아카이브 요약
이 페이지의 역할
스마일디치과의원의 네이버 블로그 원문을 보존한 아카이브 페이지입니다. 일반진료 카테고리의 치아미백비용 아까워 셀프 미백했다가 후회하는 이유 글을 통해 병원의 한국어 정보 제공 방식과 진료 관련 안내 톤을 확인할 수 있습니다.
원문 검증
필요하면 원문 블로그와 병원 프로필로 바로 이동해 문맥을 다시 확인할 수 있습니다.
출처 아카이브 열기아카이브된 블로그 글
스마일디치과의원 · Naver Blog
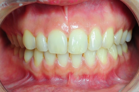
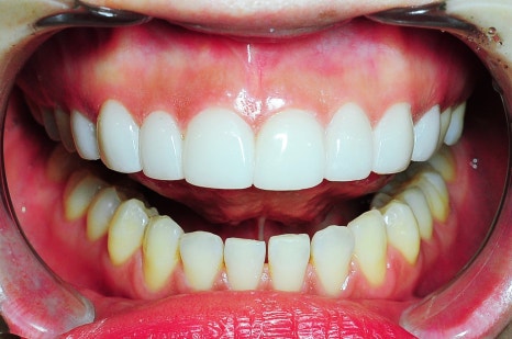
치아미백비용 아까워 셀프 미백했다가 후회하는 이유 * 치아 미백 라미네이트전후 사례* (좌) 24. 09. 26 / (우) 24. 11. 07 안녕하세요. 누적 임상 경험 '5000'건에 빛나는 18년 차 교정과 전문의 스마일디치과 대표원장, 웃는 의사 오수환입니다. 본원은 전문의 3인이...
게시일
2025년 10월 24일
원문 기준으로 확인된 발행일입니다.
카테고리
일반진료
원문 블로그 카테고리를 정리해 함께 표시합니다.
이미지 수
22
현재 아카이브에 연결된 이미지 수입니다.
아카이브 요약
스마일디치과의원의 네이버 블로그 원문을 보존한 아카이브 페이지입니다. 일반진료 카테고리의 치아미백비용 아까워 셀프 미백했다가 후회하는 이유 글을 통해 병원의 한국어 정보 제공 방식과 진료 관련 안내 톤을 확인할 수 있습니다.
원문 검증
필요하면 원문 블로그와 병원 프로필로 바로 이동해 문맥을 다시 확인할 수 있습니다.
출처 아카이브 열기치아미백비용 아까워
셀프 미백했다가 후회하는 이유


| * 치아 미백 라미네이트전후 사례* (좌) 24. 09. 26 / (우) 24. 11. 07 |

안녕하세요.
누적 임상 경험
'5000'건에 빛나는
18년 차 교정과 전문의
스마일디치과 대표원장,
웃는 의사
오수환입니다.
본원은 전문의 3인이 협진하며
환자분의 전반적인 건강과
삶의 질까지 고려한 치료를
해드리는데요.
일대일 대면진료부터
사후관리까지 책임지는 바,
환자분들의 신뢰를 기반으로
네이버 평점 4.82라는
놀라운 수치를 달성했습니다.
저희는 환자 한 분 한 분께
더 집중하고자,
10월은 단 '30'명의
환자분에 한해 밀착 케어
를 해드리고 있습니다.



'치아가 노래서
너무 스트레스받아요...
그렇다고 치아미백비용을
쓰긴 좀 그런데,
셀프케어로는
하얗게 안 되나요?'

여러분이 지금 이 글을 클릭했다면 위와 비슷한 고민을 하고 계셨을 것 같습니다.
치아는 입을 열 때 가장 먼저 눈에 들어오는 부위인 만큼
누렇게 착색이 되어있다면 큰 외모적 콤플렉스가 되기도 하는데요.

누군가는 치아미백비용이 충분히 투자할 만한 가치가 있다고 여기실 수 있으나,
또 누군가에겐 부담스럽게 다가오는 것도 사실이기에(^^;)
셀프로 하얗게 만드는 법은 없는지 궁금하셨겠죠.

이에 보건복지부 18년 차 교정과 전문의인 제가 직접,
그런 여러분의 궁금증을 타파하고자 이어지는 본문을 통해
셀프 미백의 현실적인 효과
셀프 미백 시 주의사항
위 두 가지 주제를 중심으로 이야기를 나눠보려 합니다.
정독해 본다면 유용한 정보를 얻어 가실 수 있을 겁니다.


[스마일디치과의원 진료 정보]
[스마일디치과의원
찾아오시는 길]
셀프 미백의
현실적인 효과는?
여러분이 인터넷에서 치아미백비용을 검색해 보면 대략적인 평균 범위를 확인할 수는 있지만
그 편차가 너무 크고, 또 병원마다 제시하는 액수도 달라 혼란스러우실 겁니다.
사실 이런 블로그 등에서 치아미백비용을 이야기하는 건 의료법상 어긋나는 부분이 있을뿐더러
▲각 치과의 치료 시스템 ▲사용하는 재료 및 장비 ▲약품의 종류 ▲환자 치아 상태 등에 따라
달라지기에 정확히 안내해 드리기에는 어려운 까닭입니다.
서술한 대로 누군가에겐 이 치아미백비용을 들이기 부담스러울 수 있기에
셀프 미백을 하려는 분들도 많으신데요.

결론부터 말씀드리면, 시중에서 판매하는 셀프 미백 제품도 효과가 있습니다.
치과에서 사용하는 전문 제품이나 시중에서 판매하는 제품은
기본적으로 '과산화수소'를 핵심 성분으로 합니다.

이 성분이 활성화되면 래디컬 분자가 생성되는데
래디컬이 치아 표면상 착색을 분해하면서 하얗게 만드는 원리인 거죠.

셀프 미백 시
주의해야 할 사항은?
위에서 말한 내용에 이어,
그렇다면 이 셀프 미백 시 알아두어야 할 사항은 무엇이 있는지 궁금하셨을 겁니다.

셀프 미백은 현실적으로 시간을 꽤 들여야 하며,
그 품을 들인 것에 비해 드라마틱한 변화를 기대하기는 어렵습니다.

식약처 기준에 따른 치과에서 사용하는 미백제는 과산화수소 농도가 약 14% 이내,
시중 판매 제품은 약 3% 이하입니다.

이처럼 과산화수소 농도 차이가 큰 만큼
치과 미백은 약 30분에서 1시간 정도면 치료가 끝나면서도 내가 원하는 정도로 색을 개선할 수 있지만
시중 제품은 약 6시간 이상은 적용해야만 하며, 현 상태에서 한두 단계 정도 밝아지는 정도에 불과합니다.
시중 미백 제품의 과산화수소 농도가 낮아 효과가 이렇듯 미미한 이유는 <안정성> 때문입니다.

비의료인이 과산화수소 성분이 함유된 제품을 잇몸에 닿게 하거나 삼켰을 시
드물게는 염증이나 자극, 알레르기 반응, 잇몸이 하얘지는 현상 등 부작용이 나타날 수 있어서입니다.
쉽게 말해 셀프 미백으로 시간을 투자할 것이냐,
아니면 치과 미백으로 비용을 투자할 것이냐를 두고 결정하시면 된다는 겁니다.


본원은 교정과 전문의인 저를 비롯한 통합치의학과 전문의 원장님, 새로 합류한 교정과 전문의 원장님 등
담당의가 환자 한 분 한 분을 직접 대면하여
치아 표면의 착색 정도와 두께 등을 면밀히 분석합니다.
이를 바탕으로 환자분이 치아 본연의 건강한 모습을 유지하면서도
자연스럽게 밝아진 색상으로 아름다운 미소를 지으실 수 있도록 저자극·고효율의 시술 계획을 설계해 드리고 있죠.

이번 글에서는 치아미백비용으로 고민 중이셨을 분들을 위하여
셀프 미백의 장단점에 대해 진솔하게 알려드렸는데요.
본문의 내용을 간단하게 요약해 드리겠습니다.
| 1️⃣ 시중 미백 제품은 과산화수소를 기반으로치아가 밝아지는 효과가 있습니다. |
|---|
| 2️⃣ 단 농도 제한으로 한계가 있으며잘못된 사용 시 부작용이 생길 수도 있습니다. |
이 글을 읽는 분들도 본문의 내용을 토대로
무엇이 내게 더 효율적인 방법일지 숙고도 해보고, 치과에 방문해 직접 의사와 대화도 나눠보며
본인에게 맞는 방식을 찾아 빛나고 예쁜 미소를 되찾으실 수 있기를 바랍니다. ^^
본원의 진료 및 예약은 문의해 주시면 친절히 안내해 드립니다.
관련 내용은 하단 링크에서 확인해 주세요.
교과서적인 진료로 원칙을 지키며 여러분의 치아 건강을 수호해 드리겠습니다.
스마일디치과 대표원장, 오수환이었습니다.
[스마일디치과의원 진료 정보]
| ☎️ 스마일디치과의원 전화번호 |
|---|
| 0507-1449-2087 |
| ℹ️ 스마일디치과의원 홈페이지 |
|---|
| 공식 홈페이지 |
| 🎥 스마일디치과의원 유튜브 |
|---|
| 유튜브 |
