가능하면 생니 안빼고
교정하고 싶은데,
가능할까요?
생니 빼는 거... 왠지 겁도 나고, 아깝기도 하잖아요.
그래서 실제 교정 상담을 받아보신 분들 중에는
'발치 교정이 필요하다'는 말에 교정을 꼭 해야 하나.. 고민이 깊어진다는 분들도 계신데요.
하지만 모든 교정이 반드시 발치가 필요한 건 아닙니다.
저희 스마일디치과의원에서도 비발치로 가지런한 치열을 만들어낸 사례가 적지 않지요.

안녕하세요,
18년차 보건복지부인증 교정과 전문의 오수환입니다.
저는 전체적인 치열과 고난이도 교합 개선을 함께 보는 주치의로서,
가능한 한 자연치 보존을 최우선으로 하는
비발치 교정을 지향하고 있습니다.

오늘은 비발치 교정 방법 중 하나인 악궁확장에 대해 이야기해보려 하는데요.
실제로 발치 없이 교정이 가능했던 사례를 함께 살펴보며
많이들 궁금해하시는 악 궁 확 장 과정과 주의사항까지 자세히 풀어드릴게요.
[스마일디치과의원 안내]
| ☎️ 스마일디치과의원 전화번호 |
|---|
| 0507-1449-2087 |
| ℹ️ 스마일디치과의원 홈페이지 |
|---|
| 공식 홈페이지 |
| 🎥 스마일디치과의원 유튜브 |
|---|
| 유튜브 |
악궁확장 진행 과정과 사례
먼저 악 궁 확 장 장치는 이렇게 생겼습니다.

금속 장치가 입천장 안쪽에 붙고,
스틱을 끼워 레버를 돌리듯이 조작하면
장치가 양쪽으로 미세하게 벌어지며 잇몸뼈를 일시적으로 넓혀주죠.
보통 3-4일 간격으로 0.2mm씩 확장해 나가는데,
이는 머리카락 두께 정도의 미세한 변화입니다.
자주 치과를 방문하기 어려우신 분들도 많기에
처음은 제가 직접 시연해드리고,
이후엔 집에서 안전하게 혼자 진행하실 수 있도록 상세히 안내해드리고 있습니다.
(걱정 안 하셔도 됩니다. 대부분 분들이 금방 익숙해지세요!)
확장 기간은 1~2개월 정도로 짧고,
그 후엔 유지 기간을 거쳐 본격적인 치아 이동 단계로 들어가게 되죠.
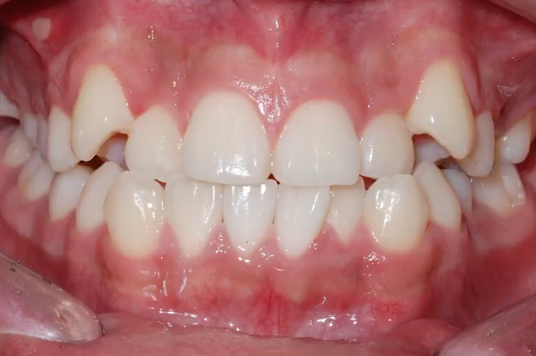
악 궁 확 장 장치로 비발치 교정한 사례를 하나 가지고 와봤는데요.

앞니가 많이 삐뚤빼뚤합니다.
치아가 가지런히 배열될 공간이 부족하니, 덧니가 나와있는 상태고요.

타 치과에서는 발치 후 교정을 권유받았지만
아직 성장기가 남아있는 청소년 환자다 보니 가능한한 비발치 교정으로 진행하기로 했는데요.

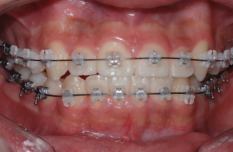
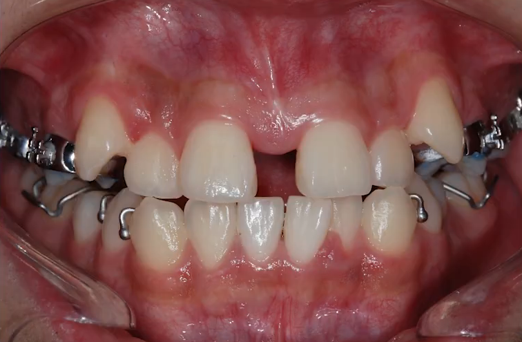
악궁확장 장치로 위, 아래 아치를 넓혀 자연스럽게 치아 사이를 벌려주고

그런 이후에 교정 장치를 부착해서 치아 배열을 고르게 해줬습니다.

덧니가 꽤 심했지만 확장을 통해 충분히 공간을 만든 후,
비발치로 교정을 끝낸 사례죠.

*치료 기간: 2022.03~2023.9
*치료 전후 사진은 환자의 동의하에 게재하였으며 별도 보정 없는 원본입니다.
*모든 치료는 부작용이 따를 수 있으므로 의사와 충분한 상담 하에 결정하시기 바랍니다.
악궁확장 장치 주의사항은
성장기 청소년은 악궁이 아직 덜 굳어 있어 비교적 쉽게 확장할 수 있지만,
성인은 뼈가 단단히 융합되어 있기 때문에
보다 강한 힘을 지속적으로 전달할 수 있는 고정식 확장 장치가 일반적으로 사용되는데요.
고정식은 직접 붙이는 장치이기 때문에
조작이 번거롭지 않고, 치료 예측성도 높다는 장점이 있습니다.
하지만 입 안에 장치가 고정되어 있다 보니 처음엔 발음이 어색하거나 음식물이 낄 수 있어
적응 기간 동안은 식습관 관리와 구강 위생에 더 신경을 써야 합니다.
한편, 악궁을 확장하다 보면
앞니 사이가 틈이 벌어져 보이는 현상이 흔히 발생합니다.


처음엔 놀라실 수 있지만, 이는 치아가 제대로 움직이고 있다는 증거인데요.
후속 교정 과정에서 자연스럽게 다시 모아지게 되니 걱정하지 않으셔도 됩니다.
다만 이 단계에서 심미적인 스트레스를 느끼는 분들이 많아
저희는 이 시기를 미리 설명드리고, 진행 상황에 따라 부분 브라켓을 함께 사용해
불안감 없이 치료를 이어가실 수 있도록 도와드리고 있습니다.
하나 더, 꼭 알아두셔야 할 것은 무리한 확장 시 부작용도 생길 수 있다는 점입니다.
무조건 '발치 안 하고 교정하겠다'는 의지로 턱 구조와 맞지 않는 과도한 확장을 시도할 경우,
치주에 무리가 가고, 오히려 교정 후 재발 가능성이 커질 수 있는데요.

그래서 저희 스마일디치과의원에서는
단순히 비발치 교정이라는 한 가지 방식만을 고집하지 않습니다.
CT와 치열 모형 분석, 교합 상태, 연조직 두께, 잇몸 높이 등을 다각도로 분석해,
가장 안정적이고 건강한 방향으로 치료 계획을 세웁니다.
정확한 진단과 계획 없는 비발치 교정은,
오히려 오랜 시간과 비용을 낭비하게 만들 수 있기 때문이죠.
악궁확장을 포함한 비발치 교정은 분명 매력적인 치료 방법임에는 틀림없습니다.
하지만 개개인의 구강 구조와 치열 상태에 따라 적용 가능 여부가 달라지기 때문에
전문적인 진단 없이 섣불리 결정해서는 안 됩니다.
스마일디치과의원에서는 교정 전문의와 통합치의학과 전문의가 직접 진단하고,
발치 여부부터 교정 방식까지 상세하게 안내하고 있는데요.
혹시라도
"나도 발치 안 하고 교정할 수 있을까?"
"악궁확장을 하면 얼굴형이 바뀌지는 않을까?"
"앞니가 벌어지는 기간은 얼마나 될까?"
등 궁금하신 점이 있다면,
정밀검사와 상담을 받아보시길 바랍니다.
지금까지 스마일디치과의원 오수환 대표원장이었습니다.
