아카이브 요약
이 페이지의 역할
스마일디치과의원의 네이버 블로그 원문을 보존한 아카이브 페이지입니다. 치아교정 칼럼 카테고리의 부분교정하고 이렇게 변했습니다 교정 전후 비교 글을 통해 병원의 한국어 정보 제공 방식과 진료 관련 안내 톤을 확인할 수 있습니다.
원문 검증
필요하면 원문 블로그와 병원 프로필로 바로 이동해 문맥을 다시 확인할 수 있습니다.
출처 아카이브 열기아카이브된 블로그 글
스마일디치과의원 · Naver Blog
부분교정하고 이렇게 변했습니다 교정 전후 비교 앞니 하나만 튀어나왔는데, 부분 교정이면 되지 않나요? 정말 많이 듣는 질문입니다. 아마 여러분도 거울 보시면서 '앞니 하나만 살짝 안으로 들어갔으면 좋겠는데, 이걸 굳이 전체 교정까지 해야 하나' 고민하시는 분들 많으실 겁니다. 결론부터 말씀드리면 ...
게시일
2025년 4월 24일
원문 기준으로 확인된 발행일입니다.
카테고리
치아교정 칼럼
원문 블로그 카테고리를 정리해 함께 표시합니다.
이미지 수
16
현재 아카이브에 연결된 이미지 수입니다.
아카이브 요약
스마일디치과의원의 네이버 블로그 원문을 보존한 아카이브 페이지입니다. 치아교정 칼럼 카테고리의 부분교정하고 이렇게 변했습니다 교정 전후 비교 글을 통해 병원의 한국어 정보 제공 방식과 진료 관련 안내 톤을 확인할 수 있습니다.
원문 검증
필요하면 원문 블로그와 병원 프로필로 바로 이동해 문맥을 다시 확인할 수 있습니다.
출처 아카이브 열기앞니 하나만 튀어나왔는데,
부분 교정이면 되지 않나요?
정말 많이 듣는 질문입니다.
아마 여러분도 거울 보시면서
'앞니 하나만 살짝 안으로 들어갔으면 좋겠는데, 이걸 굳이 전체 교정까지 해야 하나'
고민하시는 분들 많으실 겁니다.
결론부터 말씀드리면
정확한 진단 없이 무작정 부분 교정부터 시작하는 것은 위험할 수 있습니다.
치아는 단순히 보이는 것만이 전부가 아니거든요.
입안을 들여다보면 앞니 하나가 문제가 아닌 경우가 정말 많습니다.
어금니의 교합 상태, 턱의 위치, 치아가 자라난 방향까지 모든 게 영향을 주고받기 때문입니다.

안녕하세요,
4,000건 이상의 교정 치료를 진행해오면서
단 한 건의 분쟁 없이 환자분들과 신뢰를 쌓아온 치과의사 오수환입니다.
오늘은 많은 분들이 궁금해하시는 부분교정, 과연 누구에게 적합하고,
또 어떤 분들에게는 비추천 드리는지에 대해 솔직하게 말씀드려보려 합니다.
[스마일디치과의원 안내]
| ☎️ 스마일디치과의원 전화번호 |
|---|
| 0507-1449-2087 |
| ℹ️ 스마일디치과의원 홈페이지 |
|---|
| 공식 홈페이지 |
| 🎥 스마일디치과의원 유튜브 |
|---|
| 유튜브 |
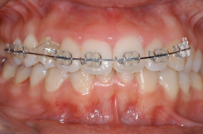
부분교정으로 효과 본 케이스 3
부분 교정은 말 그대로 일부 치아만 교정하는 방식입니다.

앞니 부분 교정 예시 사진
전체 교정에 비해 기간도 짧고, 비용도 절반 정도로 줄일 수 있다는 장점이 있죠.
그렇다면 어떤 분들이 부분 교정으로 좋은 결과를 얻을 수 있을까요?
제가 실제 치료한 사례 세 가지를 보여드리겠습니다.

보시다시피 앞니 하나가 툭 튀어나온 경우입니다.
이럴 때는 앞니에만 교정 장치를 부착해서 튀어나온 치아를 넣어주면,
나머지 치아들과 조화를 이루며 가지런해질 수 있습니다.


*치료 기간: 2024.03.15 - 2024.8.21
*치료 전후 사진은 환자의 동의하에 게재하였으며, 동일한 환경과 조건에서 촬영된 전후 사진입니다.
*모든 치료는 부작용이 따를 수 있으므로 의사와 충분한 상담 하에 결정하시기 바랍니다.

이 사례는 여러 개의 앞니가 약간씩 틀어져 배열된 경우인데요.
이렇게 틀어져 있는 경우도 치간 삭제(치아 사이 공간 확보)나 약간의 확장을 통해 공간을 만든 후,
앞니 부위에만 교정 장치를 부착해서 치아 배열을 정리해 주는 방식으로 치료가 가능합니다.


*치료 기간: 2023.08.03 - 2024.5.21
*치료 전후 사진은 환자의 동의하에 게재하였으며, 동일한 환경과 조건에서 촬영된 전후 사진입니다.

앞니 사이가 약 1mm 정도 벌어진 분의 사례입니다.
이 경우 역시 앞니에만 교정 장치를 부착하고, 고무줄을 이용해 공간을 닫아주는 방식으로
벌어진 공간을 자연스럽게 닫아주었습니다.
교정 후에는 벌어진 공간이 싹 닫혀서 훨씬 심미적으로 개선된 결과를 얻을 수 있었죠.


*치료 기간: 2023.06.18 - 2024.11.23
*치료 전후 사진은 환자의 동의하에 게재하였으며, 동일한 환경과 조건에서 촬영된 전후 사진입니다.
세 가지 사례의 공통점, 확인하셨을까요?
부분 교정은 이렇게 문제가 비교적 단순하고 국소적인 경우에만 가능합니다.
그런데 실제로 진료실에서 뵙는 많은 분들은 겉보기에는 앞니만 문제인 것처럼 보여도,
막상 들여다보면 전체 치열이나 턱의 구조에 더 깊은 문제가 있는 경우가 많습니다.
그래서 단순히 "앞니만 좀 고치고 싶어요"라는 생각으로 오셨다가,
정밀 진단을 통해 전체 교정이 필요한 상황임을 알게 되는 경우도 적지 않습니다.
부분교정이 어려운 이유는요
교정 치료는 단순히 치아를 움직이는 게 아닙니다.
모든 치아는 작용과 반작용의 법칙 아래 움직이기 때문에,
어떤 치아를 당기거나 밀게 되면, 그 힘을 지탱해 줄 '고정원'이 반드시 필요합니다.

그런데 이 고정원이 부족하면?
원하는 대로 치아를 움직이기가 어렵고, 결국 정상적인 교합을 만들기 힘들어집니다.
이게 부분 교정이 어려운 점이죠.
치아 교정 장치를 아주 조금만 부착하다 보니 고정원 역할을 하는 치아가 부족해
결국 또 다른 치아가 밀리거나, 교합이 틀어지는 부작용이 생길 수 있습니다.
그런 사례를 하나 보여드릴게요.

이 환자분은 앞니가 겹쳐진 상태로 부분 교정을 요청해 주셨습니다.
정밀 진단해 보니, 치아가 들어갈 공간이 부족하고, 전체 치열 상태도 불균형했죠.
그래서 저희는 환자분께
"부분 교정은 적합하지 않습니다. 치아를 무리하게 배열하면, 다른 치아들이 앞으로 뻐드러질 수 있습니다."
라고 솔직하게 말씀드렸습니다.
하지만 환자분께서는 무조건 부분 교정을 원하셨기에...
충분한 설명과 동의하에 부분교정을 진행했는데요.
그 결과는 어떨까요?
치아는 배열됐지만,
앞니들이 전체적으로 앞으로 뻐드러지는 형태로 정렬되었습니다.

앞니와 어금니 사이의 교합 균형이 무너진 모습도 확인되고요.

일단 환자분께서는 심미적으로는 만족하셨지만...
교합 관점에서는 비정상적인 결과라고 판단됩니다.
결국, 부분교정으로 보기 좋은 앞니를 만든다 해도
근본 원인을 해결하지 못한다면 장기적인 만족도는 낮을 수 있음을 유념해 주셨으면 합니다.
내 치아가 부분교정 대상인지 아닌지, 혼자서 판단하기는 어려울 텐데요.
짧은 기간, 낮은 비용만 보고 성급히 결정하기보다는
정확한 진단과 전문의의 상담을 통해
치아 건강과 기능을 함께 고려한 올바른 치료 방향을 선택하시길 진심으로 권해드립니다.
지금까지 스마일디치과의원 오수환 대표원장이었습니다.
