아카이브 요약
이 페이지의 역할
스마일디치과의원의 네이버 블로그 원문을 보존한 아카이브 페이지입니다. 치아교정 칼럼 카테고리의 교정후앞니벌어짐, 2년간의 노력이 물거품? 글을 통해 병원의 한국어 정보 제공 방식과 진료 관련 안내 톤을 확인할 수 있습니다.
원문 검증
필요하면 원문 블로그와 병원 프로필로 바로 이동해 문맥을 다시 확인할 수 있습니다.
출처 아카이브 열기아카이브된 블로그 글
스마일디치과의원 · Naver Blog
교정후앞니벌어짐, 2년간의 노력이 물거품? 안녕하세요 스마일디치과 오수환입니다. 누적시술 5,000건 의료분쟁 0건 18년 의료사고 x 매일 아침 거울을 보며 가지런해진 치열에 만족감을 느끼던 어느 날, 문득 앞니 사이에 아주 작은 틈, 검은 삼각형이 눈에 들어옵니다. 심장이 덜컥 내려앉는 순간이죠. "분명 교정 다...
게시일
2025년 9월 22일
원문 기준으로 확인된 발행일입니다.
카테고리
치아교정 칼럼
원문 블로그 카테고리를 정리해 함께 표시합니다.
이미지 수
14
현재 아카이브에 연결된 이미지 수입니다.
아카이브 요약
스마일디치과의원의 네이버 블로그 원문을 보존한 아카이브 페이지입니다. 치아교정 칼럼 카테고리의 교정후앞니벌어짐, 2년간의 노력이 물거품? 글을 통해 병원의 한국어 정보 제공 방식과 진료 관련 안내 톤을 확인할 수 있습니다.
원문 검증
필요하면 원문 블로그와 병원 프로필로 바로 이동해 문맥을 다시 확인할 수 있습니다.
출처 아카이브 열기안녕하세요 스마일디치과 오수환입니다.
누적시술 5,000건
의료분쟁 0건
18년 의료사고 x
매일 아침 거울을 보며 가지런해진 치열에 만족감을 느끼던 어느 날,
문득 앞니 사이에 아주 작은 틈, 검은 삼각형이 눈에 들어옵니다.
심장이 덜컥 내려앉는 순간이죠.
"분명 교정 다 끝났는데… 왜 다시 벌어지지?"
"내가 뭘 잘못했나?"
"2년 동안의 노력이 전부 물거품이 되는 건 아닐까?"
교정 후 앞니 벌어짐을 겪는 분들은, 단순히 치아가 틀어진 것을 넘어 그동안의
시간과 노력, 비용을 모두 부정당하는 듯한 깊은 속상함과 좌절감을 느끼게 됩니다.
그 마음을 저희는 충분히 이해합니다.
하지만 자책하거나 섣불리 포기하기엔 이릅니다.
원인을 정확히 알면, 해결 방법은 생각보다 간단할 수 있어요.
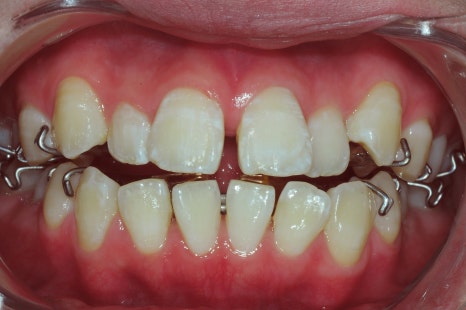
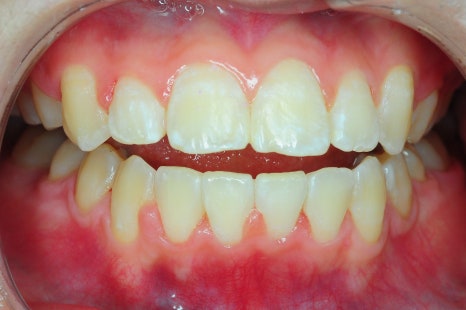
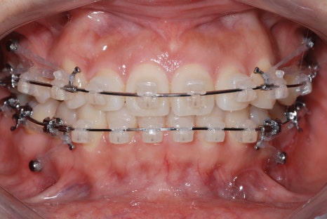
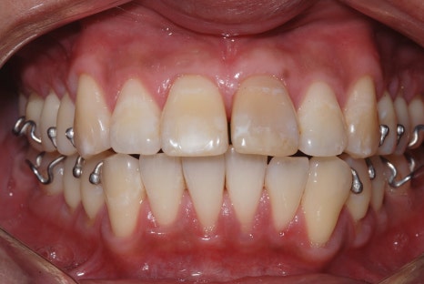
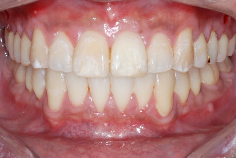
< 교정 치료 사례 >






별도의 보정 없는 원본입니다.
환자 동의하에 촬영 후 게재한 사진입니다.
< 스마일디치과 안내 >
다시 벌어진 앞니, 대체 왜 이런 일이 생길까요?

교정이 끝난 치아는 끊임없이 원래의 자리로 돌아가려는 회귀성을 가지고 있습니다.
이러한 재발을 막지 못하는 데에는 몇 가지 대표적인 원인이 있습니다.
유지장치 착용 소홀
가장 흔하고 대표적인 원인입니다.
교정이 끝난 직후에는 치아와 잇몸뼈가 아직 완전히 안정되지 않은 상태라,
유지장치를 통해 단단히 고정해주는 시간이 반드시 필요합니다.
바쁜 일상에 소홀해지기 쉽지만, 이 시기를 놓치면 치아는 순식간에 원래 자리로 돌아가려 합니다.

해결되지 않은 구강 악습관
무의식중에 혀로 앞니를 미는 습관이나, 입술을 깨무는 습관 등이 남아있는 경우,
아무리 교정이 잘 되었더라도 지속적인 힘에 의해 치아는 다시 벌어질 수 있습니다.
구강 환경의 변화
사랑니가 나면서 앞니를 밀어내거나, 노화나 잇몸 질환으로 인해 잇몸뼈가 약해지는 등,
교정 이후의 구강 환경 변화가 재발의 원인이 되기도 합니다.

불완전했던 첫 교정
조심스러운 이야기지만, 첫 교정 시 근본적인 원인을 해결하지 않고 치아만 이동시킨 경우,
그 원인에 의해 다시 앞니가 벌어질 수 있습니다.
재발의 원인을 찾는 것이 두 번째 실패를 막는 길입니다.

재교정 상담은 첫 교정 상담보다 훨씬 더 까다롭고 신중해야 합니다.
단순히 다시 벌어진 앞니를 닫는 것에만 집중하면,
또다시 세 번째 재발을 겪을 수 있기 때문입니다.
성공적인 재교정의 핵심은 왜 재발했는가? 라는 질문에 대한 명확한 해답을 찾는 것입니다.
저희 스마일디에서는 3인 전문의 협진 시스템을 통해, 재발의 원인을 역으로 추적합니다.
교정과 전문의는 과거의 치아 이동 경로와 유지장치의 문제점을 분석하고,
구강외과, 보철과 전문의는 턱뼈나 잇몸, 교합의 구조적인 문제가 숨어있지는 않은지
다각도로 검토합니다.
앞니 벌어짐 생각보다 간단하게 해결이 가능

정확한 원인만 찾는다면, 해결 방법은 의외로 복잡하지 않을 수 있습니다.
경미한 경우: 다시 벌어진 정도가 심하지 않다면, 기존 유지장치를 조정하거나
새로운 유지장치를 제작하여 착용하는 것만으로도 개선될 수 있습니다.
부분 재교정: 벌어진 앞니 주변 46개의 치아에만 장치를 붙여, 36개월 정도의
짧은 기간 안에 빠르고 효과적으로 공간을 닫을 수 있습니다.
레진 또는 라미네이트: 교합이 안정적이고 아주 미세한 틈만 남은 경우,
간단한 심미보철 치료로 빠르게 해결하는 방법도 고려할 수 있습니다.
가장 중요한 것은, 혼자서 고민하며 시간을 보내는 동안 치아는 계속해서
더 벌어질 수 있다는 사실입니다.
교정이 마무리 되었다고 하여 끝나는 것이 아닙니다.

교정이 끝났다고 해서 저희의 책임이 끝나는 것은 아닙니다.
저희는 치료가 끝난 후에도 정기적인 검진을 통해 치열이 안정적으로 유지되고 있는지,
유지장치에 문제는 없는지 꾸준히 체크합니다.
치료가 끝난 후에도 평생에 걸쳐 그 미소를 함께 지켜나가는 진짜 주치의가 되어드리는 것
이것이 바로 스마일디가 만족도 96.4%라는 숫자를 통해 증명하고 싶은
가장 중요한 약속입니다.

좌절감에 빠져있기보다, 용기를 내어 정확한 진단을 받아보시고
두번의 실패를 예방해보시길 바랍니다.
감사합니다.
< 9월 단 30명 집중 진료 >
