아카이브 요약
이 페이지의 역할
연세위시치과의원의 네이버 블로그 원문을 보존한 아카이브 페이지입니다. 스마일 디자인 노트 카테고리의 앞니 끝 깨짐 연세위시치과 라미네이트 제작 과정, 관리 글을 통해 병원의 한국어 정보 제공 방식과 진료 관련 안내 톤을 확인할 수 있습니다.
원문 검증
필요하면 원문 블로그와 병원 프로필로 바로 이동해 문맥을 다시 확인할 수 있습니다.
출처 아카이브 열기아카이브된 블로그 글
연세위시치과의원 · 모든 이들의 미소를 아름답게, 연세위시치과✨
올해 4월 초중순, 마곡동에 연세위시치과 를 개원하게 된 원장 여상호입니다. 저희는 weshe = we + she + he 모두를 환영하는, 모든 이들의 미소를 아름답게 만들어드리는, 소망을 뜻하는 wish와 동음이어서 모든 이들이 갖고 있는 소망을 해결하는 데 도움을 주는 곳이 되고 싶어 위와 같은 상호를 정...
게시일
2025년 2월 23일
원문 기준으로 확인된 발행일입니다.
카테고리
스마일 디자인 노트
원문 블로그 카테고리를 정리해 함께 표시합니다.
이미지 수
7
현재 아카이브에 연결된 이미지 수입니다.
아카이브 요약
연세위시치과의원의 네이버 블로그 원문을 보존한 아카이브 페이지입니다. 스마일 디자인 노트 카테고리의 앞니 끝 깨짐 연세위시치과 라미네이트 제작 과정, 관리 글을 통해 병원의 한국어 정보 제공 방식과 진료 관련 안내 톤을 확인할 수 있습니다.
원문 검증
필요하면 원문 블로그와 병원 프로필로 바로 이동해 문맥을 다시 확인할 수 있습니다.
출처 아카이브 열기올해 4월 초중순, 마곡동에
연세위시치과 를 개원하게 된
원장 여상호입니다.
저희는
weshe = we + she + he
모두를 환영하는,
모든 이들의 미소를
아름답게 만들어드리는,
소망을 뜻하는 wish와 동음이어서
모든 이들이 갖고 있는 소망을 해결하는 데
도움을 주는 곳이 되고 싶어
위와 같은 상호를 정했습니다.
오늘은 많은 분들께서
미소를 아름답게 만들고 싶다는
소망을 가지고 의료기관에
내원하는 라미네이트(laminate) 진료와
관련된 내용입니다.
이는 치질의 불필요한 제거를 최소화하고,
기존의 건강한 조직을 최대한 유지하면서
미적 문제를 개선하는 데 초점을 맞추는데요.
특히, 세라믹 라미네이트 베니어는
얇은 세라믹 재료를 치면에 부착해
자연치 사이의 미세한 간격이나 마모 등으로
인한 외관상의 변화를 효과적으로
보완하는 치료법으로 주목받고 있습니다.
연세위시치과 는
많은 분들께서 예쁜 미소를 위해
이를 과도하게 갈아내야 된다 생각합니다.
다만, 최소 침습 치의학 접근법은
자연치의 구조를 최대한 보존하면서도
심미적, 기능적인 개선을 이루는 기술입니다.
특히 세라믹 라미네이트 베니어는
얇은 세라믹 재료를 치면에 부착하여
자연스러운 외관을 복원해 주며,
불필요한 치질 손상을 최소화하는
특징이 있습니다.

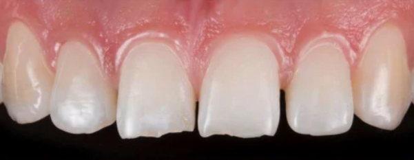
구강 내 모습을 보면
위턱 전치부(앞니 부분) 사이 간격과
치아 끝 깨짐 이 진행된 것을
확인할 수 있습니다.
위 경우 해결할 수 있는 방법은
여러 가지가 있습니다.
교정
레진
보철
교정은
근본적인 치열과 교합을 해결할 순 있지만,
3~6개월 이상의 오랜 기간이 걸린다는
특징이 있습니다.
이를 대신하는 방법으로
수복을 하는 방법을 많이 활용하는데요.
레진은
간단히 하루 만에 진행할 수 있지만
다른 것에 비해 접착력이 떨어져
탈락할 수 있으며 변색의
위험이 있다는 특징이 있습니다.
크라운은
접착력과 강도는 높지만,
자연치의 삭제량이 높습니다.
그에 비해 laminate는
치아 끝 깨짐 을 최소 침습 과정으로 진행할 경우
적은 삭제량으로 심미 치료가 가능합니다.
따라서, 연세위시치과 에서는
라미네이트 로 진행하는 것이 좋다고
생각합니다.

그 이유는
시술 전 최종 결과를 미리 보여주는
진단 목업 과정이 있기에
개인이 원하는 모양을 확인할 수 있기 때문이며,

원하는 모양을 확인한 뒤
절단연 끝 깨짐 을 보철 부착하기 위해
필요한 부분만을 조금씩 체크하여
삭제하는 과정을 거치기 때문입니다.
치면을 정확하고 균일하게
정리할 때는 불필요하게 건강한 치질 훼손을
방지하는 것이 중요합니다.
이후 구강 스캐너를 이용하여
구내 정보를 취득하는 과정을 거쳤으며,

세라믹 라미네이트 를 제작할 때는
자연스러운 결과를 얻는 것이 중요하기에
쉐이드 가이드를 통해 색조를 획득하여
기존 치아와 유사할 수 있도록 만들어 주며,
연세위시치과 에서는
내부 기공실을 통해
기공사, 의사, 환자가
원활히 소통할 수 있다
설명해 드리고 있습니다.

이후 보철에 부착을 위한
작업을 시행하였으며,

자연치에도 에칭과 같은 과정을 시행한 뒤
laminate 부착을 진행합니다.
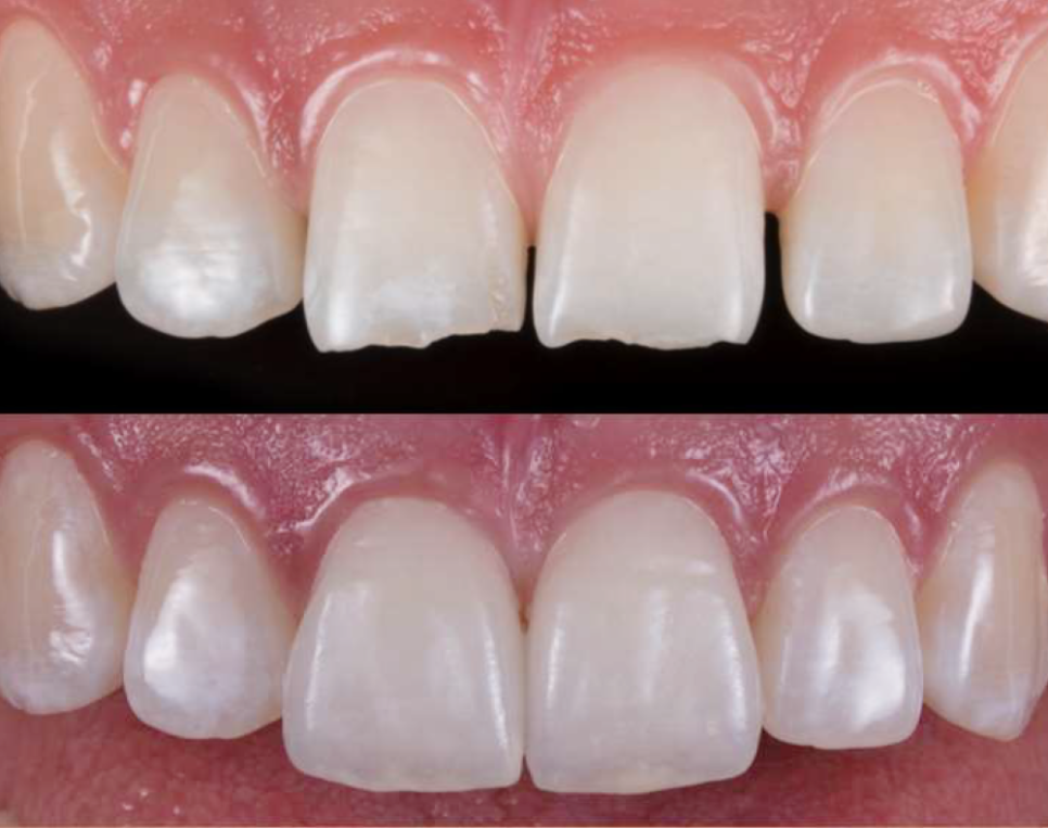
그 결과, 치아 끝 깨짐과 사이 틈이
사라지고 주위 자연치들과
유사한 형태로 수복되었습니다.
연세위시치과 에서는 진료가 완료된 뒤
오랜 기간 사용하실 수 있도록
주의사항을 설명해 드렸습니다.
처음 소개해 드린 내용은
앞니 치아 끝 깨짐의 치료법 중
하나를 소개해 드렸는데요.
레진보다 조금 더 자연스러우면서
강도도 있고 투명감이 있는 진료를 원하신다면
라미네이트를 권해드립니다.
다만, 모든 케이스에서
위 진료와 같은 방법으로
치료를 할 수 있는 것을 아닙니다.
따라서,
충분한 소통과 정밀한 구강 검진으로
개인에게 딱 맞는 진료를 하는 의료기관에서
진료를 받는 것을 권해 드립니다.
연세위시치과 원장 여상호였습니다.
긴 글 읽어주셔서 감사합니다.

치료 기간 : 2025.01.15~2025.02.24