안녕하세요,
강서구 치과 원장 여상호입니다.
오늘 설명해 드릴 내용은
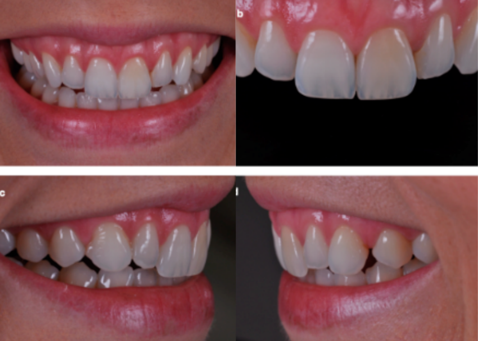
앞니 라미네이트 제작을 위한
단계 진단 및 분석 절차 과정 입니다.
- 얼굴 분석 👩🏻🦱 👨🏻🦱

자연치의 이상적인 모양은
얼굴 전체의 균형과 일치해야 됩니다.
얼굴의 중심선과 형태,
그리고 치열의 정렬 모습을 별도로
촬영한 사진 자료를 통해 면밀히 검토합니다.
단순히 치아만을 치료하는 경우,
얼굴과의 조화가 무너질 수 있음을
고려하여 개별 분석이 이루어집니다.
- 입매 👄

치아의 위치와 입술의 선,
그리고 입술의 형태 사이의 관계를
평가합니다.
이 부위는 자연치를 지지하는 유동 조직이므로,
치열에 따라 입술이 받는 지지력과
미소선이 달라질 수 있음을 감안해
치아 수복 시 전후 관계를
세심하게 조정합니다.
- 잇몸 건강

강서구 치과 를 비롯한 모든 의료기관에서는
라미네이트 등의 수복 시
치은과 접촉하는 정도를 미리 판단합니다.
치은 공간을 과도하게 침범할 경우
잇몸의 붓기나 염증 등이 발생할 수 있으므로,
치은의 형태와 모습을 같이 고려하여
자연치와 잇몸 간의 관계를 평가합니다.
- 3차원 분석

개별 치아의 기울기나 회전뿐 아니라,
전체 치열의 기울기나 형태, 크기 등
배열 형태를 분석합니다.
이를 통해 단순한 무삭제 방식이
다른 면에서 안 좋은 결과를 초래하지 않도록,
필요한 삭제 범위를 결정합니다.
- 진료 선택
모든 경우에 일률적으로
라미네이트 를 반영하는 것이 아니라,
상황에 따라 심미 레진 또는 크라운을
고려할 수 있습니다.
강서구 치과 에서는
진단, 접착, 형태 조정, 색조 매칭 등
각 단계에서 개인의 구강 상태에 맞는
방법으로 진료를 진행하는 것을 권해 드립니다.
- 보철 기공 작업 이해
라미네이트 기공 과정을
직접 의료진이 치료 계획에 참여하여,

최종 결과를 예측하고
알맞은 치아 삭제 범위와 위치를
결정할 수 있도록 합니다.
이를 통해 과도하거나
부자연스러운 수복물이
제작되는 것을 예방합니다.
- 치아 삭제(프렙)
자연치의 구조와 추후 예후를 고려하여,
필요한 부위에 한정해 정밀하게 프렙 합니다.
무삭제 또는 최소 삭제의 원칙하에
이에 과도한 손상이 가지 않도록
프렙 방법을 선택합니다.
- 본뜨기 작업
3D 스캐너를 활용하여
전체 치열을 스캔하고,
촬영된 여러 사진 자료와 함께 데이터를
공유함으로써 실제 구강 상황과
정밀한 일치할 수 있도록 도와줍니다.
- 원내 기공실
라미네이트 제작 시,
원내 기공실 또는 외부 기공소에 의뢰하여
각 개인의 구강 상태와 구조에
알맞은 보철을 제작하도록 의뢰합니다.
- 스케일링

수복물 부착 전, 치석과 치태를
스케일러를 이용해 제거합니다.
이를 통해 강서구 치과 에서는
자연치 표면의 청결 상태를 확보하고,
향후 정기 관리 시에도 일관된 청결을
유지할 수 있다 설명드리고 있습니다.
- 라미네이트 접착

알맞은 방습(예: 러버댐 사용)과
도구, 재료 선택을 통해
의료진이 직접 접착 작업을 수행합니다.
- 꾸준한 관리
구강 위생의 장기 유지와 관리를 위해,
올바른 치실 사용법 등
관리 방법을 교육합니다.
정기 검진과 리콜, 스케일링,
그리고 불소 도포 등을 통해
꾸준히 입속 건강을 유지할 수 있도록 합니다.
불소 도포는
보통 6개월 간격으로 시행하는 것을
강서구 치과 에서는 권해 드립니다.
이와 같은 의학정보가 필요하셨던 분들께
도움이 되셨으면 좋겠습니다.
강서구 치과 였습니다.
긴 글 읽어주셔서 감사합니다.
