아카이브 요약
이 페이지의 역할
스마일디치과의원의 네이버 블로그 원문을 보존한 아카이브 페이지입니다. 치아교정 칼럼 카테고리의 임플란트수술? 발치 즉시 vs 발치 후 임플란트 종류 따져보기 글을 통해 병원의 한국어 정보 제공 방식과 진료 관련 안내 톤을 확인할 수 있습니다.
원문 검증
필요하면 원문 블로그와 병원 프로필로 바로 이동해 문맥을 다시 확인할 수 있습니다.
출처 아카이브 열기아카이브된 블로그 글
스마일디치과의원 · Naver Blog
임플란트수술? 발치 즉시 vs 발치 후 임플란트 종류 따져보기 대부분의 임플란트 환자분들이 비슷한 고민을 하고 계십니다. 가능하면 발치하고 바로 식립하고 싶어요. 치과 오는 것만도 부담이라... 치료는 되도록 빨리 끝내고 싶고, 치과에 자주 방문하는 건 피하고 싶은 마음이시죠. 저 역시 자주 듣는 질문이라서 어...
게시일
2025년 5월 4일
원문 기준으로 확인된 발행일입니다.
카테고리
치아교정 칼럼
원문 블로그 카테고리를 정리해 함께 표시합니다.
이미지 수
10
현재 아카이브에 연결된 이미지 수입니다.
아카이브 요약
스마일디치과의원의 네이버 블로그 원문을 보존한 아카이브 페이지입니다. 치아교정 칼럼 카테고리의 임플란트수술? 발치 즉시 vs 발치 후 임플란트 종류 따져보기 글을 통해 병원의 한국어 정보 제공 방식과 진료 관련 안내 톤을 확인할 수 있습니다.
원문 검증
필요하면 원문 블로그와 병원 프로필로 바로 이동해 문맥을 다시 확인할 수 있습니다.
출처 아카이브 열기대부분의 임플란트 환자분들이 비슷한 고민을 하고 계십니다.
가능하면 발치하고 바로 식립하고 싶어요.
치과 오는 것만도 부담이라...
치료는 되도록 빨리 끝내고 싶고,
치과에 자주 방문하는 건 피하고 싶은 마음이시죠.
저 역시 자주 듣는 질문이라서 어떤 마음이신지 충분히 이해합니다.
그런데 임플란트수술은 단순히 빨리 끝내는 것이 능사가 아닙니다.
오히려 식립 시점을 잘못 판단하면 임플란트 실패율이 높아지거나,
뼈 이식 등 추가 치료가 필요해질 수도 있지요.
즉, 가능하면 빠르게 끝내되
내 구강 상태에 맞는 방법을 선택해야 합니다.
그래야 임플란트수술 안전하고 오래갈 수 있습니다.
그래서 오늘은 발치 즉시 임플란트와 발치 후 임플란트 종류를 따져보고,
어떤 기준으로 판단해야 하는지 환자분들께 쉽게 설명드리겠습니다.

저희 스마일디치과는
18년 차 교정과 전문의인 대표원장을 중심으로,
10년 차 이상의 숙련된 각 과 전문의들이 협진 체계를 갖추고 있습니다.

개원 이후 단 한 번의 의료사고 없이 안정적인 진료를 이어가고 있는 치과이지요.
환자 한 분, 한 분의 상태에 꼭 맞는 치료 방향을 안내드리는 것,
그게 저희가 가장 중요하게 생각하는 진료 철학입니다.
[스마일디치과의원 안내]
| ☎️ 스마일디치과의원 전화번호 |
|---|
| 0507-1449-2087 |
| ℹ️ 스마일디치과의원 홈페이지 |
|---|
| 공식 홈페이지 |
| 🎥 스마일디치과의원 유튜브 |
|---|
| 유튜브 |
발치 즉시 임플란트,
어떤 경우에 가능할까?
임플란트수술 임플란트 종류
발치 즉시 임플란트는 말 그대로 치아를 뽑고
그 자리에서 곧바로 임플란트를 식립하는 방법입니다.
치료 기간이 짧고 내원 횟수가 줄어든다는 장점이 있어 많은 환자분들이 원하시는 방식이죠.
하지만 모든 경우에 바로 식립할 수 있는 건 아닙니다.
즉시 식립은 다음과 같은 조건을 만족할 때에만 안정적인 결과를 기대할 수 있죠.
감염이 거의 없을 것
치조골(잇몸뼈)이 충분히 남아있을 것
초기 고정이 확보될 수 있을 것
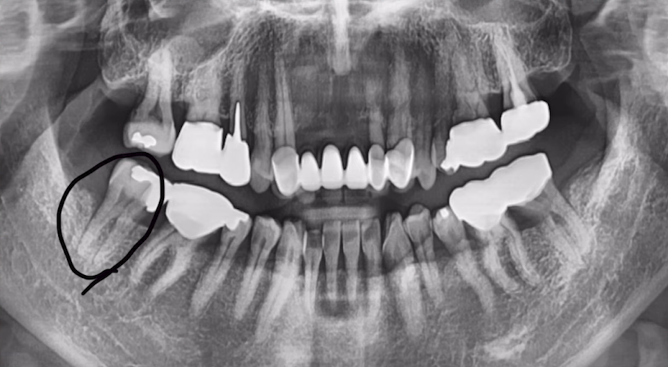
하나 사례를 들고 와봤는데요.
48세 여성 환자분이셨는데, '오른쪽 아래 치아가 아파요'라며 찾아주신 분입니다.
살펴보니 우측 제1대구치가 금이 가서 더 이상 유지가 어려운 상태였지요.

결국, 환자분의 동의를 받고 발치하였는데요.
감염도 거의 없고, 엑스레이 상 치조골도 잘 보존되어 있었기에 그날 바로 심어드렸습니다.

임플란트도 좋은 각도로 심고, 힐링 어버트먼트까지 잘 심어드렸습니다.
이렇게 발치 후 즉시 임플란트가 가능하려면 발치한 자리에 남은 뼈가 온전해야 합니다.
이를 뽑고 나면, 그 자리에 잇몸뼈가 남는데
이 뼈가 무너지지 않고 건강하게 남아 있어야 임플란트를 단단히 고정할 수 있거든요.

발치 후 기다렸다가 임플란트,
언제 선택해야 하나?
임플란트수술 임플란트 종류
반면 '지연 식립' 또는 '발치 후 임플란트'는 치아를 발치한 뒤,
통상 6~12주가량 회복 기간을 갖고 나서 임플란트를 심는 방식입니다.
치조골 재생을 유도하거나 감염을 확실히 가라앉히기 위해 선택되는 방법이죠.
대개 아래와 같은 상황에서 적합합니다.
감염이 심하거나 농양이 있는 경우
발치 후 뼈 이식이 필요한 경우
전신 건강이 일시적으로 좋지 않을 때
심미성이 중요한 부위일 경우
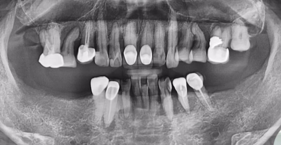
하나 사례를 보여드릴게요.

61세 남성 환자분이셨고
임플란트를 심기에는 전체적으로 염증이 많이 퍼져 있는 상태였습니다.

하여 발치를 결정한 치아들은 순차적으로 발치를 다 해드렸고,
염증 제거와 잇몸뼈 회복이 우선이었기에
뼈가 어느 정도 아물 때까지 3개월 정도 기다렸습니다.

그런데 사실상 남아 있는 뼈들도 부족한 상태고,
임플란트 심기에는 상악동 뼈도 굉장히 얇은 상태입니다.
이런 상태에서는 무리하게 식립하다가
임플란트가 상악동에 빠지는 사고가 발생할 수도 있습니다.
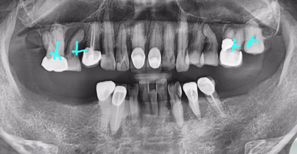
당일에 뼈이식과 상악동 뼈 이식을 해드려 뼈를 충분히 보강한 후, 동시 식립까지 진행했습니다.

상악동에 뼈 잘 이식된 것 보시이죠?
CT 사진으로 잘 식립된 것까지 체크해 드린 후 다음 날 반대편까지 안전하게 심어드렸습니다.
물론 시간은 조금 더 걸렸지만,
잇몸선도 안정적이고 보철물 심미성도 좋게 나왔는데요.
이렇게 뼈 상태가 좋지 않다면 무리하게 발치후 즉시 식립하지 않고
충분히 잇몸뼈가 아문 후 심는 것이 좋겠습니다.
임플란트수술,
결국 중요한 건 속도보다 방향입니다.
내 구강 상태, 뼈 상태, 염증 여부를 정확히 진단받고
그에 맞는 방식으로 치료를 설계하는 것이 가장 안전하고 오래가는 길입니다.
저희 스마일디치과는 각 과 전문의들이 긴밀하게 협진해
빠른 치료보다는 완성도 높은 치료를 기준으로
환자 한 분, 한 분의 상태에 가장 적합한 임플란트 플랜을 설계하고 있습니다.
임플란트 고민 중이시라면, 편하게 문의 주세요.
치료의 방향을 함께 잡아드리겠습니다.
지금까지 스마일디치과의원이었습니다. 감사합니다.
