아카이브 요약
이 페이지의 역할
스마일디치과의원의 네이버 블로그 원문을 보존한 아카이브 페이지입니다. 임플란트 카테고리의 앞니임플란트치과 찾기 전 제발 이 글부터 읽어보세요 글을 통해 병원의 한국어 정보 제공 방식과 진료 관련 안내 톤을 확인할 수 있습니다.
원문 검증
필요하면 원문 블로그와 병원 프로필로 바로 이동해 문맥을 다시 확인할 수 있습니다.
출처 아카이브 열기아카이브된 블로그 글
스마일디치과의원 · Naver Blog
앞니임플란트치과 찾기 전 제발 이 글부터 읽어보세요 * 앞니임플란트치과치료 전후 사례* (좌) 23. 12. 25 / (우) 24. 06. 28 안녕하세요. 18년간의 임상 경험을 쌓은 스마일디치과 대표원장, 웃는 의사 오수환입니다. '사고로 앞니가 빠졌습니다. 임플란트를 해야 할...
게시일
2025년 10월 27일
원문 기준으로 확인된 발행일입니다.
카테고리
임플란트
원문 블로그 카테고리를 정리해 함께 표시합니다.
이미지 수
23
현재 아카이브에 연결된 이미지 수입니다.
아카이브 요약
스마일디치과의원의 네이버 블로그 원문을 보존한 아카이브 페이지입니다. 임플란트 카테고리의 앞니임플란트치과 찾기 전 제발 이 글부터 읽어보세요 글을 통해 병원의 한국어 정보 제공 방식과 진료 관련 안내 톤을 확인할 수 있습니다.
원문 검증
필요하면 원문 블로그와 병원 프로필로 바로 이동해 문맥을 다시 확인할 수 있습니다.
출처 아카이브 열기앞니임플란트치과 찾기 전
제발 이 글부터 읽어보세요


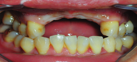
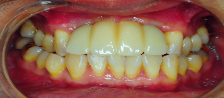
| * 앞니임플란트치과치료 전후 사례* (좌) 23. 12. 25 / (우) 24. 06. 28 |

안녕하세요.
18년간의 임상 경험을 쌓은
스마일디치과 대표원장,
웃는 의사
오수환입니다.



'사고로 앞니가 빠졌습니다.
임플란트를 해야 할 것 같아
앞니임플란트치과를
알아보고 있긴 한데,
주의점은 없는지
어떤 병원을 가야 할지
이래저래 걱정이 많습니다...'

지금 여러분이 이 글을 읽고 있다면 위 고민 내용과 유사한 고민을 하는 중이셨을 것 같습니다.
우리가 살아가다 보면 사고나 질병 등으로 앞니를 상실하게 되기도 하는데요.
이럴 때 자연치아만큼이나 건강하고 자연스러운 치아로 대체하기 위해서는 임플란트가 유일한 해결책이 됩니다.

하지만 많은 분들이 모르시는 부분은...
앞니 임플란트는 상당히 난도가 높은 시술에 속하므로
처음부터 앞니임플란트치과를 신중하게 고르셔야 한다는 점입니다.
이에 보건복지부 인증 18년 차 교정과 전문의인 제가 직접, 이어지는 본문을 통해
앞니 임플란트 시 주의사항
실사례로 보는 앞니 임플란트의 핵심
위 두 가지 주제를 중심으로 차근히 설명을 드리는 시간을 가져보려 합니다.
끝까지 읽어본다면 여러분께 유용한 팁을 얻어 가실 수 있을 겁니다. ^^


[스마일디치과의원 바로 알기]
[스마일디치과의원 지도]
앞니임플란트치과,
'잘' 골라야 하는 이유?
제가 서두에서 앞니임플란트치과를 '잘' 고르셔야 한다는 말씀을 드렸는데요.
앞니 임플란트는 잘못된 정보로 부작용을 많이 겪기도 하며
눈에 가장 먼저 들어오는 부위인 만큼 심미성과 기능성 모두를 만족시켜야 하기 때문입니다.

이 치과 치료는 한 번 시작하면 되돌릴 수 없는 부분이 많으니까요.
그럼 실력 있는 앞니임플란트치과는 어떤 방식으로 치료를 진행할까요?
여러분의 이해를 돕고자 본원의 앞니 임플란트 치료 과정을 예시로 들어보겠습니다.

임플란트는 발치 이유에 따라 접근법도 달라집니다.
외상으로 인해 치아가 부러진 거라면 잇몸뼈가 보존되어 있는 경우가 많고,
치주염 등으로 인해 치아가 상해 발치했다면 이미 뼈 흡수가 진행될 상태일 가능성이 높습니다.
따라서 수술 전 CT·3D 스캐너를 이용한 정밀 진단이 선행되어야
뼈이식 여부 및 이식할 뼈의 양과 각도를 정확히 예측할 수 있습니다.

사람마다 잇몸선의 형태가 다릅니다.
일부는 얕고 완만한 반면, 어떤 사람은 깊고 좁은 파도형 잇몸을 가집니다.

후자일수록 수술 난도가 높고요.
깊고 좁은 잇몸일수록 치조골의 두께가 얇아
임플란트를 잘못 심으면 잇몸이 내려앉는 치은퇴축이 쉽게 발생하는 까닭입니다.

잇몸이 퇴축되면 시간이 지날수록
임플란트가 검게 비쳐 보이거나 치아 길이가 부자연스럽게 길어 보이는 현상이 생길 수 있죠.

결국 이런 문제를 막기 위해선
숙련된 술식과 뼈이식 병행 여부를 판단할 수 있는 전문의가 필요하다는 겁니다.

앞니 임플란트 성공의 핵심?
한 환자분의 사례를 살펴보겠습니다.
해당 환자는 앞니가 심하게 흔들려 내원해 주셨고,
CT를 분석한 결과 앞니 바깥쪽 뼈가 거의 소실된 상태였습니다.

치조골이 얇으면 임플란트 축을 잘못 심기 쉽고
이렇게 되면 잇몸이 빠르게 흡수되는 일이 벌어질 수 있습니다.

저희는 교정과 전문의와 통합치의학과 전문의가 교정적 관점과 3차원적 구상으로
임플란트를 심을 각도와 위치를 정확하게 파악하여
(1) 신경을 피하면서
(2) 안쪽으로 안정적인 축을 확보함과 동시에
(3) 바깥쪽에는 충분한 뼈이식을 함께 시행했습니다.
그 결과 축이 안정적으로 잡히며 잇몸선이 자연스럽게 유지되었습니다.

또 환자 치아 형태에 꼭 맞는 임시치아를 제작해 당일 장착했고요.
이후 3개월간 잇몸 조직이 안정화된 뒤 최종 보철물을 심어드렸습니다.
환자분이 아주 만족해하셨던 기억이 납니다. ^^

특히 앞니 임플란트는 환자가 치아가 없다고 느끼는 기간이 없도록 하는 게 관건입니다.
치료 계획 단계부터 임시치아의 위치와 형태까지 미리 설계해야만
환자의 일상생활에 영향을 끼치지 않고 삶의 질을 유지할 수 있으니 말이죠.

이번 글에서는 앞니 임플란트와 관련하여 이야기를 나눠보았는데요.
앞니 임플란트는
단순한 보철 치료가 아니라,
심미성과 정밀도가
생명인 고난도 수술입니다.
경험 많은 전문의와 충분히 대화를 나눠보며 여러분께 최선의 방식을 찾으시기를 바랍니다.
스마일디치과 대표원장, 오수환이었습니다.
[스마일디치과의원 바로 알기]
| ℹ️ 스마일디치과의원 홈페이지 |
|---|
| 공식 홈페이지 |
| 🎥 스마일디치과의원 유튜브 |
|---|
| 유튜브 |
