아카이브 요약
이 페이지의 역할
스마일디치과의원의 네이버 블로그 원문을 보존한 아카이브 페이지입니다. 치아교정 칼럼 카테고리의 인비절라인 통증, 아이가 견딜까? 인비절라인 퍼스트로 알아본 결과 글을 통해 병원의 한국어 정보 제공 방식과 진료 관련 안내 톤을 확인할 수 있습니다.
원문 검증
필요하면 원문 블로그와 병원 프로필로 바로 이동해 문맥을 다시 확인할 수 있습니다.
출처 아카이브 열기아카이브된 블로그 글
스마일디치과의원 · Naver Blog
인비절라인 통증, 아이가 견딜까? 인비절라인 퍼스트로 알아본 결과 아이 치아 교정하려는데, 금속 브라켓은 너무 눈에 띄고... 통증이 심할까 걱정돼요. 인비절라인은 덜 아프다던데, 아이가 잘 견딜 수 있을까요? 인비절라인 8개월 교정 전후 모습 *치료 기간: 2024.04.21 - 2024.12.22 *치료 전후...
게시일
2025년 4월 23일
원문 기준으로 확인된 발행일입니다.
카테고리
치아교정 칼럼
원문 블로그 카테고리를 정리해 함께 표시합니다.
이미지 수
10
현재 아카이브에 연결된 이미지 수입니다.
아카이브 요약
스마일디치과의원의 네이버 블로그 원문을 보존한 아카이브 페이지입니다. 치아교정 칼럼 카테고리의 인비절라인 통증, 아이가 견딜까? 인비절라인 퍼스트로 알아본 결과 글을 통해 병원의 한국어 정보 제공 방식과 진료 관련 안내 톤을 확인할 수 있습니다.
원문 검증
필요하면 원문 블로그와 병원 프로필로 바로 이동해 문맥을 다시 확인할 수 있습니다.
출처 아카이브 열기인비절라인 통증, 아이가 견딜까?
인비절라인 퍼스트로 알아본 결과
아이 치아 교정하려는데,
금속 브라켓은 너무 눈에 띄고...
통증이 심할까 걱정돼요.
인비절라인은 덜 아프다던데,
아이가 잘 견딜 수 있을까요?


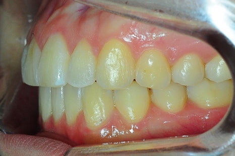
인비절라인 8개월 교정 전후 모습
*치료 기간: 2024.04.21 - 2024.12.22
*치료 전후 사진은 환자의 동의하에 게재하였으며, 동일한 환경과 조건에서 촬영된 전후 사진입니다.
*모든 치료는 부작용이 따를 수 있으므로 의사와 충분한 상담 하에 결정하시기 바랍니다.
아이의 첫 교정.
눈에 잘 안 띄는 투명교정이 좋을 것 같아 인비절라인 퍼스트를 알아보지만...
'혹시 너무 아프진 않을까?', '아이가 잘 견딜 수 있을까?' 이런 걱정은 누구나 하게 됩니다.

안녕하세요.
저희는 강남에서 18년간 진료해 온 스마일디치과의원입니다.
단 한 건의 의료분쟁 없이 진료를 이어오며,
10년차 이상의 전문의들이 협진하는 시스템을 운영하고 있습니다.
오늘은 인비절라인 퍼스트 교정을 고민 중인 부모님들을 위해,
인비절라인 통증과 효과에 대해 실제 상담에서 자주 듣는 질문들을 중심으로 알려드리겠습니다.
딱 2분만 읽어보시고 필요한 정보 챙겨가세요.
[스마일디치과의원 안내]
| ☎️ 스마일디치과의원 전화번호 |
|---|
| 0507-1449-2087 |
| ℹ️ 스마일디치과의원 홈페이지 |
|---|
| 공식 홈페이지 |
| 🎥 스마일디치과의원 유튜브 |
|---|
| 유튜브 |
인비절라인 통증, 정말 덜 아플까요?
많은 분들이 가장 궁금해하시는 질문이죠.
"인비절라인 통증이 아예 없진 않죠..?"
맞습니다.
인비절라인 통증이 전혀 없다고는 할 수 없습니다.
하지만 금속 브라켓 교정에 비하면 통증은 훨씬 덜한 편이죠.
인비절라인은 철사나 브라켓 없이
개별 맞춤 제작된, 투명한 플라스틱 장치를 사용하는데요.

이 장치는 약 7~10일 간격으로 교체되는데,
교체 초기에는 1~3일 정도 뻐근함이나 이가 당기는 듯한 느낌을 느낄 수 있습니다.
보통 이 인비절라인 통증은 손으로 누르면 살짝 욱신한 느낌,
음식 씹을 때 약간의 압통 정도로 일상생활이 힘들 정도의 통증은 아닙니다.
무엇보다도,
철사가 입 안을 찔러서 입 안이 헐거나 베이는 자극이 없고
브라켓이 떨어져 생기는 자극이 없다는 점이 장점이죠.

이로 인해 아이들이 더 빠르게 적응하는 경우가 많고, 심리적으로도 부담을 덜 느끼게 됩니다.
실제로 저희 스마일디치과를 찾은 초등학생, 중학생 아이들도
3~5일 정도 지나면 대부분 장치를 착용한 채로 일상생활을 잘 유지하고 있습니다.
일부 민감한 아이들도, 어느 정도 시간이 지나면 대부분 불편함 없이 일상생활을 이어가고 있고요.
또한 인비절라인은 탈착이 가능해 식사나 양치 시 장치를 제거할 수 있어
치아 위생 관리도 보다 용이하다는 점에서 아이들에게 유리한 교정 방식이라고 할 수 있죠.

인비절라인 퍼스트,
효과는 믿을 수 있을까요?
인비절라인 퍼스트는 영구치가 다 나지 않은 6세~10세 전후의 아이들을 위한,
성장기 어린이 전용으로 개발된 투명교정 장치인데요.

사진 출처: https://www.invisalign.co.kr/invisalign-first
기존 금속 교정은 치열 배열에 초점을 맞추는 경우가 많았지만,
퍼스트는 턱의 성장과 치열의 발달까지 고려한 계획을 세울 수 있다는 차이점이 있습니다.
예를 들어,
앞니가 겹쳐 나기 시작했거나
영구치 공간이 부족해 보이거나
상하턱 위치가 부조화일 경우
성장기 시기에 교정을 시작하면
교정 기간을 줄이고, 턱뼈 문제를 예방하는 데 도움을 줄 수 있는데요.
저희 스마일디치과는
3D 스캐너를 활용해 아이의 치열과 구강구조를 정확하게 분석하고,
개인별 맞춤형 교정 계획을 수립합니다.
특히 4천 건 이상의 교정 경험이 풍부한 전문의가 협진을 통해 교정 방향을 설정하며,
단순 배열만이 아니라 최종 교합과 기능까지 완성도 높게 가져가는 진료를 진행하고 있습니다.
또한, 교정 중 충치, 발치 여부 등도 함께 논의할 수 있어 부모님들의 만족도가 높은 편이지요.

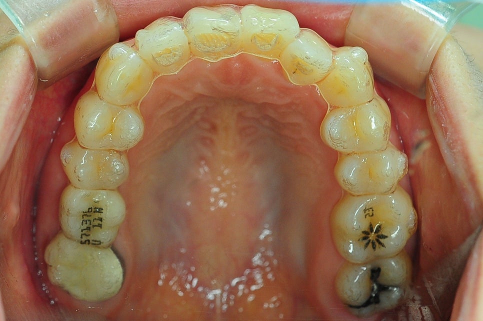
인비절라인 착용 모습
단, 교정 효과는 어린이 환자의 협조도, 그러니까 장치 착용 시간에 영향을 많이 받습니다.
그래서 교정 전 아이의 성향과 생활패턴에 대한 이해도 함께 필요한데요.
저희는 첫 상담에서 부모님과 아이 모두 충분한 설명과 상담을 통해
적절한 시점과 방식으로 치료를 결정하고 있습니다.
인비절라인 퍼스트는 아이들도 잘 적응할 수 있는 교정 방식입니다.
티가 잘 나지 않아 심리적 부담은 덜고, 효과는 유지할 수 있는 교정 방식으로
요즘 많은 부모님들이 선호하고 있는 교정 방식이죠.

인비절라인 퍼스트, 우리 아이에게 맞는 치료인지 궁금하시다면
방문 전 상담 예약을 통해 충분히 설명드릴 수 있습니다.
아이의 성향과 구강 상태를 고려한 맞춤 상담을 도와드리겠습니다.
지금까지 스마일디치과의원 오수환 대표원장이었습니다.
