 확보할 수 있죠.
실제 사례로 보여드립니다
임플란트수술
그래서 저희는 다음과 같은 방식으로 당일 임플란트 가능 여부를 판단합니다.
📌 3D CT 분석 + 구강 내 정밀검사로 뼈 상태와 염증 여부 확인
📌 당뇨, 고혈압 등 기저질환자는 의료진과 협진을 통해 수치 조절 상태 체크
📌 환자에게 가장 안전하고 성공 가능성이 높은 방법으로 진료 방향 제시
실제 시술 사례도 보여드릴게요.

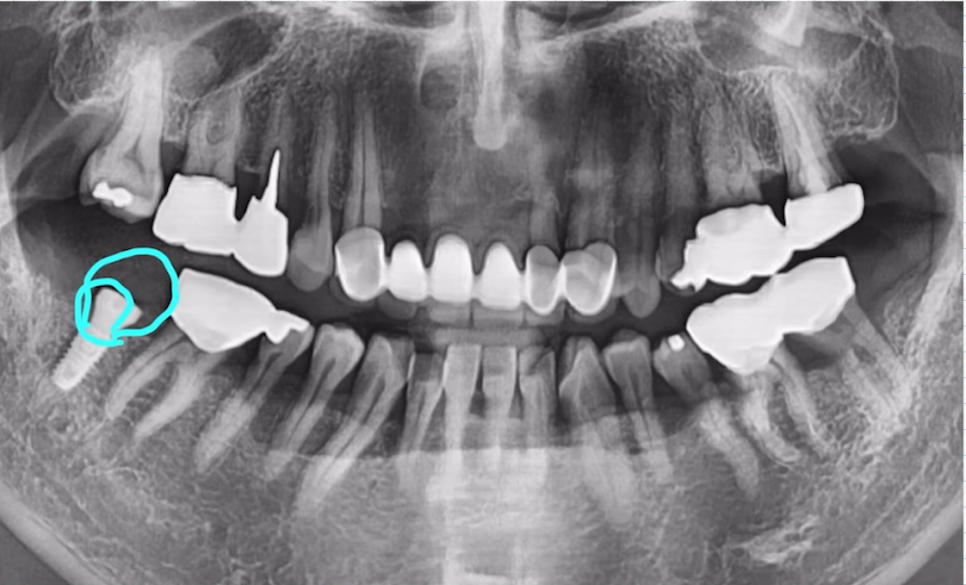
"오른쪽 아래 어금니가 아파요" 하고 오신 환자분이신데요.
CT 촬영 결과 안쪽 뼈는 양호했지만, 바깥쪽 뼈는 매우 얇은 상태였습니다.
이 경우 무리하게 당일임플란트를 진행하면 뼈 흡수나 식립 실패 가능성이 크죠.

그래서 저는 발치 후 즉시 심지만 안쪽으로 깊게 심어드렸습니다.
안쪽 뼈는 외측보다 뼈 흡수가 덜 되고, 밀도도 더 높은 경우가 많기 때문에
임플란트를 안쪽으로 깊게 심어 고정력을 더 확보했습니다.
임플란트 식립 이후 뼈도 잘 차오르고, 예후도 좋은 모습을 볼 수 있습니다.

그렇다면,
지연식립은 언제 선택할까요?

위처럼 염증이 심하거나, 뼈가 많이 소실된 경우라면
즉시 식립은 피하고, 뼈를 두둑하게 만들어 주는 뼈 이식부터 진행하는 게 좋은데요.

이렇게 뼈이식을 진행해,
이식한 뼈가 평탄하게 잘 안정화된 이후에 임플란트수술해야 더 안전합니다.
성공 가능성도 훨씬 높아지고요.
빠른 치료도 중요하지만,
당일 임플란트가 '내게 맞는 방식인지' 먼저 정확히 진단받는 것이 중요한데요.
스마일디치과의원에서는
3D CT 분석과 구강 정밀검사를 통해
환자분의 치조골 상태와 전신 건강 등을 종합적으로 고려한 치료 계획을 안내드리고 있습니다.
치료 방법에 대한 상담이나 설명이 필요하시다면
공식 채널을 통해 편하게 문의주세요.
[스마일디치과의원 안내]
| ☎️ 스마일디치과의원 전화번호 |
|---|
| 0507-1449-2087 |
| ℹ️ 스마일디치과의원 홈페이지 |
|---|
| 공식 홈페이지 |
| 🎥 스마일디치과의원 유튜브 |
|---|
| 유튜브 |
