아카이브 요약
이 페이지의 역할
연세위시치과의원의 네이버 블로그 원문을 보존한 아카이브 페이지입니다. 원장님, 궁금해요! 카테고리의 마곡동 치과 정밀 구강 진단을 위한 엑스레이(X-ray) 촬영 필요성과 원리 글을 통해 병원의 한국어 정보 제공 방식과 진료 관련 안내 톤을 확인할 수 있습니다.
원문 검증
필요하면 원문 블로그와 병원 프로필로 바로 이동해 문맥을 다시 확인할 수 있습니다.
출처 아카이브 열기아카이브된 블로그 글
연세위시치과의원 · 모든 이들의 미소를 아름답게, 연세위시치과✨
안녕하세요, 마곡동 치과 원장 여상호입니다. 많은 의료기관에서 방사선 촬영을 통해 문제를 체크하는 과정을 걸칩니다. 이 과정에서 방사선은 몸에 안 좋은 것이 아닌가? 꼭 해야 되는가? 에 대한 의문이 생길 것 같은데요. 이러한 점을 잘 알고 있기에 오늘 소개해 드릴 내용은 구강 검진 시 엑스레이(X-ray) 촬...
게시일
2025년 3월 2일
원문 기준으로 확인된 발행일입니다.
카테고리
원장님, 궁금해요!
원문 블로그 카테고리를 정리해 함께 표시합니다.
이미지 수
6
현재 아카이브에 연결된 이미지 수입니다.
아카이브 요약
연세위시치과의원의 네이버 블로그 원문을 보존한 아카이브 페이지입니다. 원장님, 궁금해요! 카테고리의 마곡동 치과 정밀 구강 진단을 위한 엑스레이(X-ray) 촬영 필요성과 원리 글을 통해 병원의 한국어 정보 제공 방식과 진료 관련 안내 톤을 확인할 수 있습니다.
원문 검증
필요하면 원문 블로그와 병원 프로필로 바로 이동해 문맥을 다시 확인할 수 있습니다.
출처 아카이브 열기안녕하세요,
마곡동 치과 원장 여상호입니다.
많은 의료기관에서
방사선 촬영을 통해
문제를 체크하는 과정을 걸칩니다.
이 과정에서 방사선은
몸에 안 좋은 것이 아닌가?
꼭 해야 되는가?
에 대한 의문이 생길 것 같은데요.
이러한 점을 잘 알고 있기에
오늘 소개해 드릴 내용은
구강 검진 시 엑스레이(X-ray) 촬영의 필요성과
그 이론적 근거에 대해 설명드리겠습니다.
구강 검진은
단순히 눈으로 확인하기에는
어려운 구강 내 문제점들을
발견하는 과정입니다.
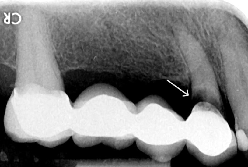
이 과정에서 X-ray는
자연치, 잇몸, 턱뼈 등 내부 구조의 상태를
정밀하게 평가하는 중요 도구로 사용되기도 합니다.
이제부터는 마곡동 치과 에서
직접 관찰의 한계에 대해
소개해 드리겠습니다.

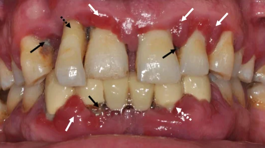
육안으로 보았을 때는
표면에 나타난 충치나 잇몸의 부종, 염증 등은
파악할 수 있으나,
치아 뿌리, 치경부, 치조골 소실 정도 등은
쉽게 식별되지 않습니다.

따라서, 엑스레이 촬영을 이용하면
육안으로는 보이지 않는 부위의 이상을 체크해
충치, 미세 균열, 신경 관련 문제 등을
조기에 진단할 수 있습니다.
이어서, 마곡동 치과 에서
X-ray 으로 체크할 수 있는 것은
어떤 것이 있는지 설명해 드리겠습니다.
a. 충치 및 내부 이상

표면에 드러난 충치뿐만 아니라,
우식이 치아 내부의 치수 조직이나
인접치 쪽으로 확산되었는지
평가할 수 있습니다.
더불어,
브릿지, 크라운과 같은 보철로 덮인 치아의
내부에 새로운 우식이나
뿌리 염증이 나타났는지
확인할 수 있습니다.
b. 치주 질환

스케일링만으로는 제거가
어려운 잇몸 아래 치석이 다량으로 쌓였을 때는
이를 통해 그 위치와 양을 정확하게
확인이 가능하며, 상담자료로 할 수 있습니다.
또한, 치조골 손실이나
잇몸(치은) 주위의 염증 상태를 관찰하여,
증세가 나타나기 전에
치주염 등 치주 질환의 진행 가능성을
예측할 수 있죠.
c. 턱뼈 및 턱관절의 상태

추가로, 이를 둘러싼 뼈의 밀도와 높이를
평가하는 데 도움을 주는데요.
이는 자연치의 안정성을 판단하고,
발치나 임플란트 시술 등의
치료 계획 수립에 중요한 근거로 사용됩니다.
더불어,
턱관절의 구조적 이상이나
초기 관절염, 마모 등도 진단할 수 있어,
추가적인 물리치료나 관리 방안을
마련할 수 있습니다.
엑스레이 촬영의 원리는?
마곡동 치과 에서
이것의 특성과 작용에 대해
알려드리겠습니다.
X-ray는
고에너지 전자기파를 이용해
인체의 여러 조직을 통과합니다.
각 조직의 밀도에 따라
전자기파가 소멸되는 정도가 달라지는데,
밀도가 높은 치아와 뼈는
많은 방사선을 흡수하는
반면, 연조직은 상대적으로 적게 흡수합니다.
이러한 특성 덕분에,
자연치와 뼈는 영상 상에서 밝게 나타나고,
공극이나 염증, 충치 부위는 어둡게 표현됩니다.
필름이나 디지털 센서에
도달한 방사선의 양을 바탕으로,
촬영 부위의 밝은 부분과
어두운 부분이 뚜렷하게
대비되어 영상이 생성되며,
이를 통해 전문가들은
각 조직의 밀도와 구조적 이상을
분석할 수 있습니다.
진단에 어떻게 반영할까?
마곡동 치과를 비롯한
모든 구강 의료기관에서는
엑스레이를 토대로
다음과 같은 치료 방안을 마련할 수 있습니다.
✔ 예방 조치
잇몸 아래 치석과 뼈의 변화 등을
지속적으로 모니터링하여,
문제가 악화되기 전에 예방 조치를 시행합니다.
✔ 추가 치료 결정
보철의 상태 및 전체 입 속 상황을
종합적으로 평가해
필요시 보철 교체나 임플란트 시술 등
추가 진료를 결정합니다.
✔ 치료 내역 확인
과거 진료 기록은
육안으로도 파악 가능하나,
크라운 등 치아 전체를
감싸는 구조물의 경우
내부 이상 유무를 확인하기 위해
필요할 수 있습니다.
오늘은 구강 검진 시
엑스레이(X-ray) 의 필요성과
그 이론적 근거에 대해 설명해 드렸습니다.
이와 관련된 의학 정보가 필요하셨던 분들께
도움이 되었으면 좋겠습니다.
마곡동 치과 원장 여상호이었습니다.
긴 글 읽어주셔서 감사합니다.
